Студопедия

Главная страница Случайная страница

КАТЕГОРИИ:

АвтомобилиАстрономияБиологияГеографияДом и садДругие языкиДругоеИнформатикаИсторияКультураЛитератураЛогикаМатематикаМедицинаМеталлургияМеханикаОбразованиеОхрана трудаПедагогикаПолитикаПравоПсихологияРелигияРиторикаСоциологияСпортСтроительствоТехнологияТуризмФизикаФилософияФинансыХимияЧерчениеЭкологияЭкономикаЭлектроника






Задача № 3. 1) Что такое ирригоскопия?






 

Вопросы к рис. 1:

1) Что такое ирригоскопия?

2) Назовите основной рентгенологический признак рака сигмовидной кишки на прицельной рентгенограмме при ирригоскопии. Покажите его.

 

 

Рис. 1

 

Ответы:

1) Ирригоскопия – метод рентгенологического исследования толстой кишки путем ретроградного (с помощью клизмы) заполнения ее рентгенконтрастным веществом (взвесью сульфата бария).

2) На прицельной рентгенограмме сигмовидной кишки определяется циркулярное сужение ее, контуры суженного участка неровные, определяется «дефект наполнения».

 

 


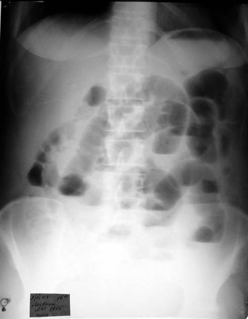
Вопросы к рис. 2:

1) Назовите рентгенологический метод исследования пациента, представленный на иллюстрации.

2) Назовите ведущий рентгенологический признак острой кишечной непроходимости и покажите его на рентгенограмме.

 

 

Рис. 2

 

Ответы:

1) Обзорная рентгенография брюшной полости.

2) На рентгенограмме определяются «чаши Клойбера» – вздутие петель кишечника с наличием скопления жидкости, образующей горизонтальные уровни.



Поделиться с друзьями:

mylektsii.su - Мои Лекции - 2015-2026 год. (1.557 сек.)Все материалы представленные на сайте исключительно с целью ознакомления читателями и не преследуют коммерческих целей или нарушение авторских прав Пожаловаться на материал