Студопедия

Главная страница Случайная страница

КАТЕГОРИИ:

АвтомобилиАстрономияБиологияГеографияДом и садДругие языкиДругоеИнформатикаИсторияКультураЛитератураЛогикаМатематикаМедицинаМеталлургияМеханикаОбразованиеОхрана трудаПедагогикаПолитикаПравоПсихологияРелигияРиторикаСоциологияСпортСтроительствоТехнологияТуризмФизикаФилософияФинансыХимияЧерчениеЭкологияЭкономикаЭлектроника






Выполнение заданий в альбоме. Цитогенетический метод генетики человека






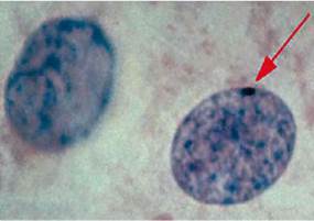
Цитогенетический метод генетики человека. 3 часа. Лабораторная работа по определению полового хроматина в клетках слизистой оболочки ротовой полости. 40 х

Методика приготовления цитогенетического препарата: сглотнуть слюну, сделать шпателем соскоб клеток со слизистой щеки. Содержимое соскоба равномерно нанести на предметное стекло и окрасить ацетоорсеином (2 капли на препарат). Накрыть препарат покровным стеклом. Через минуту положить на покровное стекло вчетверо сложенный лист фильтровальной бумаги и осторожно надавить на него. Исследовать препарат при большом увеличении микроскопа, найти эпителиальные клетки слизистой оболочки с окрашенными ядрами и крупные, плотные глыбки хроматина, прилегающие к ядерной оболочке (половой хроматин или тельце Барра). Проанализировать несколько клеток в каждом препарате. Обратить внимание, что в клетках мужчин тельце Барра не встречается, а в женских клетках они встречаются в 40-60% клеток (остальные находятся на стадии деления) по одному тельцу в ядре.

1.Ядро клетки букального эпителия, 2.цитоплазма, 3.тельце Барра, 4. фенотип женский, кариотип ♀ 46 ХХ

 


Поделиться с друзьями:

mylektsii.su - Мои Лекции - 2015-2026 год. (1.176 сек.)Все материалы представленные на сайте исключительно с целью ознакомления читателями и не преследуют коммерческих целей или нарушение авторских прав Пожаловаться на материал