Студопедия

Главная страница Случайная страница

КАТЕГОРИИ:

АвтомобилиАстрономияБиологияГеографияДом и садДругие языкиДругоеИнформатикаИсторияКультураЛитератураЛогикаМатематикаМедицинаМеталлургияМеханикаОбразованиеОхрана трудаПедагогикаПолитикаПравоПсихологияРелигияРиторикаСоциологияСпортСтроительствоТехнологияТуризмФизикаФилософияФинансыХимияЧерчениеЭкологияЭкономикаЭлектроника






Экзаменационная задача №2. Больная 65 лет обратилась с жалобами на боли в поясничной области, усиливающиеся при поворотах, слабость.






Больная 65 лет обратилась с жалобами на боли в поясничной области, усиливающиеся при поворотах, слабость.

До обращения лечилась у невропатолога в течение трех месяцев по поводу остеохондроза поясничного отдела позвоночника – без эффекта. Ускоренное СОЭ (до 65-70 мм/ч) отмечалость на протяжении последних двух лет.

При осмотре: состояние средней тяжести, кожные покровы, видимые слизистые чистые, бледно-розовые, Пальпация ребер, паравертебральных точек болезненна, особенно в поясничном отделе. Периферические лимфоузлы не пальпируются. ЧДД 16 в 1 мин. В легких перкуторно – ясный легочный звук в симметричных участках легких, аускультативно – везикулярное дыхание, хрипы не выслушиваются. АД – 140/90 мм.рт.ст. Тоны сердца ритмичны, приглушены, чистые. Пульс – 76 уд./мин., удовлетворительных качеств. Живот при пальпации мягкий, безболезненный, печень - по краю реберной дуги, селезенка не пальпируется. Голени пастозны. Мочеиспускание свободное, безболезненное.

Общий анализ крови – Нв – 117 г/л, эритроциты – 4, 0х1012/л, ЦП – 1, 0, тромбоциты – 220х109/л, лейкоциты – 4, 2х109/л, СОЭ – 78 мм/ч.

Общий анализ мочи – плотность 1014 г/л, белок – 2, 0 %о.

Общий белок – 105 г/л.

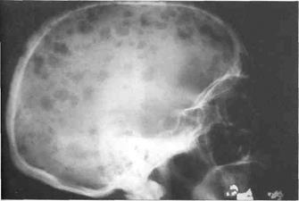
Рентгенография позвоночника – остеопороз, снижение высоты дисков L1-L 2

ВОПРОСЫ:

1. Какой диагноз можно предположить у больной?

2. С какими альтернативными заболеваниями следует дифференцировать данную патологию?

3. Какие дополнительные исследования необходимы для уточнения диагноза?

Назначьте лечение данной больной, какие препараты используются для лечения этого заболевания.

5. Какие препараты, помимо цитостатических, показаны при лечении данного заболевания?


Поделиться с друзьями:

mylektsii.su - Мои Лекции - 2015-2026 год. (0.819 сек.)Все материалы представленные на сайте исключительно с целью ознакомления читателями и не преследуют коммерческих целей или нарушение авторских прав Пожаловаться на материал