Студопедия

Главная страница Случайная страница

КАТЕГОРИИ:

АвтомобилиАстрономияБиологияГеографияДом и садДругие языкиДругоеИнформатикаИсторияКультураЛитератураЛогикаМатематикаМедицинаМеталлургияМеханикаОбразованиеОхрана трудаПедагогикаПолитикаПравоПсихологияРелигияРиторикаСоциологияСпортСтроительствоТехнологияТуризмФизикаФилософияФинансыХимияЧерчениеЭкологияЭкономикаЭлектроника






Профессиональная задача. Больной К. , 63 года, руководитель крупного предприятия, обратился к врачу с жалобами на нестерпимую боль






Больной К., 63 года, руководитель крупного предприятия, обратился к врачу с жалобами на нестерпимую боль, покраснение и припухание 1-м правом плюснефаланговом суставе, повышение температуры тела. Боли в суставе возникли внезапно ночью, среди полного благополучия. При опросе выяснилось, что деловые встречи с фуршетами часто перетекают в застолья (накануне присутствовал на корпоративной вечеринке). Самостоятельно принимал баралгин, но без эффекта. Объективно: больной повышенного питания (ИМТ 25). Признаки выраженного воспаления, болезненности и ограничение подвижности в 1-м правом плюснефаланговом суставе. На ушных раковинах - мелкие узелки, безболезненные, размером с просяное зерно. АД - 145/90 мм рт.ст. Пульс ритмичный, 96 ударов в мин. Живот мягкий, безболезненный. Печень, селезенка не увеличены.

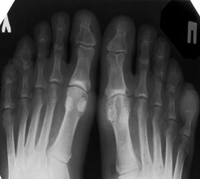
На рентгенограмме правой стопы - субкортикальные кисты 1-го плюснефалангового сустава без эрозий. Мочевая кислота крови - 0, 44 ммоль/л. В синовиальной жидкости – L-10000-20000 кл/мм3. При поляризационной микроскопии синовиальной жидкости из сустава выявлены кристаллические ураты (3-30 мкм, иглообразной формы с двойным светопреломлением). Посев синовиальной жидкости отрицательный. OAK: Эр 4, 4 -1012/л, Нb - 125 г/л, L 16, 4-109/л, СОЭ - 25 мм/ч, Биохимия крови: ЛПНП– до 150 мг/дл, ЛНОНП – 50 мг/дл. холестерин – 8 ммоль/л. Общий анализ мочи: удельный вес -1020, лейкоциты 1-2 в поле зрения, белок-0, 033.

 

Вопросы:

1. Сформулируйте и обоснуйте диагноз.


Поделиться с друзьями:

mylektsii.su - Мои Лекции - 2015-2026 год. (1.306 сек.)Все материалы представленные на сайте исключительно с целью ознакомления читателями и не преследуют коммерческих целей или нарушение авторских прав Пожаловаться на материал