Студопедия

Главная страница Случайная страница

КАТЕГОРИИ:

АвтомобилиАстрономияБиологияГеографияДом и садДругие языкиДругоеИнформатикаИсторияКультураЛитератураЛогикаМатематикаМедицинаМеталлургияМеханикаОбразованиеОхрана трудаПедагогикаПолитикаПравоПсихологияРелигияРиторикаСоциологияСпортСтроительствоТехнологияТуризмФизикаФилософияФинансыХимияЧерчениеЭкологияЭкономикаЭлектроника






Эхокардиографиялық зерттеу картасы






Медициналық симуляция сценариі

Клиникалық жағ дай: «Сол атриовентрикулярлы саң ылаудың стенозын анық тау»

Ситуациялық жағ дай: Сіз – кезекші дә рігер.Қ абылдау бө ліміне 22 жастағ ы ер адам келіп тү сті.

Ø Анамнез жинап жә не науқ асты қ арап тексерің із

Ø Зерттеу жоспарын анық таң ыз

Ø Лабораторлы – қ ұ ралдық зерттеу мә ліметтеріне интерпретация жү ргізің із

Ø Диагнозды қ ұ рың ыз

Ø Науқ асты жү ргізу тә сілін жә не емдеу жоспарын анық таң ыз.

 

Стандартталғ ан ә ртістің (науқ астың) сценарий тексті жә не оның рө лі:

Шағ ымдары: ентігу, қ ұ рғ ақ жө тел, шаршағ ыштық, бас айналу, жү рек қ ағ у, бір реттік қ ан тү кіру болды. Тө секке жатқ ан кезде – қ атты ентігу пайда болады, сондық тан жоғ ары орналасқ ан жастық қ ойып, жартылай отырып ұ йық тауғ а мә жбү рлі.

 

Сұ рақ мә нісі Ә ртіске арналғ ан сұ рақ ты қ ұ ру Жауабы
Ентігу сипатын анық тау Ентігу қ андай – тыныс алу ә лде тыныс шығ ару қ иын ба? Тыныс алу қ иын
Ентігудің физикалық жү ктемемен байланысы Қ андай жү ктеме кезінде ентігу мазалайды? Ентігу шамалы ғ ана физикалық жү ктемеде, бө лмелер арасында қ озғ алғ анда, қ арқ ынды қ ұ рғ ақ жө телмен мазалайды
Жү рек соғ уы   Жү регім кеудеден шығ ып кететін сияқ ты, тыныс алуым қ иындап, кө з алдым қ арайып, басым айналады.
Қ ан қ ақ ыру Қ ай кезде қ ан қ ақ ыру болды? Бір рет қ атты жө телгенде шамалы ғ ана қ ан ұ йындысы шық ты

Анамнезінде: Ө зін қ алыпты жү ктемені кө тере алмағ аннан бастап шамамен жарты жылдай аурумын деп санайды. Жағ дайының нашарлауын суық тиюмен байланыстырады. Шамалы ғ ана физикалық жү ктемеде қ атты жү рек соғ уы жә не ентігу мазалайды. Бала кезінен жиі суық тиюмен байланысты аурулармен, баспамен ауырғ ан. Буындары ауырғ ан.

Объективті: бойы 162 см жә не салмағ ы 58 кг. Дене бітімі қ алыпты. Тері жабындылары боз, шамалы акроцианоз. Беттері нә зік қ ызарғ ан. Ө кпесінде ә лсіреген везикулярлы тыныс, тө менгі бө ліктерінде крепитация естіледі. ТАЖ 22 рет минутына. Жү рек ұ шы тү рткісі ығ ыспағ ан, ә лсіреген. Жү рек ү ндері тұ йық талғ ан, ырғ ағ ы дұ рыс, жү рек ұ шында қ олтық асты аймағ ына берілетін диастоликалық шуыл естіледі. Сол жақ II қ абырғ ааралық та 2 ү ннің акценті естіледі. Бауыры қ абырғ а доғ асы бойымен.

АД 112/78 мм.сб.б., ЖСЖ 60 рет мин

Ескерту: K plus – А-2-3


ЖҚ А: эритроциттер 4, 3х1012 гемоглобин 134 г/л, ТК 0, 94, лейкоциттер 5, 6х109/л, с/я 62%, т/я – 6%, эозинофилдер 3%, лимфоциттер 23%, моноциттер 5%, ЭТЖ 27 мм/с. ЖЗА: мө лшері 100, 0 мл, салыстырмалы салмағ ы – 1022, тү сі – сары, лейкоциттер – 2-3 к/а.
СРБ ++, АСЛ-О 1: 250.  

ЭКГ

Қ орытынды: Ырғ ағ ы синусты. ЖЭО оң ғ а ығ ысқ ан, ОҚ гипертрофиясы, систолалық жү ктеме, ГБОА ( ПНПГ) толық бө гемесі.

 

Эхокардиографиялық зерттеу картасы

Аты-жө ні___Н____________________________________________________________

Жасы 22 ______________________________________________________________

Митральді қ ақ па____ митральді тесік аумағ ы-1, 6 см2 ____________

Жармаларының жә не фиброзды сақ ина кальцинозы, алдың ғ ы митральді жарманың ерте диастолалық жабылу жылдамдығ ының айқ ын тө мендеуі _

Аорта (негізінің қ уысы) 2, 6 _см______________________________________________

Трикуспидальді қ ақ па_______________________________________________________

Ө кпе артериясы 2, 0 ______қ ысымы= 35 мм.сб.б. ______________________________

Ө кпе артериясының қ ақ пасы________________________________________________________

Сол жү рекше. Диастолада ө лшемі_ 5, 2 __ см_____________________________________

Систолада ө лшемі_______________________________________________________________

Оң қ арынша. Диастолада қ уыстың ө лшемі 4, 5см __________________________

Сол қ арынша. Соң ғ ы диастолалық ө лшем 4, 0 _____________________________________________

Соң ғ ы систолалық ө лшем 2, 1

Диастолалық кө лем 76_ ____________________________________________________

Систолалық кө лем 23 ______________________________________________________

Айдау фракциясы 62% ______________________________________________________

Диастолағ а артқ ы қ абырғ асының қ алың дығ ы 1, 0-1, 2 _______________________________________

Қ арынша аралық перде 0, 8-0, 9 _________________________________________

Орытындысы: сол жү рекшенің ө лшемдері ұ лғ айғ ан, митральді тесіктің аумағ ы азайғ ан; қ арынша аралық пердеге қ арай митральді қ ақ пақ ша жармаларының топтас қ озғ алуы; қ ақ пақ шалар қ ұ рылымының жә не фиброзды сақ инаның кальцинозы. Ө кпе гипертензиясының белгілері.

 

 

Соң ғ ы қ орытынды (outcomes):

1. Жү рек дерті бар науқ астарды сұ растыруды жә не физикальді қ арауды жү ргізу: жү рек пальпациясы жә не аускультациясы

2. Жү рек ақ ауларының клиникалық диагностикасын білу

3. Жү ре пайда болғ ан ақ аулардың салыстырмалы диагностикасын білу

4. Диагностиканың ақ параттық ә дістерін, ЭхоКГ, ЭКГ, кеуде қ уысы ағ заларының рентгенографиясын интерпретациялауды білу

5. Жү ректің созылмалы ревматикалық ауруы бар науқ астарды жү ргізу тә сілі, функциональдді жағ дайының мониторингі

 

«Сол атриовентрикулярлы тесіктің стенозын диагностикалау»

клиникалық жағ дай бойынша бағ алау парағ ы (check-list)

 

Емтихан тапсырушының коды ______________________ Емтихан кү ні______________

Емтиханды қ абылдаушы___________________________________________________

 

Қ адамдары бағ алау критерийлері Баллдық бағ асы
Дұ рыс орындалды Ескертулермен орындалды Орындамады
  Шағ ымдарды жинау Шағ ымдарды нақ тылау ү шін барлық сұ рақ тар қ ойылды ма? 1, 0 0, 5  
  Физикальді зерттеу –тыныс алу жү йесін 1, 0 0, 5  
  Жү рек тү рткісін пальпациялау – оның ө згерістері анық талды ма. АҚ жә не ЖСЖ 1, 0 0, 5  
  Жү рек аускультациясы 1, 0 0, 5  
  Жү рек ақ ауының болуын негіздеу 1, 0 0, 5  
  Алдын ала қ ойылғ ан диагнозды қ ұ ру жә не негіздеу 1, 0 0, 5  
  Салыстырмалы диагнозды, мү мкін болатын асқ ыннуларды негіздеу 1, 0 0, 5  
  Зерттеу жоспарын тағ айындау 1, 0 0, 5  
  ЖҚ А, СРБ, АСЛ-О интерпретациялау 1, 0 0, 5  
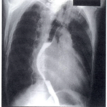
  Р-грамманы интерпретациялау 2, 0 1, 0  
  ЭКГ интерпретациялау 2, 0 1, 0  
  ЭхоКГ интерпретациялау. 1, 0 1, 0  
  Операцияғ а кө рсеткіш. Кардиохирург кең есінің қ ажеттілігін негіздеу 1, 0    
  Қ орытынды диагнозды негіздеу 2, 0 1, 0  
  Асқ ынуларды алдын алу 1, 0 0, 5  
  Науқ асты операцияғ а дайындау шараларын жоспарлау 1, 0 0, 5  
  Науқ аспен оптимальді қ атынасты орнатып, қ обалжуды басу 1, 0 0, 5  
Барлығ ы  

«Сол атриовентрикулярлы тесіктің тарылуының диагностикасы»


Поделиться с друзьями:

mylektsii.su - Мои Лекции - 2015-2026 год. (0.925 сек.)Все материалы представленные на сайте исключительно с целью ознакомления читателями и не преследуют коммерческих целей или нарушение авторских прав Пожаловаться на материал