Студопедия

Главная страница Случайная страница

КАТЕГОРИИ:

АвтомобилиАстрономияБиологияГеографияДом и садДругие языкиДругоеИнформатикаИсторияКультураЛитератураЛогикаМатематикаМедицинаМеталлургияМеханикаОбразованиеОхрана трудаПедагогикаПолитикаПравоПсихологияРелигияРиторикаСоциологияСпортСтроительствоТехнологияТуризмФизикаФилософияФинансыХимияЧерчениеЭкологияЭкономикаЭлектроника






Тестовые задания по дисциплине 3 страница






A) Нет

B) Да

C) Показана при уровне гемоглобина 70 г/л

D) Не показана, так как нет наружного кровотечения

E) Не показана, так как возможны гемотрансфузионные осложнения

{Правильный ответ}= B

{Сложность}=3

{Учебник}= Руководство к практическим занятиям по анестезиологии, реаниматологии и интенсивной терапии: учеб. пособие для студ. мед.вузов / ред. Н. М. Федоровский. - М.: Мед.информ. агентство, 2008. - 280 с.: ил.

{Курс}= 7

{Семестр}=14

 

$$$021

У больного после интубации трахеи врач обнаружил отсутствие экскурсии грудной клетки, результатов капнографии, цианоз губ и ногтевых лож. При аускультации легких – незвучные дыхательные шумы с обеих сторон, вздутие эпигастральной области. Назовите причину данного состояния.

A) Гиповентиляция

B) Интубация правого главного бронха

C) Перфорация трахеи

D) Интубация левого главного бронха

E) Интубация пищевода

{Правильный ответ}= E

{Сложность}= 2

{Учебник}= Сумин С.А. Неотложные состояния. – М.: «Фармацевтический мир», 2010 г. – 464 с.

{Курс}= 7

{Семестр}=14

 

$$$022

У больного с гидротораксом после пункции плевральной полости и удаления 2, 0 литров транссудата отмечается бледность кожных покровов, снижение артериального давления, тахикардия. При аускультации отмечается улучшение проводимости дыхания. Назовите наиболее вероятное осложнение?

A) Смещением органов средостения в сторону пораженного легкого

B) Смещением органов средостения в интактную сторону

C) Ранением иглой легкого и развитием напряженного пневмоторакса

D) Анафилактическим шоком на введение местного анестетика при обезболивании мягких тканей

E) Острым инфарктом миокарда

{Правильный ответ}= A

{Сложность}= 2

{Учебник}= Жданов Г.Г., Зильбер А.П.Реанимация и интенсивная терапия. - М.: «Академия», 2007г. – 400 с.

{Курс}= 7

{Семестр}=14

 

 

Рус

Хирургия 03_

Тема «Клиническая анатомия и оперативная хирургия» 08_

 

$$$001

Какие элементы принимают участие в формировании так называемого «треугольника Кало»:

А) печень, пузырный проток и пузырная артерия

В) печень, печеночный и общий желчный протоки

С) печень, пузырный проток и правая печеночная артерия

D) печень, пузырный и печеночный проток

Е) пузырная артерия, пузырный и печеночный протоки

{Правильный ответ} = D

{Сложность} = 1

{Учебник} = (Оперативная хирургия и топографическая анатомия, Островерхов Г.Е., 2005 г.)

{Курс} = 7

{Семестр} = 14

 

$$$002

На каком уровне обычно происходит слияние пузырного и общего печеночного протоков:

А) непосредственно в пузырно-двенадцатиперстной связке

В) на уровне верхнего края головки поджелудочной железы

С) позади двенадцатиперстной кишки

D вблизи ворот печени

Е) вблизи нижнего края поджелудочной железы

{Правильный ответ} = D

{Сложность} = 1

{Учебник} = (Оперативная хирургия и топографическая анатомия, Островерхов Г.Е., 2005 г.)

{Курс} = 7

{Семестр} = 14

 

$$$003

Какая мышца отходит от шейки суставного отростка нижней челюсти и отделяет височно-крыловидное клетчаточное пространство от межкрыловидной клетчатки:
А) жевательная мышца
В) внутренняя крыловидная мышца
С) наружная крыловидная мышца
D) височная мышца
Е) щечная мышца

{Правильный ответ} = С

{Сложность} = 2

{Учебник} = (Оперативная хирургия и топографическая анатомия, Островерхов Г.Е., 2005 г.)

{Курс} = 7

{Семестр} = 14

 

$$$004

В нижних отделах какого клетчаточного пространства образуются гнойные скопления при ранениях стенки мочевого пузыря:
А) предпузырное
В) предбрюшинное
С) околопузырное
D) околоматочное
Е) боковые клетчаточные пространства таза
{Правильный ответ} = А

{Сложность} = 2

{Учебник} = (Оперативная хирургия и топографическая анатомия, Островерхов Г.Е., 2005 г.)

{Курс} = 7

{Семестр} = 14

 

$$$005

Укажите, какие анатомические образования служат ориентирами при осуществлении доступа ко всем отделам мочеточника по Федорову:
А) внутренняя косая мышца живота
В) поперечная мышца живота
С) широчайшая мышца спины
D) мышца, выпрямляющая позвоночник
Е) реберная дуга
{Правильный ответ} = D

{Сложность} = 2

{Учебник} = (Оперативная хирургия и топографическая анатомия, Островерхов Г.Е., 2005 г.)

{Курс} = 7

{Семестр} = 14

 

$$$006

Укажите какие сосуды проходят через отверстия в апоневрозе поперечной мышцы живота в пределах ромба Лесгафта-Грюнфельда, что облегчает выход гнойников забрюшинной клетчатки:
А) поясничные артерии
В) срединная крестцовая артерия
С) нижняя подчревная артерия
D) подреберная артерия
Е) нижние диафрагмальные артерии

{Правильный ответ} = D

{Сложность} =2

{Учебник} = (Оперативная хирургия и топографическая анатомия, Островерхов Г.Е., 2005 г.)

{Курс} = 7

{Семестр} = 14

 

$$$07

В хирургическое отделение доставлен больной с диагнозом: " Тромбоз верхней брыжеечной артерии". Какие отделы тонкой и толстой кишки, в которых может быть нарушено кровоснабжение:

А) поперечный отдел толстого кишечника

В) прямой кишки

С) верхнего отдела ДПК

D) нисходящий отдел толстого кишечника

Е) сигмавидная кишка

{Правильный ответ} = А

{Сложность} = 2

{Учебник} = (Оперативная хирургия и топографическая анатомия, Островерхов Г.Е., 2005 г.)

{Курс} = 7

{Семестр} = 14

 

$$$008

При обследовании больного выявлено отсутствие чувствительности на подошвенной поверхности стопы. Поражение, какого нерва можно предполагать:
А) большеберцового
В) общего малоберцового
С) поверхностного малоберцового
D) глубокого малоберцового
Е) подкожного

{Правильный ответ} = А

{Сложность} = 2

{Учебник} = (Оперативная хирургия и топографическая анатомия, Островерхов Г.Е., 2005 г.)

{Курс} = 7

{Семестр} = 14

 

$$$009

После проведения трахеостомии образовался трахеопищеводный свищ. Определите каким образом была нарушена техника рассечения трахеи:
А) Несквозное рассечение передней стенки трахеи
В) Разрез стенки трахеи больше диаметра канюли
С) Повреждение задней стенки трахеи
D) Разрез стенки трахеи меньше диаметра канюли
Е) Разрез стенки трахеи не по середине

{Правильный ответ} = С

{Сложность} = 2

{Учебник} = (Оперативная хирургия и топографическая анатомия, Островерхов Г.Е., 2005 г.)

{Курс} = 7

{Семестр} = 14

 

$$$010

У больного после грыжесечения по поводу косой паховой грыжи развились упорные боли в паховой области, иррадиирующие в яичко. Какой нерв поврежден:
А) ущемление семенного канатика
В) захват в шов мышцы, поднимающей яичко
С) захват в шов подвздошно-пахового нерва
D) захват в шов подвздошно-подчревного нерва
Е) захват в шов половой ветви бедренно-полового нерва
{Правильный ответ} = С

{Сложность} = 2

{Учебник} = (Оперативная хирургия и топографическая анатомия, Островерхов Г.Е., 2005 г.)

{Курс} = 7

{Семестр} = 14

 

$$$011

У пострадавшего - сильное кровотечение из глубоких отделов шеи. С целью перевязки наружной сонной артерии хирург обнажил в сонном треугольнике место деления общей сонной артерии на наружную и внутреннюю. Определите главный признак, по которому можно отличить эти артерии друг от друга:
А) внутренняя сонная артерия крупнее наружной
В) начало внутренней сонной артерии располагается глубже

С) от внутренней сонной артерии не отходят боковые ветви

D) начала наружной сонной артерии располагается глубже
Е) от наружной сонной артерии отходят боковые ветви
{Правильный ответ} = Е

{Сложность} = 2

{Учебник} = (Оперативная хирургия и топографическая анатомия, Островерхов Г.Е., 2005 г.)

{Курс} = 7

{Семестр} = 14

 

 

$$$012

При медицинском обследовании у пациента обнаружены незначительные выпячивания в подвздошно- паховой области. Где могут выходить наружные грыжи живота:

А) пупочной области

В) дуглосовой линии

С) паховой области

D) белой линий живота

Е) спигелиевой линий

{Правильный ответ} = С

{Сложность} = 2

{Учебник} = (Оперативная хирургия и топографическая анатомия, Островерхов Г.Е., 2005 г.)

{Курс} = 7

{Семестр} = 14

 

$$$013

После травмы в области верхней трети малоберцовой кости у больного отмечается слабость разгибателей стопы и пальцев (невозможно поднять носок стопы), нарушена чувствительность кожи латеральной поверхности голени и тыльной поверхности стопы. Поражение, какого нерва можно предполагать:
А) поверхностного малоберцового
В) общего малоберцового
С) глубокого малоберцового
D) большеберцового
Е) подкожного
{Правильный ответ} = А

{Сложность} = 3

{Учебник} = (Оперативная хирургия и топографическая анатомия, Островерхов Г.Е., 2005 г.)

{Курс} = 7

{Семестр} = 14

 

$$$014

Идет операция у больного 70 лет по поводу тромбоэмболии брыжеечных сосудов. Вся тонкая кишка, правая половина толстой кишки, часть поперечноободочной багрово-синюшного цвета. В бассейне какой артерии нарушен кровоток:

А) левая ободочная артерия

В) правая

С) средняя

D) нижняя брыжеечная

Е) верхняя брыжеечная артерия

{Правильный ответ} = Е

{Сложность} = 3

{Учебник} = (Оперативная хирургия и топографическая анатомия, Островерхов Г.Е., 2005 г.)

{Курс} = 7

{Семестр} = 14

 

$$$015

В брюшной полости обнаружена кровь. Больная взята на операцию по поводу внутрибрюшной кровотечения неясной этиологии. Укажите оперативные доступы;

А) доступ Пфанненштиля

В) стернотомия

С) средняя срединная лапаротомия

D) доступ Мак-Бурнея

Е) доступ Федорова

{Правильный ответ} = С

{Сложность} = 3

{Учебник} = (Оперативная хирургия и топографическая анатомия, Островерхов Г.Е., 2005 г.)

{Курс} = 7

{Семестр} = 14

 

$$$016

Из терапевтического отделения в хирургическое срочно переведен больной 72 лет, перенесший инфаркт миокарда. Несколько дней назад появились острые боли в животе. В настоящее время имеется клиника разлитого перитонита. На операции найдена гангрена левой половины толстой и сигмовидной кишки. В бассейне какой артерии нарушен кровоток:

А) средняя ободочная

В) правая ободочная

С) верхняя брыжеечная артерия

D) нижняя брыжеечная артерия

Е) сигмовидная

{Правильный ответ} = D

{Сложность} = 3

{Учебник} = (Оперативная хирургия и топографическая анатомия, Островерхов Г.Е., 2005 г.)

{Курс} = 7

{Семестр} = 14

 

$$$017

Больной Х., 19 лет, доставлен в отделение неотложной хирургии с касательным пулевым ранением в височной области. При поступлении больной без сознания, из раны обильное кровотечение. Какие сосуды могут быть источником кровотечения при ранении мягких тканей в височной области:

А) поверхностная височная артерия

В) средняя мозговая артерия

С) правая глубокая височная артерия

D) лобная артерия

Е) теменная артерия

{Правильный ответ} = А

{Сложность} = 3

{Учебник} = (Оперативная хирургия и топографическая анатомия, Островерхов Г.Е., 2005 г.)

{Курс} = 7

{Семестр} = 14

 

$$$018

Больная У., 14 лет поступила с жалобами на боли в ягодичной области после падения во время катания на лыжах при пальпации локальная болезненность в области правого седалищного бугра, усиливающаяся при движениях нижней конечности. На рентгенограмме перелом седалищной кости. Перечислите мышцы, прикрепляющиеся к седалищному бугру:

А) малая ягодичная мышца

В)большая ягодичная мышца

С) мышцы близнецы

D) наружная запирательная мышца

Е) внутренняя запирательная мышца

{Правильный ответ} = С

{Сложность} = 3

{Учебник} = (Оперативная хирургия и топографическая анатомия, Островерхов Г.Е., 2005 г.)

{Курс} = 7

{Семестр} = 14

 

$$$019

Больная Ф., 28 лет, поступила в хирургическое отделение с жалобами на опухолевидное выпячивание на медиальной поверхности бедра, появившееся после родов, боли при мочеиспускании. В анамнезе операция по поводу прямой паховой грыжи. При пальпации обнаружена бедренная грыжа. Укажите, чем образованно со стороны полости живота бедренное кольцо, являющееся наиболее вероятным местом выхода бедренных грыж:

А) поперечной фасции

В) квадратной фасции

С) пупартовой связкой

D) лакунарной связкой

Е) лимфатическими узлами

{Правильный ответ} = А

{Сложность} = 3

{Учебник} = (Оперативная хирургия и топографическая анатомия, Островерхов Г.Е., 2005 г.)

{Курс} = 7

{Семестр} = 14

 

$$$020

При обследовании в стационаре у больного обнаружили абсцесс (ограниченное гнойное воспаление) в седалищно-прямокишечной ямке, что потребовало обследования ее границ. Какие анатомические структуры ограничивают седалищно-прямокишечную ямку спереди:

А) седалищный бугор

В) наружный жом заднего прохода

С) поверхностная поперечная мышца

D) большая ягодичная мышца

Е) внутренняя поперечная мышца

{Правильный ответ} = С

{Сложность} = 3

{Учебник} = (Оперативная хирургия и топографическая анатомия, Островерхов Г.Е., 2005 г.)

{Курс} = 7

{Семестр} = 14


$$$021

В хирургическое отделение доставлен больной с проникающим ранением брюшной полости. Рана размером 3 см располагается в правой подреберной области. При ревизии брюшной полости выявлено повреждение воротной вены. Укажите, из слияния каких вен образуется воротная вена:

А) околопупочной и селезеночной

В) верхней брыжеечной и селезеночной

С) верхней брыжеечной и верхней полой вены

D) селезеночной и нижней брыжеечной

Е) верхней брыжеечной и нижней брыжеечной

{Правильный ответ} = В

{Сложность} = 3

{Учебник} = (Оперативная хирургия и топографическая анатомия, Островерхов Г.Е., 2005 г.)

{Курс} = 7

{Семестр} = 14

 

$$$022

В терапевтическое отделение поступил больной с острой сердечной недостаточностью. При обследовании больного врач обратил внимание на расширенные вены передней брюшной стенки, контуры которой особенно видны в области пупочного кольца. Какие вены участвуют в образовании анастомоза:

А) верхней надчревной и поверхностной подчревной

В) верхней надчревной и селезеночной

С) верхней надчревной и нижней надчревной

D) селезеночной и нижней брыжеечной

Е) околопупочной и поверхностной подчревной

{Правильный ответ} = Е

{Сложность} = 3

{Учебник} = (Оперативная хирургия и топографическая анатомия, Островерхов Г.Е., 2005 г.)

{Курс} = 7

{Семестр} = 14

 

Рус

Хирургия 03_

Тема «Визуальная диагностика» 09_

 

$$$001

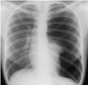
Больная 32 лет, жалуется на боль в левой половине грудной клетки, выраженную одышку с затруднением вдоха. Заболела внезапно, когда на фоне кашля появилась боль в левой половине грудной клетки, начала быстро нарастать одышка. Объективно: цианоз губ, левая половина грудной клетки несколько увеличена, отстает в акте дыхания, отмечается набухание шейных вен. При перкуссии: тимпанический оттенок звука слева, перкуторно нижняя граница левого легкого опущена (подвижность нижнего края не определялась из-за тяжести состояния больного). При аускультации отмечается резкое ослабление везикулярного дыхания. Назначена обзорная рентгенография органов грудной полости.

Для какой патологии характерна данная клиникорентгенологическая картина?

A) Пневмоторакс

B) Цирроз легкого

C) Кавернозный туберкулез

D) Пневмония

E) Гидроторакс

{Правильный ответ} = A

{Сложность} = 2

{Учебник} = (Лучевая диагностика и терапия: Учебник/ ред. С.К. Тернового. -М.: Медицина», 2010. - 368 с.)

{Курс} = 7

{Семестр} = 14

 

$$$002

Больная 28 лет, заболела остро 1, 5 недели назад: температура тела повысилась до 38, 6, появился сухой кашель, сильная боль в левой половине грудной клетки на вдохе. Назначена обзорная рентгенография органов грудной полости.

Для какой патологии наиболее характерен данный рентгенологический

синдром?

A) Острая пневмония

B) Ателектаз легкого

C) Экссудативный плеврит

D) Цирроз легкого

E) Фиброторакс после пульмонэктомии

{Правильный ответ} = C

{Сложность} = 2

{Учебник} = (Лучевая диагностика и терапия: Учебник/ ред. С.К. Тернового. - М.: Медицина», 2010. - 368 с.)

{Курс} = 7

{Семестр} = 14

 

$$$003

Больной, 42 года, жалуется на дисфагию и боли в эпигастрии. При рентгенологическом обследовании пищевода выявляется смещение части желудка в грудную полость, оно фиксировано в пищеводном отверстии по задней стенке абдоминального отдела пищевода округлый выступ бариевой взвеси – ниша, по краям ниши стенки пищевода ригидные. Какому заболеванию пищевода соответствует данная рентгенологическая картина?

A) Ахалазия пищевода

B) Рак пищевода

C) Химический ожог пищевода

D) Рубцовая деформация пищевода

E) Язва пищевода

{Правильный ответ} = E

{Сложность} = 2

{Учебник} = (Лучевая диагностика и терапия: Учебник/ ред. С.К. Тернового. -

М.: Медицина», 2010. - 368 с.)

{Курс} = 7

{Семестр} = 14

 

$$$004

Больной 59 лет, на обзорной рентгенограмме органов грудной полости определяется затемнение в области верхушки правого легкого, нижняя граница дугообразная, выпуклостью направлена книзу, верхние очертания тени не прослеживаются, отмечается деструкция 2 ребра. Для какой патологии данная рентгенологическая картина является типичной?

A) Центральный рак

B) Опухоль Пэнкоста

C) Осумкованный плеврит

D) Ателектаз

E) Долевая пневмония

{Правильный ответ} = B

{Сложность} = 3

{Учебник} = (Лучевая диагностика и терапия: Учебник/ ред. С.К. Тернового. -

М.: Медицина», 2010. - 368 с.)

{Курс} = 7

{Семестр} = 14

 

$$$005

Больной 67 лет. Курит 52 года. На рентгенограмме в правом корне легкого интенсивная неправильной овальной формы тень с лучистыми контурами. Рентгенологическая картина позволяет подозревать центральный экзобронхиальный рак правого легкого. Какой рентгенологический метод является предпочтительным для уточнения диагноза и определения стадии заболевания?

A) Продольная томография

B) Компьютерная томография

C) Бронхография

D) Магнитно-резонансная томография

E) Сонография

{Правильный ответ} = B

{Сложность} = 3

{Учебник} = (Лучевая диагностика и терапия: Учебник/ ред. С.К. Тернового. - М.: Медицина», 2010. - 368 с.)

{Курс} = 7

{Семестр} = 14

 

$$$006

Больная 26 лет. В анамнезе бронхоэктатическая болезнь. На рентгенограмме в нижних отделах левого легочного поля отмечается перибронхиальный склероз, легочный рисунок усилен, деформирован, ячеистый. Какой современный лучевой метод исследования, позволяет достоверно визуализировать бронхоэктазы?

A) Магнитно-резонансная томография

B) Рентгеноскопия

C) Обзорная рентгенография

D) Пневмомедиастинография

E) Компьютерная томография

{Правильный ответ} = E

{Сложность} = 3

{Учебник} = (Лучевая диагностика и терапия: Учебник/ ред. С.К. Тернового. - М.: Медицина», 2010. - 368 с.)

{Курс} = 7

{Семестр} = 14

 

$$$007

Больная 26 лет. В анамнезе бронхоэктатическая болезнь. На рентгенограмме в нижних отделах левого легочного поля отмечается перибронхиальный склероз, легочный рисунок усилен, деформирован, ячеистый. Какой современный лучевой метод исследования, позволяет достоверно визуализировать бронхоэктазы?

A) магнитно-резонансная томография

B) рентгеноскопия

C) обзорная рентгенография

D) пневмомедиастинография

E) компьютерная томография

{Правильный ответ} = E

{Сложность} = 3

{Учебник} = (Лучевая диагностика и терапия: Учебник/ ред. С.К. Тернового. - М.: Медицина», 2010. - 368 с.)

{Курс} = 7

{Семестр} = 14

 

$$$008

Больная 18 лет. Жалобы на чувство тяжести, локальную болезненность перед едой и по ночам в подложечной области, отрыжку кислым, тошноту. При рентгенологическом исследовании при тугом заполнении желудка определяется «ниша» по малой кривизне тела желудка, треугольной формы, 0, 5 см, на противоположной стороне локальный спазм. Какому заболеванию соответствует данная клиникорентгенологическая картина?

A) эрозивный гастрит

B) рак желудка

C) язва желудка

D) рак желудка с изъязвлением

E) полип

{Правильный ответ} = C

{Сложность} = 3

{Учебник} = (Лучевая диагностика и терапия: Учебник/ ред. С.К. Тернового. - М.: Медицина», 2010. - 368 с.)

{Курс} = 7

{Семестр} = 14

 

$$$009

Больной Д., 56 лет. Жалобы на дисфагию при рентгенологическом обследовании пищевода определяется краевой дефект наполнения с неровными бугристыми контурами размером 3х4 см. Складки слизистой в этом отделе перестроены, перистальтика отсутствует. Какому заболеванию пищевода соответствует данная рентгенологическая картина?

A) ахалазия пищевода

B) рак пищевода

C) химический ожог пищевода

D) рубцовая деформация пищевода

E) язва пищевода

{Правильный ответ} = B

{Сложность} = 3

{Учебник} = (Лучевая диагностика и терапия: Учебник/ ред. С.К. Тернового. - М.: Медицина», 2010. - 368 с.)

{Курс} = 7

{Семестр} = 14

 

$$$010

Больная Т. 22 лет. При рентгенологическом исследовании желудка натощак определяется жидкость, при тугом контрастировании, отмечается «треугольная» ниша 0, 5 см в длину, выходящая за контур по малой кривизне тела желудка, ускоренное прохождение контраста в области поражения. По большой кривизне регионарный спазм. Какие рентгенологические симптомы язвенной болезни относятся к косвенным признакам?

A) ниша на рельефе, воспалительный вал

B) гиперсекреция, симптом указующего перста, гипермотильность

C) ниша на контуре, конвергенция складок

D) воспалительный вал, конвергенция складок, ниша

E) конвергенция складок, локальная болезненность

{Правильный ответ} = B

{Сложность} = 1

{Учебник} = (Лучевая диагностика и терапия: Учебник/ ред. С.К. Тернового. - М.: Медицина», 2010. - 368 с.)

{Курс} = 7

{Семестр} = 14

 

$$$011

Больной Е., 42 года, жалуется на дисфагию и боли в эпигастрии. При рентгенологическом обследовании пищевода выявляется смещение части желудка в грудную полость, оно фиксировано в пищеводном отверстии по задней стенке абдоминального отдела пищевода округлый выступ бариевой взвеси – ниша, по краям ниши стенки пищевода ригидные. Какому заболеванию пищевода соответствует данная рентгенологическая картина?

A) ахалазия пищевода

B) рак пищевода

C) химический ожог пищевода

D) рубцовая деформация пищевода

E) язва пищевода

{Правильный ответ} = E

{Сложность} = 2

{Учебник} = (Лучевая диагностика и терапия: Учебник/ ред. С.К. Тернового. - М.: Медицина», 2010. - 368 с.)

{Курс} = 7

{Семестр} = 14

 

$$$012

Мужчина 57 лет жалуется на сильный кашель, который сопро­вож­дается болью в грудной клетке, выделением мокроты со сгу­ст­кa­ми крови, длительное повышение температуры тела до 37, 6оС, одыш­ку при умеренной нагрузке. В течение года похудел на 15 кг. Резкое ухуд­шение состояния отмечает в последние 2 месяца. Курит более 25 лет. На рентгенограммахоргановгруднойполости в 2-х стандартних проекциях, справа в области2 сегмента круглаятень с лучистыми контурами и дорожкой к корню легкого.

Для какого заболевания наиболее характерны вышеизложенные данные анамнеза и рентгенологического исследования?

A) рак верхней доли правого легкого

B) ателектаз правого легкого

C) пневмоторакс

D) хронический бронхит

E) эмфизема легких

{Правильный ответ} = A

{Сложность} = 2

{Учебник} = (Лучевая диагностика и терапия: Учебник/ ред. С.К. Тернового. - М.: Медицина», 2010. - 368 с.)

{Курс} = 7

{Семестр} = 14

Рус

Хирургия 03_

Тема «Хирургические болезни» 01_

Подтема «Хирургические инфекции. Амбулаторная хирургия» 01_

 

$$$001

Парапроктит — это:
A) воспаление вен прямой кишки
B) выпадение прямой кишки
C) воспаление околопрямокишечной клетчатки
D) воспаление прямой кишки

E) воспаление геморроидальных узлов

{Правильный ответ}=A

{Сложность}=1

{Учебник}= (Заболевания кишечника: руководство для врачей. Под ред. А.Э. Дорофеев, Т.Д. Звягинцева, Н.В. Харченко. Горлівка; ПП «Видавництво Ліхтар»Донецк, 2010 г.-532 с.; В.Л. Ривкин, А.С. Бронштейн, С.Н. Файн Руководство по колопроктологии-М.: из-во «Медпрактика». 2001.-300с)

{Курс}=7

{Семестр}=14

 

$$$002

Больная 38 лет обратилась к хирургу поликлиники с жалобами на боли в области заднего прохода, повышение температуры до 380С. Из анамнеза 5 лет назад было кратковременное воспаление в области ануса с незначительным выделением гноя.

Объективно: В области ануса на 3 часах имеется болезненный воспалительный инфильтрат 2, 0 х 3, 0 см. с деформацией наружного анального отверстия и его зиянием. С трудом удерживает газы, из прямой кишки выделяется слизь. Какой предварительный диагноз наиболее вероятен?

A) Хронический парапроктит

B) Острый парапроктит

C) Острый тромбоз геморроидальных узлов
D) Острая анальная трещина

E) Хронический геморрой 3 степени, ст. обострения

{Правильный ответ}=В

{Сложность}= 2

{Учебник}= (Заболевания кишечника: руководство для врачей. Под ред. А.Э. Дорофеев, Т.Д. Звягинцева, Н.В. Харченко. Горлівка; ПП «Видавництво Ліхтар»Донецк, 2010 г.-532 с.; В.Л. Ривкин, А.С. Бронштейн, С.Н. Файн Руководство по колопроктологии-М.: из-во «Медпрактика». 2001.-300с)

{Семестр}=14

 

$$$003

Какой наиболее удобный и безопасный доступ при аппендикулярном абсцессе?

A) косой разрез Мак – Бурнея – Волковича – Дьяконова

B) поперечный разрез Колесова

C) верхнесрединная лапаротомия

D) доступ Пирогова

E) нижнесрединная лапаротомия
{Правильный ответ}=D

{Сложность}=1

{Учебник}= (Госпитальная хирургия (руководство для врачей-интернов)/ Под ред. Л. Н. Бисенкова, В. М. Трофимова. – СПб.: Лань, 2003)

{Курс}=7

{Семестр}=14

 

$$$004

Применение марлевого тампона показано при:

A) вскрытии аппендикулярного абсцесса

B) перфорации червеобразного отростка

C) флегмонозном аппендиците с обильным выпотом в брюшную полость

D) ретроцекальномаппендиците

E) перитоните аппендикулярного происхождения

{Правильный ответ}=A

{Сложность}=2

{Учебник}= (Госпитальная хирургия (руководство для врачей-интернов)/ Под ред. Л. Н. Бисенкова, В. М. Трофимова. – СПб.: Лань, 2003)

{Курс}=7

{Семестр}=14

 

$$$005

В приемный покой обратился мужчина 45 лет, с жалобами на боль, отек гиперемию левой нижней конечности, общую слабость, повышение температуры тела до 390 С. В течение 5лет страдает сахарным диабетом 2-го типа. Локально: Левая нижняя конечность резко отечна от н/3 до в/3голени, на фоне отека отмечается ярко красная гиперемия с четко очерченными границами и с небольшим количеством мелких не вскрывшихся пузырьков заполненных серозным содержимым. Какой предварительный диагноз наиболее вероятен?

A) Анаэробная инфекция;

B) Буллезно-некротическая рожа;

C) Эритематозная форма рожи;

D) Буллезная рожа;

E) Некротическая рожа;


Поделиться с друзьями:

mylektsii.su - Мои Лекции - 2015-2026 год. (1.668 сек.)Все материалы представленные на сайте исключительно с целью ознакомления читателями и не преследуют коммерческих целей или нарушение авторских прав Пожаловаться на материал