Студопедия

Главная страница Случайная страница

КАТЕГОРИИ:

АвтомобилиАстрономияБиологияГеографияДом и садДругие языкиДругоеИнформатикаИсторияКультураЛитератураЛогикаМатематикаМедицинаМеталлургияМеханикаОбразованиеОхрана трудаПедагогикаПолитикаПравоПсихологияРелигияРиторикаСоциологияСпортСтроительствоТехнологияТуризмФизикаФилософияФинансыХимияЧерчениеЭкологияЭкономикаЭлектроника






Травматология и ортопедия_рус






 

$$$001 Пациент 37 лет жалуется на боли в правом коленном суставе. Боли беспокоят в течение всего дня. Больным себя считает в течение 3 мес., когда впервые появились боли. Последние прогрессируют. Правый коленный сустав увеличен в объеме, при пальпации умеренно болезнен, гипертермии кожи нет. На рентгенограмме следующая картина. Каков вид патологии?

A) злокачественная опухоль

B) несовершенный остеогенез

C) доброкачественная опухоль

D) подагра

E) остеохондропатия

{Правильный ответ} = A

{Сложность} = 2

{Учебник} = Травматология и ортопедия, Г.М. Кавалерский 2005 г.

{Курс} = 7

{Семестр} 14

$$$002 Назовите диагноз

A) Перелом акромиона с вывихом плеча

B) Перелом большого бугорка с вывихом плеча

C) Перелом клювовидного отростка лопатки с вывихом плеча

D) Перелом хирургической шейки плеча

E) Полный вывих акромиального конца ключицы

{Правильный ответ} = B

{Сложность} = 2

{Учебник} = Травматология и ортопедия, Г.М. Кавалерский 2005 г.

{Курс} = 7

{Семестр} 14

 

 

$$$003 Назовите принцип позволяющий различить эти два вида перелома голени

A) контакт между фрагментами при мысленном удалении осколков

B) угол между перпендикуляром и основной линией излома

C) расстояние от ближайшего эпифизарного конца кости

D) количество осколков

E) распространение линии перелома на метафизарный участок кости

{Правильный ответ} = A

{Сложность} = 3

{Учебник} = Травматология и ортопедия, Г.М. Кавалерский 2005 г.

{Курс} = 7

{Семестр} 14

$$$004 Назовите принцип позволяющий различить эти два вида перелома

A) угол между перпендикуляром и основной линией излома

B) контакт между фрагментами при мысленном удалении осколков

C) расстояние от ближайшего эпифизарного конца кости

D) количество осколков

E) распространение линии перелома на метафизарный участок кости

{Правильный ответ} = A

{Сложность} = 3

{Учебник} = Травматология и ортопедия, Г.М. Кавалерский 2005 г.

{Курс} = 7

{Семестр} 14

$$$005 Почему при таком повреждении остеосинтез является единственным оптимальным методом лечения?

A) дистальный отломок как правило ущемляется в полости коленного сустава, что устраняется только оперативным путем

B) кровоснабжение надколенника и так проблематичное, резко нарушается при переломе и требует жесткой фиксации отломков для восстановления кровотока и сращения перелома

C) между отломками как правило, интерпонируется m.vastusintermedius

D) к центральному отломку прикрепляется четырехглавая мышца бедра, которая делает невозможным репозицию и удержание отломков

E) близкое расположение сосудисто-нервного пучка создает высокую степень риска его повреждения смещенными отломками, особенно в момент закрытой репозиции

{Правильный ответ} = D

{Сложность} = 3

{Учебник} = Травматология и ортопедия, Г.М. Кавалерский 2005 г.

{Курс} = 7

{Семестр} 14

$$$006 Назовите способ репозиции и повреждение

A) репозиция по Уитмену, перелом шейки бедра

B) репозиция по Кохеру, вывих бедра

C) репозиция по Кохеру, чрезвертельный перелом бедра

D) репозиция по Джанелидзе, вывих бедра

E) репозиция по Гиппократу, вывих бедра

{Правильный ответ} = B

{Сложность} = 2

{Учебник} = Травматология и ортопедия, Г.М. Кавалерский 2005 г.

{Курс} = 7

{Семестр} 14

$$$007 Назовите диагноз

A) Компрессионный 3 степени нестабильный перелом тела L2 позвонка

B) Компрессионный 1 степени стабильный перелом тела L1 позвонка

C) Взрывной нестабильный перелом тела L5 позвонка

D) Компрессионный 1 степени нестабильный перелом тела L4 позвонка

E) Подвывих L3 позвонка кпереди

{Правильный ответ} = A

{Сложность} = 3

{Учебник} = Травматология и ортопедия, Г.М. Кавалерский 2005 г.

{Курс} = 7

{Семестр} 14

 

 

$$$008 Назовите диагноз повреждения

A) компрессионный нестабильный перелом С 5 позвонка 1 степени

B) подвывих С 2 позвонка кзади

C) перелом повешенного

D) подвывих С3 позвонка кпереди

E) компрессионный стабильный перелом С2 позвонка II степени

{Правильный ответ} = D

{Сложность} = 3

{Учебник} = Травматология и ортопедия, Г.М. Кавалерский 2005 г.

{Курс} = 7

{Семестр} 14

$$$009 Укажите один из абсолютных клинических признаков указанного повреждения (см. рентгенограмму)

A) Патологическая подвижность

B) Пружинящее сопротивление

C) Крепитация отломков

D) Выраженный болевой синдром

E) Уменьшение абсолютной длины будра

{Правильный ответ} = B

{Сложность} = 2

{Учебник} = Травматология и ортопедия, Г.М. Кавалерский 2005 г.

{Курс} = 7

{Семестр} 14

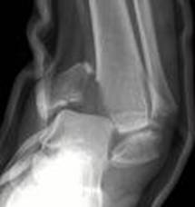
$$$010 https://images.google.ru/imgres? imgurl=https://ankleorif.com/db1/00096/ankleorif.com/_uimages/rivord2.JPG& imgrefurl=https://ankleorif.com/_wsn/page2.html& h=422& w=395& sz=17& hl=ru& start=24& um=1& usg=__D2aAwHaj7He8gr2Pw-id_NFDGdU=& tbnid=9Ys4VXNKat7VSM: & tbnh=126& tbnw=118& prev=/images%3Fq%3Dmalleolar%2Bfractures%26start%3D20%26ndsp%3D20%26um%3D1%26hl%3Dru%26lr%3D%26sa%3DNКак производится репозиция такого повреждения

A) Пронация и смещение стопы кнаружи

B) Супинация и смещение стопы кнутри

C) Сгибание и смещение стопы кзади

D) Разгибание и смещение стопы кпереди

E) Инверсия и ротация стопы кнутри

{Правильный ответ} = A

{Сложность} = 3

{Учебник} = Травматология и ортопедия, Г.М. Кавалерский 2005 г.

{Курс} = 7

{Семестр} 14

$$$011 В чем особенность скелетного вытяжения при таком переломе и почему?

A) валик под ягодицу – установка центрального отломка по оси дистального

B) помимо тяги по оси дополнительная тяга за большой вертел кнутри - установка центрального отломка по оси дистального

C) вытяжение в положении сгибания в коленном суставе – наиболее оптимальное положение в плане профилактики контрактуры сустава

D) вытяжение в положении полного разгибания в коленном суставе – достижение расслабления всех смещающих мышц

E) вытяжение в положении отведения – установка дистального отломка по оси центрального

{Правильный ответ} = E

{Сложность} = 3

{Учебник} = Травматология и ортопедия, Г.М. Кавалерский 2005 г.

{Курс} = 7

{Семестр} 14

$$$012 Назовите предположительный диагноз

A) наружный вывих голени

B) перелом наружного мыщелка бедра

C) наружный вывих надколенника

D) разрыв собственной связки надколенника

E) разрыв сухожилия четырехглавой мышцы бедра

{Правильный ответ} = C

{Сложность} = 2

{Учебник} = Травматология и ортопедия, Г.М. Кавалерский 2005 г.

{Курс} = 7

{Семестр} 14

$$$013 Назовите повреждение

A) Сгибательный надмыщелковый перелом плеча

B) Перелом венечного отростка

C) Разгибательный надмыщелковый перелом плеча

D) Перелом локтевого отростка

E) Перелом блока плечевой кости

{Правильный ответ} = D

{Сложность} = 2

{Учебник} = Травматология и ортопедия, Г.М. Кавалерский 2005 г.

{Курс} = 7

{Семестр} 14

$$$014 Назовите вид исследования и причину его применения

A) МРТ, огнестрельный перелом правой лонной кости

B) контрастная цистография, разрыв мочевого пузыря

C) контрастная фистулография, остеомиелит лонной кости справа

D) компьютерная томография, разрыв лонного симфиза

E) контрастная уретрография, разрыв уретры

{Правильный ответ} = B

{Сложность} = 2

{Учебник} = Травматология и ортопедия, Г.М. Кавалерский 2005 г.

{Курс} = 7

{Семестр} 14

$$$015 Какое повреждение лечится таким образом

A) перелом ключицы

B) вывих ключицы

C) перелом шейки лопатки

D) вывих плеча

E) перелом верхних ребер

{Правильный ответ} = A

{Сложность} = 2

{Учебник} = Травматология и ортопедия, Г.М. Кавалерский 2005 г.

{Курс} = 7

{Семестр} 14

$$$016 Назовите диагноз

A) Неосложненный перелом 3-5 ребер справа

B) Пневмоторакс справа

C) Неосложненный перелом 3-5 ребер слева

D) Пневмоторакс слева

E) Пневмогемоторакс справа

{Правильный ответ} = B

{Сложность} = 2

{Учебник} = Травматология и ортопедия, Г.М. Кавалерский 2005 г.

{Курс} = 7

{Семестр} 14

$$$017 Назовите диагноз

A) Неосложненный перелом 6-7 ребер справа

B) Пневмоторакс справа

C) Неосложненный перелом 6-7 ребер слева

D) Пневмоторакс слева

E) Пневмогемоторакс справа

{Правильный ответ} = D

{Сложность} = 2

{Учебник} = Травматология и ортопедия, Г.М. Кавалерский 2005 г.

{Курс} = 7

{Семестр} 14

 

$$$018 Как проводится лечение застарелого разрыва мениска коленного сустава?

A) Консервативно, отсроченное наложение гипсовой повязки, назначение НПВП

B) Оперативно, ушивание поврежденного мениска

C) Оперативно, удаление поврежденного мениска,

D) Оперативно, замена поврежденного мениска,

E) Оперативно, эндопротезирование сустава

{Правильный ответ} = C

{Сложность} = 1

{Учебник} = Травматология и ортопедия, Г.М. Кавалерский 2005 г.

{Курс} = 7

{Семестр} 14

$$$019 Как рентгенологически можно верифицировать диагноз разрыва внутренней боковой связки коленного сустава?

A) Нужно контрастировать сустав с помощью газа

B) Для этого надо сделать рентген снимок во время варус-стресс теста.

C) Для этого надо сделать рентген снимок во время вальгус-стресс теста.

D) Для этого надо сделать рентген снимок во время внутренней ротации голени

E) Для этого надо сделать рентген снимок наружной ротации голени

{Правильный ответ} = C

{Сложность} = 1

{Учебник} = Травматология и ортопедия, Г.М. Кавалерский 2005 г.

{Курс} = 7

{Семестр} 14

$$$020 Назовите полный диагноз

A) Сросшийся перелом средней трети бедра, состояние после внутрикостного блокирующего остеосинтеза

B) Гиперваскулярный ложный сустав верхней трети бедра, состояние после накостного остеосинтеза

C) Срастающийся перелом средней трети бедра, состояние после внутрикостного центромедуллярного остеосинтеза

D) Сросшийся чрезвертельный перелом бедра, состояние после внутрикостного блокирующего остеосинтеза

E) Сросшийся перелом средней трети бедра, состояние после чрескостного стержневого остеосинтеза

{Правильный ответ} = A

{Сложность} = 3

{Учебник} = Травматология и ортопедия, Г.М. Кавалерский 2005 г.

{Курс} = 7

{Семестр} 14

$$$021 Больной А. 25 лет, с жалобами на боли в области таза, животе. Со слов больного был сбит автомобилем 4 часа назад. В сознании, адекватен, ориентирован, на вопросы отвечает правильно. АД=80/40 мм.рт.ст., PS=108 уд/мин. При обследовании выявлен перелом лонной и седалищной кости справа, разрыв мочевого пузыря. Укажите вид политравмы и степень травматического шока?

A) Множественная травма. Травматический шок II ст.

B) Сочетанная травма. Травматический шок III ст.

C) Сочетанная травма. Травматический шок II ст.

D) Комбинированная травма. Разрыв мочевого пузыря. Травматический шок II ст.

E) Множественная травма. Травматический шок III ст.

{Правильный ответ} = C

{Сложность} = 3

{Учебник} = Травматология и ортопедия, Г.М. Кавалерский 2005 г.

{Курс} = 7

{Семестр} 14

$$$022 В момент резкого рывка при подъеме тяжести с поверхности земли больной почувствовал резкую боль в пояснице. При обследовании в положении больного стоя определяется напряжение поясничных мышц справа. Попытка больного наклониться вправо сопровождается усилением боли. Пальпация по левойпаравертебральной линии резко болезненна. Рентгенограмма представлена. Назовите диагноз

A) Компрессионный I ст., стабильный перелом тела L3 позвонка

B) Перелом поперечных отростков L3-L4 позвонков слева

C) Взрывной, нестабильный перелом тела L4 позвонка

D) Перелом поперечных отростков L2-L3 позвонков справа

E) Спондилолистез (подвывих) L5 позвонка кпереди

{Правильный ответ} = B

{Сложность} = 3

{Учебник} = Травматология и ортопедия, Г.М. Кавалерский 2005 г.

{Курс} = 7

{Семестр} 14

 

Дисциплина: «Детская хирургия» по направлению «Хирургические болезни»


Поделиться с друзьями:

mylektsii.su - Мои Лекции - 2015-2026 год. (2.624 сек.)Все материалы представленные на сайте исключительно с целью ознакомления читателями и не преследуют коммерческих целей или нарушение авторских прав Пожаловаться на материал