Студопедия

Главная страница Случайная страница

КАТЕГОРИИ:

АвтомобилиАстрономияБиологияГеографияДом и садДругие языкиДругоеИнформатикаИсторияКультураЛитератураЛогикаМатематикаМедицинаМеталлургияМеханикаОбразованиеОхрана трудаПедагогикаПолитикаПравоПсихологияРелигияРиторикаСоциологияСпортСтроительствоТехнологияТуризмФизикаФилософияФинансыХимияЧерчениеЭкологияЭкономикаЭлектроника






Анатомическое изучение малины листьев






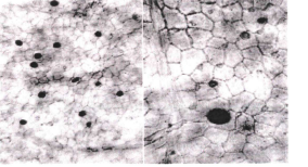
Сведения о микроскопическом строении листьев малины в доступной литературе практически отсутствуют [36]. Имеются лишь краткие сведения о строении эпидермиса листа. В связи с этим было необходимо провести исследование анатомического строения и анатомо-диагностических признаков листьев малины. Цельное сырье. При рассмотрении листа с поверхности видны с верхней стороны многоугольные полигональные клетки эпидермиса с прямыми, слабоизвилистыми и извилистыми стенками, длиной 20 - 62 мкм, шириной 8-33мкм.

Рисунок 3 - Малины листья. Верхний эпидермис.

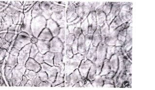
Многоугольные полигональные клетки с прямыми стенками. Просвечивающие друзы, (слева ув. х 105; справа ув. х 200). С нижней стороны - клетки со слабоизвилистыми, извилистыми стенками. Клетки эпидермиса вдоль жилок вытянуты прямоугольной, веретеновидной и комбинированной формы. Видны простые волоски, устьица.

 

 

Рисунок 4 - Малины листья. Нижний эпидермис.

Простые тонкостенные волоски, места их прикрепления, устьица. (Ув. х 450) Кутикула с обеих сторон листа ровная. Устьица аномоцитного типа обильно расположены с нижней стороны листа (длиной 75-92 мкм, шириной 8-21 мкм; на зубчиках листа устьица более крупные – гидотоды).

 


Поделиться с друзьями:

mylektsii.su - Мои Лекции - 2015-2026 год. (3.266 сек.)Все материалы представленные на сайте исключительно с целью ознакомления читателями и не преследуют коммерческих целей или нарушение авторских прав Пожаловаться на материал