Студопедия

Главная страница Случайная страница

КАТЕГОРИИ:

АвтомобилиАстрономияБиологияГеографияДом и садДругие языкиДругоеИнформатикаИсторияКультураЛитератураЛогикаМатематикаМедицинаМеталлургияМеханикаОбразованиеОхрана трудаПедагогикаПолитикаПравоПсихологияРелигияРиторикаСоциологияСпортСтроительствоТехнологияТуризмФизикаФилософияФинансыХимияЧерчениеЭкологияЭкономикаЭлектроника






Многослойный плоский неороговевающий эпителий






(срез роговицы глаза). (см. Гунин «Гистология в таблицах и схемах».

В атласе открыть раздел «эпителий» и зарисовать препарат в альбом)

Окраска гематоксилином и эозином. Увеличение 10х8; 10х40.

 

На малом увеличении найдите на наружной поверхности роговицы многослойный эпителий. Переведите препарат на среднее увеличение и рассмотрите его. Найдите базальную мембрану. На ней расположен слой низких призматических клеток с овальными ядрами, ориентированными перпендикулярно мембране (базальный слой). Над ним располагается несколько слоев клеток неправильной формы с округлыми ядрами (слой шиповатых клеток). Снаружи располагаются несколько слоев плоских клеток. Их ядра уплощены и лежат параллельно поверхности роговицы

Зарисовать и обозначить:

1) базальную мембрану, 2) базальный слой, 3) слой шиповатых клеток, 4) поверхностный слой плоских клеток.

 

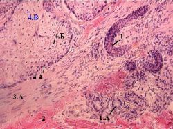
2. Простая разветвленная альвеолярная железа (кожа с волосом).

Окраска гематоксилином и эозином. Увеличение 10х8; 10х40.

На малом увеличении в области корня волоса найдите сальную железу. Выводной проток железы (2) открывается в волосяную воронку. Концевой отдел разветвлен (1). Он имеет вид нескольких мешочков. Переведите препарат на среднее увеличение и рассмотрите его. Найдите в концевом отделе периферический слой мелких базофильных клеток – базальный слой (4а), за которым следует несколько слоев больших прозрачных клеток – клетки, накапливающие жир (себоциты) – 4б. При слегка опущенном конденсоре видна ячеистая структура их цитоплазмы. Ближе к выводному протоку лежат разрушающиеся клетки (4в). Их ядра плотные, сморщенные или отсутствуют.

Зарисовать и обозначить:

1) выводной проток; 2) альвеолярные концевые отделы и в них: а) базальный слой клеток, б) секреторные клетки себоциты, в) разрушающиеся себоциты.

 


Поделиться с друзьями:

mylektsii.su - Мои Лекции - 2015-2026 год. (2.986 сек.)Все материалы представленные на сайте исключительно с целью ознакомления читателями и не преследуют коммерческих целей или нарушение авторских прав Пожаловаться на материал