Студопедия

Главная страница Случайная страница

КАТЕГОРИИ:

АвтомобилиАстрономияБиологияГеографияДом и садДругие языкиДругоеИнформатикаИсторияКультураЛитератураЛогикаМатематикаМедицинаМеталлургияМеханикаОбразованиеОхрана трудаПедагогикаПолитикаПравоПсихологияРелигияРиторикаСоциологияСпортСтроительствоТехнологияТуризмФизикаФилософияФинансыХимияЧерчениеЭкологияЭкономикаЭлектроника






Б. Кора надпочечников






1. а)Клубочковая зона(2А): клетки образуют округлые скопления - клубочки, а синтезируют минералокортикоидный гормон - альдостерон. б) Над и под клубочковой зоной находятся две узкие ростковые областииз мелких малодифференцированных клеток. б) (Большое увеличение) Полный размер
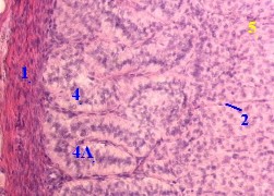
2. Пучковая зона (5 на снимках в-г): является самой протяжённой по толщине; клетки организованы в длинные пучки, ориентированные перпендикулярно поверхности; в) (Среднее увеличение) Полный размер
при этом у них - ячеистая цитоплазма - из-за наличия большого количества крупных липидных включений (готовых гормонов), синтезируемые гормоны - гликокортикоиды: кортикостерон, гидрокортизон и др. г) (Большое увеличение) Полный размер
3. Сетчатая зона (7 на снимке д): клетки более мелкие, чем в пучковой зоне; образуют рыхлую сеть вблизи мозгового вещества, продуцируют андрогенный гормон - андростендиол. д) Полный размер

Поделиться с друзьями:

mylektsii.su - Мои Лекции - 2015-2026 год. (4.199 сек.)Все материалы представленные на сайте исключительно с целью ознакомления читателями и не преследуют коммерческих целей или нарушение авторских прав Пожаловаться на материал