Студопедия

Главная страница Случайная страница

КАТЕГОРИИ:

АвтомобилиАстрономияБиологияГеографияДом и садДругие языкиДругоеИнформатикаИсторияКультураЛитератураЛогикаМатематикаМедицинаМеталлургияМеханикаОбразованиеОхрана трудаПедагогикаПолитикаПравоПсихологияРелигияРиторикаСоциологияСпортСтроительствоТехнологияТуризмФизикаФилософияФинансыХимияЧерчениеЭкологияЭкономикаЭлектроника






Препарат № 2.

Препарат № 1.

«Печень человека»

(окраска гематоксилином и эозином).

I. Печеночная долька, в ней:

1. центральная вена;

2. печеночная пластинка из гепатоцитов;

3. синусоидный капилляр.

4. ядро звездчатого макрофага.

II. Междольковая соединительная ткань, в ней:

1. Триада:

а. междольковая артерия;

б. междольковая вена;

в. междольковый желчный проток.

2. Собирательная вена.

 

II.2

                       
   
   
 
 
   
 
 
   
 
   
 

Пищеварительные железы

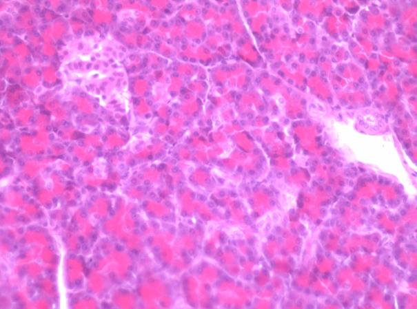
Препарат № 2.

«Поджелудочная железа»

(окраска гематоксилином и эозином).

1. Капсула.

2. Трабекула, в ней:

а. междольковый выводной проток;

б. пластинчатое нервное тельце (вегетативный ганглий);

в. кровеносные сосуды

3. Ацинус железы, в нем:

а. просвет концевого отдела;

б. панкреатический экзокриноцит

в. гомогенная зона клетки;

г. зимогенная зона клетки;

д. вставочный выводной проток

4. Панкреатический островок, в нем:

а. инсулоциты;

б. синусоидные капилляры.

 

 

 

     
 
 
 


 

<== предыдущая лекция | следующая лекция ==>
Критерії оцінювання | Плавка в основной печи на углеродистой шихте
Поделиться с друзьями:

mylektsii.su - Мои Лекции - 2015-2026 год. (4.629 сек.)Все материалы представленные на сайте исключительно с целью ознакомления читателями и не преследуют коммерческих целей или нарушение авторских прав Пожаловаться на материал