Студопедия

Главная страница Случайная страница

КАТЕГОРИИ:

АвтомобилиАстрономияБиологияГеографияДом и садДругие языкиДругоеИнформатикаИсторияКультураЛитератураЛогикаМатематикаМедицинаМеталлургияМеханикаОбразованиеОхрана трудаПедагогикаПолитикаПравоПсихологияРелигияРиторикаСоциологияСпортСтроительствоТехнологияТуризмФизикаФилософияФинансыХимияЧерчениеЭкологияЭкономикаЭлектроника






А. Общие сведения






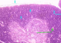
Препарат 21.

Тимус ребёнка. Окраска гематоксилин-эозином.

(Нижеследующее описание основывается на материале раздела 20.3.2.)

А. Общие сведения

1. а) Тимус, как и красный костный мозг, относится к центральным органам кроветворения. б) В нём происходят заключительные стадии антигеннезависимого созревания Т-лимфоцитов.
2. а) С поверхности тимус покрыт капсулой (1) из плотной волокнистой соединительной ткани. б) От неё отходят перегородки (2), разделяющие тимус на дольки (3). 3. В каждой дольке различают две области: а) (Малое увеличение) Полный размер
на периферии - корковое вещество (4), более тёмное на препарате (поскольку густо заселено лимфоцитами); в центре дольки - светлое мозговое вещество (5). 4. В свою очередь, в каждой области имеются два тканевых компонента: лимфоидный и стромальный.

Охарактеризуем эти компоненты отдельно для коркового и для мозгового вещества.


Поделиться с друзьями:

mylektsii.su - Мои Лекции - 2015-2026 год. (2.132 сек.)Все материалы представленные на сайте исключительно с целью ознакомления читателями и не преследуют коммерческих целей или нарушение авторских прав Пожаловаться на материал