Студопедия

Главная страница Случайная страница

КАТЕГОРИИ:

АвтомобилиАстрономияБиологияГеографияДом и садДругие языкиДругоеИнформатикаИсторияКультураЛитератураЛогикаМатематикаМедицинаМеталлургияМеханикаОбразованиеОхрана трудаПедагогикаПолитикаПравоПсихологияРелигияРиторикаСоциологияСпортСтроительствоТехнологияТуризмФизикаФилософияФинансыХимияЧерчениеЭкологияЭкономикаЭлектроника






Эпителиальная ткань

ОБЩАЯ ЭМБРИОЛОГИЯ

ЗАЧАТКИ ГОЛОВНОГО И СПИННОГО МОЗГА, СОМИТЫ, НЕФРОГЕННАЯ ТКАНЬ зародыш курицы, 36 часов инкубации Окраска гематоксилином
ЗАРОДЫШЕВЫЕ ЛИСТКИ И ОСЕВЫЕ ОРГАНЫ Окраска гематоксилином

 

ЭПИТЕЛИАЛЬНАЯ ТКАНЬ

МЕЗОТЕЛИЙ (ОДНОСЛОЙНЫЙ ПЛОСКИЙ ЭПИТЕЛИЙ), вид сверху Импрегнация нитратом серебра
ОДНОСЛОЙНЫЙ ПЛОСКИЙ ЭПИТЕЛИЙ Окраска гематоксилин-эозином.
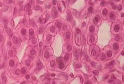
ОДНОСЛОЙНЫЙ КУБИЧЕСКИЙ ЭПИТЕЛИЙ Окраска гематоксилин-эозином.
ОДНОСЛОЙНЫЙ КУБИЧЕСКИЙ ЭПИТЕЛИЙ Окраска гематоксилин-эозином.
ОДНОСЛОЙНЫЙ ПРИЗМАТИЧЕСКИЙ ОДНОРЯДНЫЙ ЭПИТЕЛИЙ Окраска гематоксилин-эозином.
ОДНОСЛОЙНЫЙ ПРИЗМАТИЧЕСКИЙ МНОГОРЯДНЫЙ ЭПИТЕЛИЙ Окраска гематоксилин-эозином.
ОДНОСЛОЙНЫЙ ПРИЗМАТИЧЕСКИЙ МНОГОРЯДНЫЙ РЕСНИТЧАТЫЙ (МЕРЦАТЕЛЬНЫЙ) ЭПИТЕЛИЙ Окраска гематоксилин-эозином.
ОДНОСЛОЙНЫЙ ПРИЗМАТИЧЕСКИЙ МНОГОРЯДНЫЙ РЕСНИТЧАТЫЙ (МЕРЦАТЕЛЬНЫЙ) ЭПИТЕЛИЙ Окраска железным гематоксилином.
ДВУХСЛОЙНЫЙ ПРИЗМАТИЧЕСКИЙ ЭПИТЕЛИЙ Окраска гематоксилин-эозином.
МНОГОСЛОЙНЫЙ ПЛОСКИЙ НЕОРОГОВЕВАЮЩИЙ ЭПИТЕЛИЙ Окраска гематоксилин-эозином.
МНОГОСЛОЙНЫЙ ПЛОСКИЙ НЕОРОГОВЕВАЮЩИЙ ЭПИТЕЛИЙ Окраска гематоксилин-эозином.
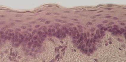
МНОГОСЛОЙНЫЙ ПЛОСКИЙ ОРОГОВЕВАЮЩИЙ ЭПИТЕЛИЙ (ЭПИДЕРМИС) Окраска гематоксилин-эозином.
МНОГОСЛОЙНЫЙ ПЛОСКИЙ ОРОГОВЕВАЮЩИЙ ЭПИТЕЛИЙ (ЭПИДЕРМИС) Окраска гематоксилин-эозином.
ПЕРЕХОДНЫЙ ЭПИТЕЛИЙ (УРОТЕЛИЙ) Окраска гематоксилин-эозином.

 

<== предыдущая лекция | следующая лекция ==>
Как на самом деле в СССР добывали стратегический чугуний. | Катушка зажигания
Поделиться с друзьями:

mylektsii.su - Мои Лекции - 2015-2026 год. (4.407 сек.)Все материалы представленные на сайте исключительно с целью ознакомления читателями и не преследуют коммерческих целей или нарушение авторских прав Пожаловаться на материал