Студопедия

Главная страница Случайная страница

КАТЕГОРИИ:

АвтомобилиАстрономияБиологияГеографияДом и садДругие языкиДругоеИнформатикаИсторияКультураЛитератураЛогикаМатематикаМедицинаМеталлургияМеханикаОбразованиеОхрана трудаПедагогикаПолитикаПравоПсихологияРелигияРиторикаСоциологияСпортСтроительствоТехнологияТуризмФизикаФилософияФинансыХимияЧерчениеЭкологияЭкономикаЭлектроника






Изучение гистологических препаратов.






Актуальность темы.

Знание характерных морфологических признаков эпителиальных тканей в норме дает возможность разобраться в функциональных особенностях их, формирование ими защитных механизмов, что дает возможность объяснить возникновение некоторых патологических процессов, правильно поставить диагноз и прогнозировать исход болезни.

Цель занятия.

Научить определять на препаратах типы эпителиальных тканей ивиды желез. Изучить морфологические особенности отдельных видов эпителия.

План изучения темы.

Предварительный анализ гистологического строения ткани ижелез с помощью учебных таблиц, схем, слайдов.

Изучение на микропрепаратах основных структурных элементов желез, особенностей строения сероцитов и мукоцитов.

Обозначение структур, изученных на препаратах.

Использование полученных знаний для сравнительного изучения микроструктур и решения ситуационных задач по теме занятия.

Дополнительная литература:

1.Шубникова Е.А. Эпителиальные ткани. – М.: МГУ.1996. 256с

2. Хэм А., Кормак Д. Гистология. - М.: Мир, 1982 - 1983. - Т. 1-5. -1354 с.

Вопросы для самоконтроля.

1. Дайте определение тканей и приведите их классификацию.
2. Охарактеризуйте общие морфологические и функциональные признаки эпителиев.
3. Охарактеризуйте производные базальной, латеральной и апикальной частей цитолеммы эпителиоцитов.
4. Охарактеризуйте принципы морфофункциональной и гистогенетической классификаций эпителиев.
5. Назовите типы эпителиев согласно морфофункциональной классификации.
6. Назовите типы эпителиев согласно гистогенетической классификации.
7. Назовите разновидности однослойных эпителиев и типичные примеры их локализации.
8. Назовите разновидности многослойных эпителиев и типичные пример их локализации.
9. Охарактеризуйте слои и клеточный состав многослойного ороговевающего и неороговевающего эпителиев.
10. Охарактеризуйте строение и особенности цитоскелета эпителиальных клеток.

11. Опишите строение и функции базальной мембраны. 12. Охарактеризуйте особенности физиологической регенерации различных типов эпителия.
13. Приведите общую классификацию желез.
14. Опишите общее строение железистых эпителиоцитов экзокринных и эндокринных желез, особенности их ультраструктуры.
15. Опишите особенности строения железистых эпителиоцитов (гландулоцитов), выделяющих слизистые, белковые и липидные секреты.
16. Приведите примеры экзокринных желез с различным строением и характером секрета.
17. Назовите и охарактеризуйте фазы секреторного цикла.
18. Дайте характеристику различным способам выделения секрета железистыми клетками и особенностям их физиологической регенерации.

 

Изучение гистологических препаратов.

Учебные препараты:

Рис. 3.1. Однослойный плоский эпителий (мезотелий). Сальник. Тотальный препарат. Импр. AgNO3 + Г.

Препарат представляет кусочек сальника в виде просвечивающей пленки, распластан­ной на предметном стекле. Толщина препа­рата в различных участках неодинакова, что влечет за собой разную интенсивность импрегнации серебром. При малом увеличении надо выбрать наиболее тонкий участок препарата, окра­шенный в желтоватый цвет, на фоне которого выступают извилистые черные линии — границы между эпителиальными клетками. При большом увеличении вид­ны многоугольные клетки мезотелия с граница­ми извилистой формы, образующие характерный для эпителиальной ткани клеточный пласт. В каждой клетке мезотелия можно различить ядро округлой или овальной фор­мы. Иногда ядра эпителия кажутся лежащими на пересечении клеточных границ. Это либо ядра эпите­лиальных клеток другой нижней поверхности сальника, либо ядра соединительнотканных клеток, выделяющиеся своей веретенообразной формой и более темной окраской.

Рис. 3.2. Одно­слойный кубический эпителий. Почка крысы. Окр.: Г+Э.

При малом увеличении надо найти поперечные сре­зы почечных канальцев, имеющих вид округлых или овальных полых образований, выстланных однослой­ным эпителием. Под эпителием находится рыхлая соединительная ткань, богатая кровеносными сосудами. Надо выбрать каналец, выстланный однослойным кубическим эпителием с хорошо выраженными границами кле­ток, изучить участок эпителиального пласта при большом увеличении. Ядра клеток кубического эпителия круглые, расположены приблизи­тельно в центре клеток. Базальные концы эпителиальных клеток обращены к соединительной ткани и распо­лагаются на базальной мембра­не. Апикальные концы клеток обращены в просвет ка­нальца.

Рис. 3.3. Многослойный плоский эпителий. Роговица глаза. Окр.: Г+Э.

При малом увеличении надо ориентировать препа­рат таким образом, чтобы эпителиальный пласт нахо­дился в верхней части среза эпителиев. Надо выбрать участок эпителия, в котором видны границы клеток, изучить и зарисовать его при большом увеличении. Необходимо обратить внимание на различ­ное строение клеток в разных слоях эпителия. Эпителиальный пласт от­делен от соединительной ткани базальной мембраной, на которой в один слой расположены клет­ки призматической формы с закругленными апи­кальными концами и ядрами, лежащими ближе к апикальному концу. Эти клетки образуют базальный слой. Выше в несколько рядов располагаются клет­ки разнообразной полигональной и отростчатой фор­мы с центрально лежащими ядрами. Они образуют слой шиповатых клеток. Оба слоя объединяются в общий ростковый слой. По мере деления клетки отодвигаются от соединительной ткани, в результате чего ухудшаются условия их питания, они перестают размножаться, уплощаются, их яд­ра принимают овальную форму. Многослойность и различное строение клеток в разных слоях – вертикальный анизоморфизм – является отличительной особенностью эпидермальных эпителиев, к которому относится эпителий роговицы глаза.

Рис. 3.4. Простые трубчатые железы. Срез матки. Окр.: Г+Э.

При малом увеличении найти внутреннюю оболочку матки (эндометрий), покрытую призматическим эпителием, который, погружаясь в слизистую, образует простые трубчатые железы. Под большим увеличением рассмотреть концевой отдел и выводной проток.

Рис. 3.5. Сложные разветвленные альвеолярно-трубчатые железы. Срез пищевода. Окр.: Г+Э.

В подслизистой основе пищевода найти светлые секреторные концевые отделы, имеющие форму округлых образований. Выводные протоки в виде узких трубочек открываются на поверхность эпителия. Под большим увеличением рассмотреть секреторные клетки, их ядра, имеющие уплощенную форму, ячеистую цитоплазму.

 

Демонстрационные препараты:

· Переходный эпителий стенки мочевого пузыря. Окр.: Г+Э (рис. 3.6.).

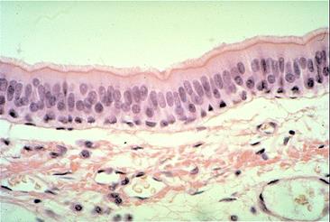
· Псевдомногослойный мерцательный эпителий трахеи. Окр.: Г+Э (рис. 3.7.).

· Бокаловидные клетки кишки. ШИК-реакция.

Рис. 3.6. Переходный эпителий стенки мочевого пузыря

 

Рис. 3.7. Псевдомногослойный мерцательный эпителий трахеи

 

Электронограммы:

o Щеточная кайма энтероцита тонкой кишки.

o Реснитчатый эпителий.

o Базальная мембрана эпителиоцитов.

o Боковые плотные контакты эпителиальных клеток.

 


Поделиться с друзьями:

mylektsii.su - Мои Лекции - 2015-2026 год. (1.506 сек.)Все материалы представленные на сайте исключительно с целью ознакомления читателями и не преследуют коммерческих целей или нарушение авторских прав Пожаловаться на материал