Студопедия

Главная страница Случайная страница

КАТЕГОРИИ:

АвтомобилиАстрономияБиологияГеографияДом и садДругие языкиДругоеИнформатикаИсторияКультураЛитератураЛогикаМатематикаМедицинаМеталлургияМеханикаОбразованиеОхрана трудаПедагогикаПолитикаПравоПсихологияРелигияРиторикаСоциологияСпортСтроительствоТехнологияТуризмФизикаФилософияФинансыХимияЧерчениеЭкологияЭкономикаЭлектроника






Малое увеличение Большое увеличение

Пленочный препарат. Импрегнация нитратом серебра и окраска гематоксилином.

Малое увеличение Большое увеличение

Ядро мезотелиоцита
Цитоплазма
Границы мезотелиоцитов

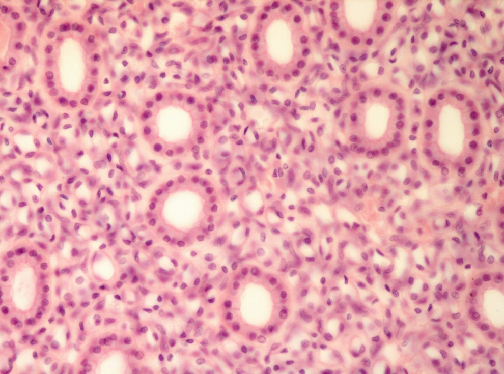
Однослойный однорядный кубический эпителий. Почка.

Окраска гематоксилином и эозином.

Малое увеличение Большое увеличение

6 St0JB/e4NoFtgbxEFqxcd0UMODOAkQpEKz9JGdrgt9a0zgawGZtzabReBG1e2IrFvSflIQTXHfqN TTNl9vCBVtJ7VDidrl21z8IXKSN/5LEHLycDPszp/PCPW/0EAAD//wMAUEsDBBQABgAIAAAAIQDS lsGl4QAAAAoBAAAPAAAAZHJzL2Rvd25yZXYueG1sTI9BT4NAEIXvJv6HzZh4Me2CgYrI0pgqN5to 24PHLTsClp0l7LZFf73jSY+T9+W9b4rlZHtxwtF3jhTE8wgEUu1MR42C3baaZSB80GR07wgVfKGH ZXl5UejcuDO94WkTGsEl5HOtoA1hyKX0dYtW+7kbkDj7cKPVgc+xkWbUZy63vbyNooW0uiNeaPWA qxbrw+ZoFby8b7vnz8NNjU/V6ruy6bp/TYNS11fT4wOIgFP4g+FXn9WhZKe9O5LxoleQxNk9owqy uxgEA1kSJSD2TKbJAmRZyP8vlD8AAAD//wMAUEsBAi0AFAAGAAgAAAAhALaDOJL+AAAA4QEAABMA AAAAAAAAAAAAAAAAAAAAAFtDb250ZW50X1R5cGVzXS54bWxQSwECLQAUAAYACAAAACEAOP0h/9YA AACUAQAACwAAAAAAAAAAAAAAAAAvAQAAX3JlbHMvLnJlbHNQSwECLQAUAAYACAAAACEAI615RQsC AAC5AwAADgAAAAAAAAAAAAAAAAAuAgAAZHJzL2Uyb0RvYy54bWxQSwECLQAUAAYACAAAACEA0pbB peEAAAAKAQAADwAAAAAAAAAAAAAAAABlBAAAZHJzL2Rvd25yZXYueG1sUEsFBgAAAAAEAAQA8wAA AHMFAAAAAA== " strokecolor="windowText">

Ядро клетки
Базальная мембрана
Подлежащая соединительная ткань
Базальный полюс клетки
Апикальный полюс клетки
Просвет канальца

Однослойный однорядный столбчатый эпителий. Микроворсинчатый эпителий кишечника.

<== предыдущая лекция | следующая лекция ==>
Контрольные сроки пересылки почтовых отправлений «Отправления 1-го класса» между городами федерального значения, административными центрами субъектов Российской Федерации | 
Поделиться с друзьями:

mylektsii.su - Мои Лекции - 2015-2026 год. (1.426 сек.)Все материалы представленные на сайте исключительно с целью ознакомления читателями и не преследуют коммерческих целей или нарушение авторских прав Пожаловаться на материал