Студопедия

Главная страница Случайная страница

КАТЕГОРИИ:

АвтомобилиАстрономияБиологияГеографияДом и садДругие языкиДругоеИнформатикаИсторияКультураЛитератураЛогикаМатематикаМедицинаМеталлургияМеханикаОбразованиеОхрана трудаПедагогикаПолитикаПравоПсихологияРелигияРиторикаСоциологияСпортСтроительствоТехнологияТуризмФизикаФилософияФинансыХимияЧерчениеЭкологияЭкономикаЭлектроника






ОГП – 130

ТЕМА №30: Гистологическое строение органов мужской половой системы.

Препарат № 1. «Яичко взрослого», (окраска гематоксилином и эозином).

ОГП – 130

 

Малое увеличение:

       
 
   
 

 


I. Строма органа

1. соединительно тканная капсула;

2. соединительнотканные перегородки;

3. рыхлая соединительная ткань;

4. кровеносные сосуды.

II. Семенные канальцы

 

 

Большое увеличение:

       
   
 
 

 

 


I. Строма органа

1.рыхлая соединительная ткань;

2. интерстициальные клетки;

II. Семенные канальцы

3. волокнистый слой стенки

4. миоидный слой стенки

5. базальный слой стенки

 

 

Большое увеличение:

 

 

       
   

 

 


I. Строма органа

1. интерстициальные клетки;

 

II. Семенные канальцы

2. поддерживающие клетки;

3. сперматогонии;

4. сперматоциты;

5. сперматиды;

6. сперматозоиды;

 

 

Большое увеличение:

 

 

 

II. Семенные канальцы

1.поддерживающие клетки;

 

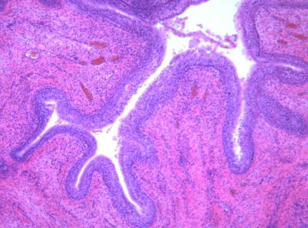
Препарат № 2. «Придаток яичка», (окраска гематоксилином и

ОГП - 130 эозином).

 

Малое увеличение:

 

 
 

 

 


I. Строма органа

1. соединительнотканная капсула,

2. соединительнотканные прослойки,

3. прослойки рыхлой соединительной ткани.

 

Малое увеличение:

 

 

       
 
   

 


I. Строма органа

1. соединительнотканная капсула,

2. соединительнотканные прослойки,

3. прослойки рыхлой соединительной ткани.

 

II. Выносящие канальцы головки

 

Большое увеличение:

 

               
   
     
     
 
 

 


II. Выносящие канальцы головки:

4. однослойный однорядный эпителий

а. призматические реснитчатые клетки;

б. кубические клетки;

5. собственная пластинка слизистой

6. мышечная оболочка

7. адвентициальная оболочка

 

Малое увеличение:

 

 

III. Проток тела придатка:

8. однослойный многорядный эпителий:

IY. Проток хвоста придатка

9. однослойный многорядный эпителий:

 

Большое увеличение:

 

 
 

 


1.Однослойный многорядный эпителий протока тела и хвоста придатка:

а. призматические клетки;

б. ядра вставочных клеток;

 

Препарат № 3. «Предстательная железа взрослого», (окраска

ОГП - 132 гематоксилином и эозином).

 

 

Малое увеличение:

 

 

 

I Строма органа:

1. соединительнотканная капсула,

2. соединительнотканные прослойки,

 

Малое увеличение:

 

 

 

I. Строма органа:

1. Артерия

2. Вена

3. Вегетативный ганглий

 

 

Малое увеличение:

 

 

 

I Строма органа:

1. мочеиспускательный канал.

 

Большое увеличение:

 

 

I Строма органа:

1. прослойки рыхлой соединительной ткани,

2. пучки гладкомышечных клеток,

II. Kонцевые отделы

 

 

Большое увеличение:

 

 

 
 

 

 


II. Kонцевые отделы

III. Выводные протоки.

 

 

<== предыдущая лекция | следующая лекция ==>
лучших продуктов для набора мышечной массы | ООО «Сувениры Вятки». Г. Котельнич, ул. Советская, д. 78.
Поделиться с друзьями:

mylektsii.su - Мои Лекции - 2015-2026 год. (2.031 сек.)Все материалы представленные на сайте исключительно с целью ознакомления читателями и не преследуют коммерческих целей или нарушение авторских прав Пожаловаться на материал