Студопедия

Главная страница Случайная страница

КАТЕГОРИИ:

АвтомобилиАстрономияБиологияГеографияДом и садДругие языкиДругоеИнформатикаИсторияКультураЛитератураЛогикаМатематикаМедицинаМеталлургияМеханикаОбразованиеОхрана трудаПедагогикаПолитикаПравоПсихологияРелигияРиторикаСоциологияСпортСтроительствоТехнологияТуризмФизикаФилософияФинансыХимияЧерчениеЭкологияЭкономикаЭлектроника






Диагностика. Диагноз язвенного колита устанавливают на основании оценки клинической картины болезни, данных ректороманоскопии






Диагноз язвенного колита устанавливают на основании оценки клинической картины болезни, данных ректороманоскопии, эндоскопического и рентгенологического исследований.

По эндоскопической картине выделяют четыре степени активности воспаления в кишке: минимальная, умеренная, выраженная и резко выраженная.

I степень (минимальная) характеризуется отеком слизистой оболочки, гиперемией, отсутствием сосудистого рисунка, легкой контактной кровоточивостью, мелкоточечными геморрагиями.

II степень (умеренная) определяется отеком, гиперемией, зернистостью, контактной кровоточивостью, наличием эрозий, сливными геморрагиями, фибринозным налетом на стенках.

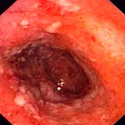
III степень (выраженная) характеризуется появлением множественных сливающихся эрозий и язв на фоне описанных выше изменений в слизистой оболочке. В просвете кишки гной и кровь.

IV степень (резко выраженная), кроме перечисленных изменений, определяется формированием псевдополипов и кровоточащих грануляций.

Тяжелая форма язвенного колита прямой кишки Тяжелая форма язвенного колита сигмовидной кишки

В стадии ремиссии слизистая оболочка утолщена, сосудистый рисунок восстановлен, но не полностью и несколько перестроен. Может сохраняться зернистость слизистой оболочки, утолщенные складки.

В ряде стран для оценки эндоскопической активности язвенного колита пользуются эндоскопическим индексом, предложенным Рахмилевичем, который учитывает те же признаки, оцененные в баллах.

Эндоскопический индекс Рахмилеьича (1989) 1. Рассеивающие свет грануляции на поверхности слизистой оболочки (зернистость): нет - 0, есть - 2. 2. Сосудистый рисунок: нормальный - 0, деформированный или размытый - 1, отсутствует - 2. 3. Кровоточивость слизистой оболочки: отсутствует - 0, небольшая контактная - 2, выраженная (спонтанная) - 4. 4. Повреждения поверхности слизистой оболочки (эрозии, язвы, фибрин, гной): отсутствуют - 0, умеренно выражены - 2, значительно выражены - 4.

Нередко при высокой активности поверхность слизистой оболочки кишки сплошь покрыта фибринозно-гнойным налетом, после удаления которого обнаруживается зернистая диффузно кровоточащая поверхность с множественными язвами различной глубины и формы без признаков эпителизации. Для язвенного колита характерны округлые и звездчатые язвы, язвы-отпечатки, обычно не проникающие глубже собственной пластинки слизистой оболочки, редко — в подслизистый слой. При наличии множественных микроязв или эрозий слизистая оболочка выглядит как изъеденная молью.

Для язвенного колита в активной стадии процесса при исследовании с бариевой клизмой характерны следующие рентгенологические признаки: отсутствие гаустр, сглаженность контуров, изъязвления, отек, зубчатость, двойной контур, псевдополипоз, перестройка по продольному типу складок слизистой оболочки, наличие свободной слизи. При длительно текущем язвенном колите из-за отека может развиться утолщение слизистой и подслизистой оболочек. В результате увеличивается расстояние между задней стенкой прямой кишки и передней поверхностью крестца.

После опорожнения толстой кишки от бария выявляются отсутствие гаустр, преимущественно продольные и грубые поперечные складки, язвы и воспалительные полипы.

Рентгенологическое исследование имеет большое значение не только для диагностики самого заболевания, но и его тяжелых осложнений, в частности острой токсической дилатации толстой кишки. Для этого выполняется обзорная рентгенография брюшной полости. При I степени дилатации увеличение диаметра кишки в ее самом широком месте составляет 8-10 см, при II — 10 - 14 см и при III — свыше 14см.

В процессе лечения атаки язвенного колита наблюдается положительная динамика всех основных рентгенологических проявлений болезни — уменьшения длины, калибра и тонуса кишки. Это обусловлено тем, что во время ирригоскопии указанные изменения проявляются спазмом, а не органическим сужением, характерным для гранулематозного колита и туберкулеза кишечника.

 


Поделиться с друзьями:

mylektsii.su - Мои Лекции - 2015-2026 год. (0.311 сек.)Все материалы представленные на сайте исключительно с целью ознакомления читателями и не преследуют коммерческих целей или нарушение авторских прав Пожаловаться на материал