Студопедия

Главная страница Случайная страница

КАТЕГОРИИ:

АвтомобилиАстрономияБиологияГеографияДом и садДругие языкиДругоеИнформатикаИсторияКультураЛитератураЛогикаМатематикаМедицинаМеталлургияМеханикаОбразованиеОхрана трудаПедагогикаПолитикаПравоПсихологияРелигияРиторикаСоциологияСпортСтроительствоТехнологияТуризмФизикаФилософияФинансыХимияЧерчениеЭкологияЭкономикаЭлектроника






Большое увеличение.

Окраска гематоксилином и эозином.

Белочная оболочка
Среднее увеличение.

Интерстициальная соединительная ткань
Извитые семенные канальцы
Кровеносный сосуд

Почечная чашечка

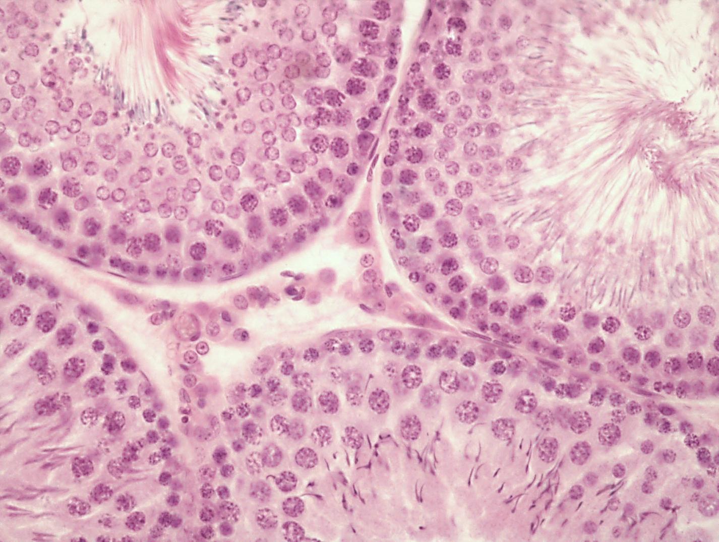
Извитые канальцы яичка.

Сперматогонии
Среднее увеличение.

Сперматиды
Сперматоциты
Кровеносный сосуд
Интерстициальные клетки
Ядро миоидной клетки

Сперматогония
Большое увеличение.

Ядра поддерживающих клеток
Миоидная клетка
Интерстициальная клетка
Сперматиды
Сперматозоиды
Сперматоцит

Извитые канальцы нефронов
Почечные тельца


Придаток яичка.

Окраска гематоксилином и эозином.

Головка придатка.

Среднее увеличение.

Прослойки соединительной ткани (интерстиций)
Выносящие канальцы яичка

Большое увеличение.

Однослойный столбчатый однорядный эпителий
Соединительная ткань
Ядра гладких миоцитов мышечного слоя

<== предыдущая лекция | следующая лекция ==>
Рекомендуемые значения вязкости масел для смазывания зубчатых передач при 50оС | Рентгеновские отсеивающие растры.
Поделиться с друзьями:

mylektsii.su - Мои Лекции - 2015-2026 год. (1.961 сек.)Все материалы представленные на сайте исключительно с целью ознакомления читателями и не преследуют коммерческих целей или нарушение авторских прав Пожаловаться на материал