Студопедия

Главная страница Случайная страница

КАТЕГОРИИ:

АвтомобилиАстрономияБиологияГеографияДом и садДругие языкиДругоеИнформатикаИсторияКультураЛитератураЛогикаМатематикаМедицинаМеталлургияМеханикаОбразованиеОхрана трудаПедагогикаПолитикаПравоПсихологияРелигияРиторикаСоциологияСпортСтроительствоТехнологияТуризмФизикаФилософияФинансыХимияЧерчениеЭкологияЭкономикаЭлектроника






Название органа, ткани: Ткань почки

Слизистый рак желудка

1. Название органа, ткани: ткань желудка

2. Способ окраски: гематоксилин-эозин №9

3. Основные микроскопические изменения:. Под малым увеличением видны элементы опухоли, прорастающие все слои стенки желудка. В мышечном слое определяются поля слизи, содержащие перстневидные клетки. Под большим увеличением перстневидная клетка представлена светлой цитоплазмой и оттесненным на периферию ядром

4. Вид патологического процесса: При злокачественных новообразованиях из эпителия в пищеварительных железах.

5. Заключение: слизистый рак желудка

 

2) Гликоген в печени при сахарном диабете

 

1. Название органа, ткани:

2. Способ окраски:

3. Основные микроскопические изменения:

4. Вид патологического процесса:

5. Заключение:

 

3) Амилоидоз почек

Название органа, ткани: Ткань почки

2. Способ окраски: Конго-ред (красный), №87

3. Основные микроскопические изменения: Почечные клубочки и канальцы окрашенны в голубой цвет. В капиллярных петлях клубочка и под базальной мембраной канальцев почки имеются отложения аномального белка амилоида, окрашенные в кирпично-красный цвет.Амилоид откладывается в стенке сосудов, в капиллярных петлях и мезенхиме клубочков, базальных мембран канальцев. По мере нарастания процесса клубочки и пирамиды полностью замещаются амилоидом, разрастается соединительная ткань.

4. Вид патологического процесса: Белковая стромально-сосудистая дистрофия. При туберкулезе, остеомиелите, нагноительных заболеваниях легкого – хронический воспалительный процесс, наследственный, идиопатический, старческий, почечная недостаточность.

5. Заключение: Амилоидоз почек

 

 

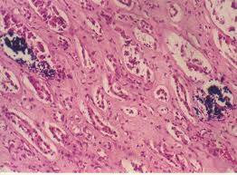
4) Гиалиноз капсулы селезенки

1. Название органа, ткани:

2. Способ окраски: Окраска пикрофуксин по Ван Гизон. (гематоксилин-эозин)?

3. Основные микроскопические изменения: капсула утолщена, представлена однородным гиалиноподобным веществом и окрашена в красный цвет, а в норме ена должна быть зеленого цвета. На препарате видно набухание соединительно-тканных пучков, которые сливаются в однородную плотную хрящеподобную массу, клеточные элементы сдавливаются и подвергаются атрофии.

4. Вид патологического процесса: При обмене белков в стромальных сосудах, гипертонической болезни и гипертонических состояниях, диабетической микроангиопатии и заболеваниях с нарушениями иммунитета.

 

5. Заключение: гиалиноз капсулы селезенки

 

5) Известковые метастазы почек

 

 

1. Название органа, ткани: Ткань почки

2. Способ окраски: Гематоксилин и эозин, №305

3. Основные микроскопические изменения: В строме почки, клубочках и канальцах – в просвете видны соли кальция синего цвета.

а) Кристаллы солей кальция в нефротелии извитых канальцев;

б) Неизмененные извитые канальцы без патологии.

4. Вид патологического процесса: Нарушение обмена минералов (кальция). При мочекаменной болезни, нефролитиазе, миеломной болезни, болезнях почек.

5. Заключение: Метастатическое обызвествление канальцев почек

 

6) Бурая индурация легких

1. Название органа, ткани:

2. Способ окраски:

3. Основные микроскопические изменения:

4. Вид патологического процесса: При хроническом венозном полнокровии, дефектах сердца, ревматическом митральном пороке сердца, кардиосклерозе.

 

5. Заключение:

 

7) Меланома глаза

 

1. Название органа, ткани:

2. Способ окраски: гематоксилин-эозин

3. Основные микроскопические изменения: Под большим увеличением видны элементы опухоли, растущие из радужной оболочки глаза. Клетки вытянутой или пластинчатой формы, в цитоплазме видны включения зерен меланина коричневого цвета.

 

4. Вид патологического процесса: образование меланина стимул. УФ-лучами, что объясняется возникновением загара как адаптивной защитной биолог. Реакции. Очаговое усиленное образование меланина наблюдается в пигментных клетках и пигментных невусах.

Заключение: меланома глаза

 

 

8) Инфаркт миокарда

1. Название органа, ткани: Ткань сердца (миокард)

2. Способ окраски: Гематоксилин и эозин, №166

3. Основные микроскопические изменения: На препарате видны три зоны:

а) Участок миокарда с лизисом ядер и распадом миоплазмы (зона некроза);

б) Демаркационная зона - зона полнокровия и клеточной инфильтрации (лейкоциты, нейтрофилы, новообразованные сосуды капиллярного типа, фиброциты), разделяющая зону некроза от нормального миокарда;

в) Нормальный (сохранившийся) миокард – здоровые кардиомиоциты.

4. Вид патологического процесса: Ишемический некроз. При ишемической болезни сердца, кардиосклерозе, аневризме, хронической сердечной недостаточности.

5. Заключение: Инфаркт миокарда

 

 

9) Некронефроз

1. Название органа, ткани: Ткань почки

2. Способ окраски: Гематоксилин и эозин, №3

3. Основные микроскопические изменения: На препарате видны многочисленные канальцы почек, почечные клубочки, кровеносные сосуды.

а) Некроз нефротелия извитых канальцев;

б) Неизмененные извитые канальцы без патологии;

в) Почечный клубочек;

г) Полнокровные сосуды интерстиция.

4. Вид патологического процесса: Некроз ишемический. При шоках (интоксикации солями тяжелых металлов, тяжелые травмы, ожоги, тяжелые инфекционные заболевания - холера, токсическая дизентерия, малярия, лептоспироз, дифтерия).

5. Заключение: Некротический нефроз

 

10) Точечные кровоизлияния в мозг

1. Название органа, ткани:

2. Способ окраски: гематоксилин-эозин №21

3. Основные микроскопические изменения: Под малым и большим увеличениями видна ткань головного мозга с участками свободно лежащих эритроцитов (точечные кровоизлияния в мозг)

4. Вид патологического процесса:

Заключение: Точечные кровоизлияния в мозг

 

 

11) Мускатная печень

1. Название органа, ткани: Ткань печени

2. Способ окраски: Гематоксилин и эозин, №19

3. Основные микроскопические изменения:

а) Центральные вены и синусоиды долек резко расширены и полнокровны, заполнены эритроцитами;

б) Атрофичные печеночные клетки;

в) Области кровоизлияний;

г) Портальный тракт: артерия, вена, желчный проток;

д) Расширенные перисинусоидальные пространства.

4. Вид патологического процесса: Застойное венозное полнокровие. При левожелудочковой недостаточности, митральных пороках.

5. Заключение: Мускатная печень

12) Тромб в сосуде

1. Название органа, ткани: Стенка сосуда артериального типа (вена)

2. Способ окраски: Гематоксилин и эозин, №20

3. Основные микроскопические изменения:

а) Просвет сосуда (вены) полностью закрыт тромботическими массами, состоящими из фибрина, лейкоцитов и гемолизированных эритроцитов;

б) Нити фибрина;

в) Лейкоциты;

г) Гемолизированные эритроциты.

4. Вид патологического процесса: Тромбоз. Нарушение реологических свойств крови. При тромбоэмболии, тромбофлебите, атеросклерозе, отравлении, обезвоживании.

5. Заключение: Смешанный тромб в стенке сосуда

 

13) Эмболия в сосудов легкого раковыми клетками

1. Название органа, ткани: Ткань легкого

2. Способ окраски: Гематоксилин и эозин, №14

3. Основные микроскопические изменения: В просвете сосудов видны опухолевые клетки с атипичными полиморфными гиперхромными ядрами. В некоторых местах они прорастают в ткань легкого.

а) Клоны опухолевых клеток в просвете сосудов;

б) Полнокровные венозные сосуды;

в) Полнокровные капилляры;

г) Просветы альвеол, заполненные отечной жидкостью.

4. Вид патологического процесса: Тканевая эмболия. При опухолевых процессах, метастазировании злокачественных опухолей.

5. Заключение: Тканевая эмболия сосудов легких

 

14) Крупозная пневмония

1. Название органа, ткани: Ткань легкого

2. Способ окраски: Гематоксилин и эозин, №71

3. Основные микроскопические изменения: Ткань легких безвоздушная, просветы всех альвеол заполнены сетчатыми массами - нитями фибрина красного цвета и нейтрофильными лейкоцитами (фибринозный экссудат). Сосуды микроциркуляторного русла расширены и полнокровны.

4. Вид патологического процесса: Экссудативное фибринозное воспаление (крупозный тип). При пневмонии, бактериальных инфекциях дыхательных путей, пневмосклерозе, хронических заболеваниях легких.

5. Заключение: Крупозная пневмония

 

15) Гнойный лептоменингит

1. Название органа, ткани: Ткань мягкой оболочки мозга

2. Способ окраски: Гематоксилин и эозин, №74

3. Основные микроскопические изменения: На препарате видны утолщение и отечность мягкой мозговой, расширенные и полнокровные сосуды. Также видна диффузно-лейкоцитарная инфильтрация с наличием в экссудате единичных эритроцитов. В веществе головного мозга наблюдаются периваскулярные и перицеллюлярные отеки.

а) Мягкая мозговая оболочка (арахноидальная полость) с гнойным экссудатом (нейтрофильные лейкоциты);

б) Вещество мозга в состоянии отека.

4. Вид патологического процесса: Гнойно-экссудативное воспаление. При бактериальных инфекциях (менингококковая, назофарингит), сепсисе.

5. Заключение: Гнойный лептоменингит

 

16) Миллиарный туберкулез легких

1. Название органа, ткани: Ткань легкого

2. Способ окраски: Гематоксилин и эозин, №26

3. Основные микроскопические изменения: В центре гранулемы - очаг казеозного некроза, окрашенный в светло-красный цвет. Вокруг очага много эпителиоидных клеток, снаружи расположена группа из клеток, состоящая из лимфоцитов и макрофагов, внутри которых встречаются многоядерные клетки Пирогова-Лангханса. По периферии встречаются Т-лимфоциты, макрофаги, плазмоциты, а так же немногочисленные капилляры.

а) Очаг казеозного некроза;

б) Лимфогистоцитарный очаг;

в) Гигантские многоядерные клетки Пирогова-Лангханса. По периферии гранулем скопления лимфоидных клеток.

4. Вид патологического процесса: Продуктивное гранулематозное воспаление (специфическое). При туберкулезе легочной формы.

5. Заключение: Туберкулезные гранулемы в легком

 

 

17) Актиномикоз

1. Название органа, ткани: Мягкая ткань или легкое

2. Способ окраски: Гематоксилин и эозин, №30

3. Основные микроскопические изменения: На препарате видна актиномикотическая гранулема. Заметно, что друзы актиномицета состоят из коротких палочковидных элементов гриба с гомогенным центром. Вокруг друз имеются нейтрофилы, формирующие гнойник, по периферии которого обнаружены макрофаги, плазматические, ксантомные клетки, фибробласты, новообразованные сосуды.

а) Гнойный экссудат;

б) Друзы актиномицета;

в) Созревающая грануляционная ткань: новообразованные сосуды, фиброциты, лимфоциты.

4. Вид патологического процесса: Продуктивное гранулематозное воспаление (специфическое). При актиномикозах.

5. Заключение: Актиномикотическая гранулема

 

18) Грануляционная ткань

1. Название органа, ткани: Мягкая ткань

2. Способ окраски: Гематоксилин и эозин, №36

3. Основные микроскопические изменения: На препарате видны новообразованные тонкостенные, разнокалиберные сосуды, между которыми располагается множество клеточных элементов. Основные клеточные элементы: макрофаги, лимфоциты, плазмоциты, эпителиоидные клетки, фибробласты, лейкоциты.

а) Полнокровные сосуды капиллярного типа;

б) Воспалительная клеточная инфильтрация: нейтрофильные лейкоциты, фиброциты, плазмоциты, гистиоциты, молодые соединительно-тканные клетки.

4. Вид патологического процесса: Заживление ран под струпом. При ожогах, механических травмах.

5. Заключение: Грануляционная ткань

 

19) Железистая гиперплазия эндометрия

1. Название органа, ткани: Ткань матки (эндометрий)

2. Способ окраски: Гематоксилин и эозин, №90

3. Основные микроскопические изменения: За счет увеличения количества желез эндометрий утолщен. Железы имеют различную форму – пилообразные, штопорообразные, кистозно-расширенные. Эпителий желез цилиндрический, высокий, светлый.

а) Штопорообразные извитые железы эндометрия;

б) Кистозно-расширенные железы эндометрия;

в) Строма эндометрия.

4. Вид патологического процесса: Гиперплазия. При гиперэстрогенемии.

5. Заключение: Железистаягиперплазия эндометрия

 

 

20) метастаз меланомы в прямую кишку

1. Название органа, ткани: Ткань прямой кишки

2. Способ окраски: Гематоксилин и эозин, №246

3. Основные микроскопические изменения: Опухолевые клетки расположены в подслизистом слое стенки прямой кишки, они полиморфны. Виден полиморфизм клеток, в их цитоплазме имеются гранулы черно-бурого цвета – пигмент меланин. Среди опухолевых клеток так же видны одно- или многоядерные крупные клетки.

а) Меланоциты без пигмента с крупными полиморфными ядрами;

б) Меланоциты с большим количеством мелкозернистого бурого пигмента - меланина в цитоплазме с полиморфными ядрами.

4. Вид патологического процесса: Злокачественная опухоль меланинобразующей ткани. При меланомах прямой кишки, глаза, кожи, часто встречаются у людей в возрасте 40-50 лет.

5. Заключение: Меланома прямой кишки

 

 

20) полип (папиллома кожи)

1. Название органа, ткани: Ткань кожи

2. Способ окраски: Гематоксилин и эозин, №47

3. Основные микроскопические изменения: Опухоль имеет сосочковый вид, состоит из разросшегося многослойного эпителия (количество слоев увеличено), собственная мембрана сохранена. Ножка опухоли (строма) состоит из рыхлой волокнистой ткани и сосудов. Наблюдаются признаки тканевого атипизма.

а) Соединительнотканные сосочковые разрастания дермы;

б) Многослойный плоский ороговевающий эпителий.

4. Вид патологического процесса: Органонеспецифическая эпителиальная опухоль. При доброкачественных опухолях кожи любой локализации.

5. Заключение: Папиллома кожи

 

21) Аденокарцинома желудка

 

1. Название органа, ткани: Ткань слизистой оболочки желудка.

2. Способ окраски: Гематоксилин и эозин, №51

3. Основные микроскопические изменения:

а) Железы слизистой оболочки желудка, в которых отмечается опухолевое перерождениеэпителия. Клеток опухоли имеют различную величину и форму, их ядра местами распологаются в несколько слоев и отличаются выраженным полиморфизмом (различных размеров и форм), они крупные гиперхромные. В некоторых раковых железах видны митозы.

б) Строма опухоли.

4. Вид патологического процесса: Органонеспецифическая эпителиальная опухоль. При раке желудка.

5. Заключение: Аденокарцинома желудка

 

22) Плоскоклеточный рак

1. Название органа, ткани: Ткань кожи

2. Способ окраски: Гематоксилин и эозин, №50

3. Основные микроскопические изменения: На препарате виден участок, где опухолевые клетки из многослойного плоского эпителия врастают в виде тяжей в подлежащую ткань, разрушая ее и образуя в ней гнездные скопления. Среди клеток имеются слоистые структуры округлой формы, розового цвета – «раковые жемчужины».

а) Нормальный эпителий кожи (эпидермис);

б) Инвазивный рост опухолевых клеток плоского эпителия, глубоко врастающих в дерму;

в) «Раковые жемчужины»;

г) Участок изъязвления (язвы).

4. Вид патологического процесса: Органонеспецифическая эпителиальная злокачественная опухоль. При плоскоклеточном ороговевающем раке кожи.

5. Заключение: Плоскоклеточный орговевающий рак кожи

 

 

23) Почечно-клеточный рак

1. Название органа, ткани:

2. Способ окраски:

3. Основные микроскопические изменения:

4. Вид патологического процесса:

5. Заключение:

 

 

24) Узловая гиперплазия предстательной железы

1. Название органа, ткани:

2. Способ окраски:

3. Основные микроскопические изменения:

4. Вид патологического процесса:

5. Заключение:

 

25) Лейомиома матки

1. Название органа, ткани: Ткань матки (эндометрий)

2. Способ окраски: Гематоксилин и эозин

3. Основные микроскопические изменения: Пучки гладких мышечных клеток расположены хаотично, строма образована прослойками соединительной ткани, в которой проходят кровеносные и лимфатические сосуды. Отмечается выраженный полиморфизм и атипизм. Имеются полиморфные клетки, преобладают клетки с вытянутыми, несколько укрупненными ядрами (гиперхроматоз), их митотическая активность низкая. Видны очаги некроза и кисты.

1) Пучки гладкомышечных клеток.

4. Вид патологического процесса: Доброкачественная мезенхимальная опухоль из гладких мышц. При стимулирующем влиянии гормонального фона на миометрий (нарушение обмена эстрогенов и функции желтого тела), нарушения в системе гипоталамус - гипофиз - яичники – матка, поликистоз яичника.

5. Заключение: Лейомиома матки

 

26) Кавернозная гемангиома печени

 

1. Название органа, ткани: Ткань печени

2. Способ окраски: Гематоксилин и эозин, №42

3. Основные микроскопические изменения: На препарате видна опухоль. Полости сосудов увеличены и полнокровны. Соединительнотканная капсула отделяет опухоль от ткани печени.

а) Каверны - сосудистые полости, заполненные кровью;

б) Соединительнотканная псевдокапсула (атрофичные гепатоциты);

в) Здоровая ткань печени (без патологических изменений).

4. Вид патологического процесса: Мезенхимальная доброкачественная опухоль из стенки кровеносных сосудов. При доброкачественных опухолях кровеносных сосудов венозного типа, чаще встречается у детей.

5. Заключение: Кавернозная гемангиома

 

27) Арахноидэндотелиома

1. Название органа, ткани: Ткань мягкой оболочки мозга

2. Способ окраски: Гематоксилин и эозин, №133

3. Основные микроскопические изменения: Опухоль состоит из гнездных скоплений опухолевых клеток (арахноидальные эндотелиоциты), которые разрастаясь, образуют микроконцентрические (вихревые и ячеистые) структуры-слоистые узелки из вытянутых клеток. Опухолевые клетки имеют эозинофильную цитоплазму и круглые пузырьковидные ядра. Встречаются полнокровные сосуды.

4. Вид патологического процесса: Опухоль ЦНС нейроэктодермального происхождения. При доброкачественных опухолях мягкой оболочки головного мозга.

5. Заключение: Арахноэндотелиома

 

28) Хондрома

1. Название органа, ткани: Ткань хряща

2. Способ окраски: Гематоксилин и эозин, №142

3. Основные микроскопические изменения: На препарате заметно неравномерное распределение зрелых клеток гиалинового хряща, окрашенных гомогенным базофильным основным веществом (проявление тканевого атипизма). В основном веществе расположены зрелые и незрелые хондроциты, среди которых имеются многоядерные крупные клетки. Видны прослойки соединительной ткани ярко-розового цвета.

а) Хондроциты, опухолевые клетки из хондроцитов;

б) Межуточная строма (слизеподобная);

в) Патологические митозы;

г) Соединительно-тканная капсула.

4. Вид патологического процесса: Мезенхимальная доброкачественная опухоль из хрящевой ткани. При доброкачественных опухолях хрящей крупных и мелких суставов.

5. Заключение: Хондрома

 

29) Лейкозная инфильтрация почек

1. Название органа, ткани: Ткань печени

2. Способ окраски: Гематоксилин и эозин, №229

3. Основные микроскопические изменения: На препарате видна ткань печени. В гепатоцитах наблюдаются дистрофические изменения (гиалиново-капельная дистрофия). Средигепатоцитов располагаются недифференцированные лейкоциты. Локализация лейкозных инфильтратов – дольки печени, портальные тракты.

а) Скопление недифференцированных лейкоцитов в строме печени;

б) Гепатоциты.

4. Вид патологического процесса: Опухоль кроветворной ткани лейкоцитарного происхождения. При остром и хроническом лейкозе.

5. Заключение: Лейкозная инфильтрация печени

 

30) Лимфогранулематоз

1. Название органа, ткани: Ткань лимфоузла

2. Способ окраски: Гематоксилин и эозин, №29

3. Основные микроскопические изменения: На препарате заметно стирание рисунка строения лимфоузла и вытеснение его опухолевой тканью. Видны очаги некроза и склероза. В ткани лимфоузла встречаются диагностические клетки Рид — Березовского — Штернберга, а также большие и малые клетки Ходжкина.

4. Вид патологического процесса: Опухоль системы крови (злокачественная лимфома). При инфекционной патологии, а точнее вирусной (вирус Эпштейна — Барр).Встречается только у человека и чаще поражает шейные, грудные и брюшные лимфоузлы.

5. Заключение: Лимфогранулематоз (болезнь Ходжкина)

 

 

<== предыдущая лекция | следующая лекция ==>
Внимание. Информация, указанная в титульном листе, будет автоматически использована для оформления наградных документов. | Немного о web-программировании
Поделиться с друзьями:

mylektsii.su - Мои Лекции - 2015-2026 год. (0.294 сек.)Все материалы представленные на сайте исключительно с целью ознакомления читателями и не преследуют коммерческих целей или нарушение авторских прав Пожаловаться на материал