Студопедия

Главная страница Случайная страница

КАТЕГОРИИ:

АвтомобилиАстрономияБиологияГеографияДом и садДругие языкиДругоеИнформатикаИсторияКультураЛитератураЛогикаМатематикаМедицинаМеталлургияМеханикаОбразованиеОхрана трудаПедагогикаПолитикаПравоПсихологияРелигияРиторикаСоциологияСпортСтроительствоТехнологияТуризмФизикаФилософияФинансыХимияЧерчениеЭкологияЭкономикаЭлектроника






Ультразвуковое исследование (УЗИ).






Сравнительно новым методом, который расширяет диагностические возможности оценки развития кульшового сустава в новорожденных и грудных детей до 8-9 месяцев, есть УЗИ.

Основой диагностического применения ультразвука служит феномен отражения ультразвуковой энергии на границе среды или тканей с разной акустической сопротивляемостью. Биологическое действие ультразвука зависит от его частоты, интенсивности, экспозиции и режима. С диагностической целью используют ультразвук очень малой интенсивности, при короткой экспозиции и высокой частоте (от 0, 8 до 20 МГЦ), что значительно ниже параметров, которые применяются с терапевтической целью, благодаря чему он не вызывает никаких изменений в органах и тканях ни у того человека, который исследуется, ни у персонала, который работает с ультразвуковой аппаратурой.

Название исследования с помощью ультразвука в разных странах несколько отличаются. Так, в США и Англии этот метод носит название сонографией. В Германии - зонографией или ультразвуковой томографией, в Франции - ехотомографией, ультрасонографией. У нас закрепилось два названия: ультразвуковая диагностика (УЗД) и ехография.

Ультразвуковое исследование тазобедренных суставов проводится датчиком линейного сканирования с частотой 3, 5–7, 5 МГц. Датчик с частотой сканирования 7, 5 МГц используется в основном для исследования новорожденных детей. Все результаты исследования должны быть зафиксированы в виде изображения на термобумаге, на рентгеновской пленке (мультиформатная камера) и т.п.

По методике R.Graf сканирование тазобедренных суставов производится при положении ребёнка на боку с небольшим сгибанием в тазобедренном суставе на 200–300. Датчик ультразвукового аппарата устанавливается фронтально в проекции большого вертела, и под контролем монитора выводится необходимый для исследования срез. В случаях недостаточной визуализации структур сустава датчик необходимо поворачивать в дорсальную или вентральную сторону. После исследования одного сустава ребенок переворачивается на другой бок, и все вышеописанные действия повторяются. Для чёткого выявления децентрации головки бедренной кости целесообразно проводить функциональные пробы с приведением бедра к животу и одновременным поворотом кнутри. Данные исследования значительно облегчают выявление нарушений взаимоотношений головки бедра и вертлужной впадины

Гиперэхогенную характеристику имеют костные компоненты сустава (костная часть крыши вертлужной впадины, наружный костный выступ, наружные отделы подвздошной кости, бедренная кость). Головка бедренной кости, лимбус, Y– образный хрящ представлены гипоэхогенными структурами. В процессе развития сустава можно чётко определить формирование ядер окостенения головок бедренных костей в виде эхогенных образований округлой или овальной формы

После проведения визуальной оценки среза и получения его изображения на термобумаге ультразвуковая картина подвергается изучению с использованием угловых показателей (углов a, b, d). С этой целью проводится ряд линий:

1) базовая линия – через наружные отделы подвздошной кости и основание малой ягодичной мышцы;

2) ацетабулярная линия – от нижней точки костной части вертлужной впадины к её верхнему костному краю;

3) инклинационная линия – через медиальные отделы лимбуса и наружный костный выступ вертлужной впадины;

4) конвекситальная линия проецируется на наружные отделы костной части крыши вертлужной впадины

Углы a и d характеризуют степень развития вертлужной впадины, угол b служит оценкой смещения лимбуса в случаях децентрации головки бедренной кости.

Развитие сустава оценивается не только количественно, но и качественно, что включает оценку:

· костной крыши –достаточная, резко недостаточная, плохая,

· костный эркер – угловой, закругленный, круглый, уплощенный, плоский;

· хрящевая крыша – прямоугольная, тупоугольная, разнобедренный треугольник, покрывает головку бедренной кости полностью, недостаточно или же не покрывает

Для практического применения Г.Я. Вовченко (1995), предложила рабочую классификацию вариантов развития тазобедренного сустава.

Вариант 1. Нормально сформированный зрелый сустав. Дети с первым вариантом не требуют лечения, при наличии патологии ЦНС и проявлений рахита требуется динамическое наблюдение – контрольный осмотр через 2-3 месяца. Угол a > 550 , угол b< 550 , угол g > 780

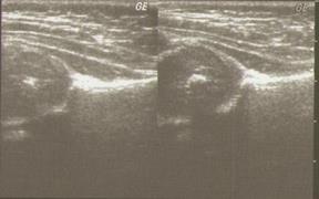
Рис. 5. Сонограмма нормально сформованных тазобедренных суставов.

 

Вариант 2. Замедленное формирование тазобедренного сустава с задержкой оссификации наружного края вертлужной впадины (костный эркер), хрящевая часть крыши вертлужной впадины покрывает головку бедренной кости. Угол a=50-55°, угол b=56-69°.

При выполнении функциональной пробы (нагрузка на ось) угол b увеличивается меньше, чем на 10°, тазобедренный сустав остается стабильным.

Дети с таким развитием сустава нуждаются в контрольном обследовании через 2-3 месяца, при наличии факторов риска и заболеваний со стороны ЦНС - чаще.

Рис. 6. Сонограмма тазобедренных суставов, вариант 2.

 

Вариант 3. Задержка развития тазобедренного сустава с выраженным уплощением крыши вертлужной впадины осификация крыши недостаточная, костный эркер закруглен, крыша вертлужной впадины почти полностью покрывает головку бедренной кости. При функциональных пробах отмечается стойкая децентрация головки бедра с оттиснением лимбуса кнаружи. Угол a< 49°, b> 70° g=44-65°. Во время выполнения функциональной пробы угол увеличивается больше, чем на 10°.

Дети с таким вариантом формирования тазобедренного сустава нуждаются в наблюдении и лечении ортопеда.

УЗИ проводится для оценки эффективности проведенного лечения и изменений со стороны сустава через 4-6 недель, при наличии клинических показателей - чаще.

Рис. 7. Сонограмма кульшових суставов, вариант 3.

 

Вариант 4. Тяжелая задержка развития сустава, которая соответствует при рентгенологическом исследовании подвывиху бедра. Головка при выполнении УЗИ децентрирована, находится в положении латеропозиции, костная крыша резко недостаточна, костный эркер значительно уплощен. У некоторых больных может отмечаться повышение эхогенности крыши. Углы a< 43°, b> 77°, при нагрузке угол b увеличивается до 15 и больше.

Дети должны лечиться у ортопеда. УЗИ проводится для определения эффективности фиксации, подтверждения нормальных взаимоотношений в тазобедренном суставе, оценки результатов проводимого лечения по назначению врача, который определяет частоту проведения УЗИ.

Рис. 8. Сонограмма тазобедренных суставов, вариант 4.

Вариант 5. Развитие тазобедренного сустава соответствует рентгенологической картине врожденного вывиха бедер. Сустав резко отстает в своем развитии, все элементы с тяжелой дисплазией и недоразвитием. Костная крыша недостаточная, уплощена, костный эркер плоский, лимбус смещен, при нагрузке лимбус смещается книзу и находится между вертлужной впадиной и головкой бедренной кости. При этом варианте развития углы не измеряются. Данное развитие сустава требует длительного лечения ортопеда, который, на этапах консервативного лечения назначает УЗИ для оценки вправления бедра, состояния развития сустава на этапах лечения. Частота в каждом конкретном случае определяется индивидуально. Все вышеописанные изменения могут иметь двусторонний характер

Рис. 9. Сонограмма тазобедренных суставов, вариант 5.


Поделиться с друзьями:

mylektsii.su - Мои Лекции - 2015-2026 год. (1.636 сек.)Все материалы представленные на сайте исключительно с целью ознакомления читателями и не преследуют коммерческих целей или нарушение авторских прав Пожаловаться на материал