Студопедия

Главная страница Случайная страница

КАТЕГОРИИ:

АвтомобилиАстрономияБиологияГеографияДом и садДругие языкиДругоеИнформатикаИсторияКультураЛитератураЛогикаМатематикаМедицинаМеталлургияМеханикаОбразованиеОхрана трудаПедагогикаПолитикаПравоПсихологияРелигияРиторикаСоциологияСпортСтроительствоТехнологияТуризмФизикаФилософияФинансыХимияЧерчениеЭкологияЭкономикаЭлектроника






Врожденные аномалии развития отдельных сегментов верхней конечности.






Врожденный синостоз костей предплечья или радиоульнарный синостоз. Встречается эта аномалия развития не часто. Во время внутриутробного периода лучевая и локтевая кости предплечья объединяются перемычкой, которая в дальнейшем окостенивает. Перемычка возникает в верхнем отделе предплечья и может быть разной длины. Чаще болеют мальчики.

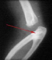
Рис.4. Рентгенограмма ребенка с радиоульнарным синостозом.

 

 

У ребенка рука не поворачивается в запястье (невозможна супинация и пронация), но сгибание и разгибание в локтевом суставе сохранены. Такое положение значительно усложняет жизнь больного, даже его самообслуживание. Лечение сначала консервативное и заключается в разработке. Некоторые больные могут хорошо приспосабливаться к этому дефекту. Если разработать руку не удается, выполняется оперативное лечение. При небольшом сращении выполняют его рассечение, при размере сращения больше 4 см прибегают к удалению части лучевой кости. Оперативное лечение выполняют в возрасте 3 лет.

Врожденная косорукость. Врожденная косорукость возникает при нарушении развития мышц предплечья или недоразвитии лучевой, реже локтевой кости. Локтевая косорукость развивается при недоразвитии локтевой части предплечья, локтевая кость отсутствует полностью или частично. Возможно одновременное недоразвитие 4-5 пальцев кисти, части костей пястья и запястья с локтевой стороны. Кисть при этом состоянии резко повернута в локтевую сторону (наружу), функция ее нарушена.

Лучевая косорукость. Эта аномалия развивается при отсутствии лучевой кости.

Рис.5. Рентгенограмма ребенка с лучевой косорукостью.

Дефект может быть двусторонним. Одновременно недоразвиты мышцы предплечья с лучевой стороны, первый палец кисти, кости запястья. Кисть наклонена в сторону лучевой кости (вовнутрь), функция ее резко нарушена, а в связи с отсутствием первого пальца кисти невозможен захват предметов. Лечение врожденной косорукости включает много этапов. Уже сразу после рождения ребенка назначают массаж, лечебную физкультуру. Для исправления контрактуры суставов накладываются гипсовые повязки. Первая операция выполняется в возрасте 2 лет. Потом могут понадобиться дополнительные оперативные вмешательства.

Хронический подвывих кисти (болезнь Маделунга). Это редкая аномалия, при которой возникает недостаток развития области лучезапястного сустава. Деформация прогрессирует постепенно и до 12-14 лет становится заметной. Боли при этом заболевании нет. Возникает штыкообразное искривление кисти, которое постепенно нарастает. Ограничиваются движения в лучезапястном суставе. Лечение оперативное. Выполняют резекцию участков костей, со следующей их фиксацией спицами. Потом накладывают гипсовую повязку на один месяц, после чего назначают физиотерапию и лечебную физкультуру.

Синдактилия. Это аномалия развития при которой есть сращения полное или неполное одного или нескольких пальцев кисти между собой.

Классификация синдактилии


Поделиться с друзьями:

mylektsii.su - Мои Лекции - 2015-2026 год. (0.725 сек.)Все материалы представленные на сайте исключительно с целью ознакомления читателями и не преследуют коммерческих целей или нарушение авторских прав Пожаловаться на материал