Студопедия

Главная страница Случайная страница

КАТЕГОРИИ:

АвтомобилиАстрономияБиологияГеографияДом и садДругие языкиДругоеИнформатикаИсторияКультураЛитератураЛогикаМатематикаМедицинаМеталлургияМеханикаОбразованиеОхрана трудаПедагогикаПолитикаПравоПсихологияРелигияРиторикаСоциологияСпортСтроительствоТехнологияТуризмФизикаФилософияФинансыХимияЧерчениеЭкологияЭкономикаЭлектроника






Зав. кафедрой. Больная А., 30 лет, жалуется на слабость, утомляемость, одышку при ходьбе, выпадение волос.






Проф. Черных Т.М.

ЭКЗАМЕНАЦИОННАЯ ЗАДАЧА №2

 

Больная А., 30 лет, жалуется на слабость, утомляемость, одышку при ходьбе, выпадение волос.

Пыталась лечиться самостоятельно принимала биодобавки, пила гранатовый сок, но состояние продолжало ухудшаться – появилась одышка, сердцебиение при физических нагрузках и она обратилась к участковому врачу.

При осмотре: состояние удовлетворительное, кожные покровы, видимые слизистые чистые, бледные, сухие, обнаружена ломкость ногтей, выпадение волос, глоссит. Пальпация грудины безболезненна. Периферические лимфоузлы не пальпируются. ЧДД 22 в 1 мин. В легких перкуторно – ясный легочный звук в симметричных участках легких, аускультативно – везикулярное дыхание, хрипы не выслушиваются. АД – 120/70 мм.рт.ст. Тоны сердца ритмичны, приглушены, выслушивается мягкий систолический шум над всеми точками аускультации. Пульс – 98 уд./мин., удовлетворительных качеств. Живот при пальпации мягкий, безболезненный, печень - по краю реберной дуги, селезенка не пальпируется. Периферических отеков нет. Мочеиспускание свободное, безболезненное. Стул, диурез – в норме. Месячные по 6-7 дней, через 28 дней, обильные.

Общий анализ крови – Нв – 72 г/л, эритроциты – 3, 0х1012/л, ЦП – 0, 7, тромбоциты – 420х109/л, лейкоциты – 2, 2х109/л, СОЭ –12 мм/ч.

Общий анализ мочи без патологии.

 

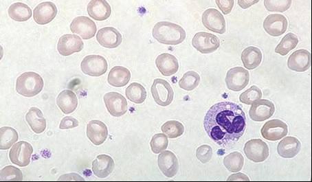
Рисунок к задаче №2. Морфология эритроцитов периферической крови

 

ВОПРОСЫ:

Поставьте диагноз и обоснуйте его.

2. Нуждается ли больная в дообследовании и каком?

Дифференциальная диагностика с другими анемиями.

Назначьте лечение.

Оцените эффективность терапии и побочные действия препаратов.

 

 


Поделиться с друзьями:

mylektsii.su - Мои Лекции - 2015-2026 год. (1.492 сек.)Все материалы представленные на сайте исключительно с целью ознакомления читателями и не преследуют коммерческих целей или нарушение авторских прав Пожаловаться на материал