Студопедия

Главная страница Случайная страница

КАТЕГОРИИ:

АвтомобилиАстрономияБиологияГеографияДом и садДругие языкиДругоеИнформатикаИсторияКультураЛитератураЛогикаМатематикаМедицинаМеталлургияМеханикаОбразованиеОхрана трудаПедагогикаПолитикаПравоПсихологияРелигияРиторикаСоциологияСпортСтроительствоТехнологияТуризмФизикаФилософияФинансыХимияЧерчениеЭкологияЭкономикаЭлектроника






Зимницкий бойынша зәр анализі






Қ абылданғ ан сұ йық тық мө лшері _____1500 мл___________

№ порциялар сағ ат Салыстырмалы салмағ ы Зә р кө лемі, мл
  6.00    
  9.00    
  12.00    
  15.00    
  18.00    
  21.00    
  24.00    
  3.00    

кү ндізгі диурез ___400______

тү нгі диурез ___200___

жалпы диурез _____600____

ШФЖ: Кокрофт-Гоулт формуласы бойынша есептеу: 88*(140-жасы)*салмағ ы кг*коэф

72*сарысудағ ы креатинин мкмоль/л

Коэффициент: ер адам=1, ә йел=0, 85.

Бү йректің фильтрационды функциясы: қ алыпты

 

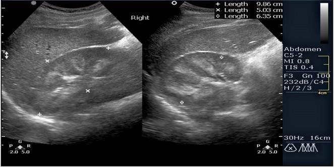
Аспаптық зерттеудің мә ліметтері:

УЗИ – оң бү йрек 13, 8 х 5, 4 см, паренхима қ алың дығ ы 1, 4 см, біртекті, тостағ анша-қ алқ анша жү йесі 1, 6 см. Сол бү йрек 13, 5х5, 5 см, паренхима қ алың дығ ы 1, 4 см, тығ ыздалғ ан. Қ орытынды: екі бү йректің ө лшемдерінің ұ лғ аюы. Қ ұ рсақ қ уысындағ ы бос сұ йық тық.


Бү йректің биопсиясының мә ліметі:

Капиллярлы ілмектер (С) қ алың дағ ан, матрикстің жиналуына байланысты мезангиальді кең істіктің ұ лғ аюы байқ алады (М). Қ орытынды: мембранозды нефропатия.

 

 

Соң ғ ы нә тиже (outcomes):

Ø Нефротикалық синдромы бар науқ асты сұ растыру жә не физикальді қ арауды жү ргізу

Ø Зерттеу ә дістерінің мә ліметтерін интерпретациялау: жалпы қ ан анализі; белок жә не оның фракциялары, креатинин, мочевина, глюкоза, жалпы холестерин дең гейі; коагулограмма;

Ø Жалпы зә р анализі; зә рмен белоктың тә уіліктік экскрециясы; Зимницкий сынамасы; ШФЖ-н есептеу жә не бү йректің қ ызметін бағ алау;

Ø Нефротикалық синдромы бар науқ астың міндетті инструментальды зерттеу ә дістері

Ø Нефротикалық синдромның салыстырмалы диагностикасы

Ø Науқ асты жү ргізу тә сілі.

 

«Нефротикалық синдром» клиникалық жағ дай бойынша

бағ алау парағ ы (check-list)

 

Емтихан тапсырушының коды ______________________ Емтихан кү ні _____________________

Емтихан қ абылдаушы__________________________________________________________

 

Қ адамдарды бағ алау критерийлері Ұ пайлар
Дұ рыс орындады Толық орындамады Орындамады
  Шағ ымдар мен анамнез жинау 1, 0 0, 5  
  Аурудың симптомдарын салыстырмалы диагностика мақ сатында қ осымша сұ рақ тар қ ою арқ ылы нақ тылау 1, 0 0, 5  
  Нефротикалық синдром дамуын тудыратын қ ауіп қ атер факторларын сұ растыру 1, 0 0, 5  
  Физикальді қ арауды жү ргізу – жалпы қ арау 1, 0 0, 5  
  Зә р шығ ару жү йесін қ арап тексеру 1, 0 0, 5  
  Алдын-ала қ ойылатын диагнозды негіздеп қ ою 1, 0 0, 5  
  Лабораторлы зерттеу жоспарын тағ айындау 1, 0 0, 5  
  Қ ұ ралдық зерттеу жоспарын тағ айындау 1, 0 0, 5  
  Жалпы қ ан анализі, зә рмен белоктың тә уіліктік экскрециясы мә ліметтерін интерпретациялау 1, 0 0, 5  
  Жалпы зә р анализі мә ліметін интерпретациялау 1, 0 0, 5  
  Биохимиялық анализ бен коагулограмманы интерпретациялау 1, 0 0, 5  
  Зимницкий сынамасын интерпретациялау 1, 0 0, 5  
  Кокрофт-Гоулт формуласы бойынша ШФЖ-н есептеу жә не бү йректің қ ызметін бағ алау 1, 0 0, 5  
  Иммунологиялық анализдерді талдау 1, 0 0, 5  
  Бү йректің УДЗ - н интерпретациялау Бү йректің биопсиясының мә ліметін интерпретациялау 1, 0 0, 5  
  Салыстырмалы диагностика ү шін негізгі симптомдарды анық тау 1, 0 0, 5  
  Қ орытынды диагнозды негіздеп қ ою 1, 0 0, 5  
  Емдеу тә сілін анық тау 1, 0 0, 5  
  Емнің эффективтілігінің критерийлерін анық тау 1, 0 0, 5  
  Науқ аспен оптимальді қ атынасты орнату жә не қ обалжуды басу 1, 0 0, 5  
БАРЛЫҒ Ы 20, 0 10, 0  
           

 

 


Поделиться с друзьями:

mylektsii.su - Мои Лекции - 2015-2026 год. (0.746 сек.)Все материалы представленные на сайте исключительно с целью ознакомления читателями и не преследуют коммерческих целей или нарушение авторских прав Пожаловаться на материал