Главная страница
Случайная страница
КАТЕГОРИИ:
АвтомобилиАстрономияБиологияГеографияДом и садДругие языкиДругоеИнформатикаИсторияКультураЛитератураЛогикаМатематикаМедицинаМеталлургияМеханикаОбразованиеОхрана трудаПедагогикаПолитикаПравоПсихологияРелигияРиторикаСоциологияСпортСтроительствоТехнологияТуризмФизикаФилософияФинансыХимияЧерчениеЭкологияЭкономикаЭлектроника
|
Ауруханадан тыс пневмонияның диагностикасы» клиникалық жағдай бойынша
Медициналық симуляция сценариі
Клиникалық жағ дай: «Ауруханадан тыс пневмонияның диагностикасы»
Жағ дайлық есеп: Сіз – кезекші дә рігерсіз. Қ абылдау бө ліміне 20 жасар науқ ас тү сті.
Ø Науқ асты қ арап жә не анамнезін жинаң ыз
Ø Зертханалық -аспаптық зерттеу мә ліметтеріне интерпретация жү ргізің із
Ø Диагноз қ ойың ыз
Ø Науқ асты жү ргізу жә не емдеу тә сілін анық таң ыз
Қ орытынды нә тижесі(outcomes):
Ø Ө кпе ақ ауы бар науқ асты физикальді қ арау жә не сұ растыруды жү ргізу
Ø Ауруханадан тыс пневмонияның жә не оның асқ ынуларының клиникалық диагностикасы
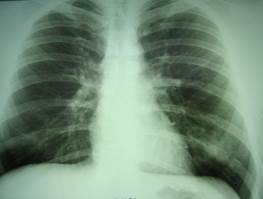
Ø Зерттеу мә ліметтерін интерпретациялау: жалпы қ ан анализі; жалпы қ ақ ырық анализі; кеуде қ уысы ағ заларының рентгенограммасы;
Ø Тыныс алу жетіспеушілігі кезінде шұ ғ ыл кө мек кө рсету
Ø Пневмониямен науқ асты жү ргізу тә сілі, жағ дайының мониторингі.
Ауруханадан тыс пневмонияның диагностикасы» клиникалық жағ дай бойынша
бағ алау парағ ы (check-list)
Емтихан тапсырушының аты-жө ні____________________________Емтихан кү ні __________
Емтихан қ абылдаушы _____________________________________________________________
| №
| Қ адамдарды бағ алау критерилері
| Баллдық бағ алау
| | Дұ рыс орындады
| Ескертулермен орындамады
| Орындамады
| |
| Анамнезін жә не шағ ымын жинау
| 1, 0
| 0, 5
|
| |
| Физикальді қ арау – жалпы қ арау
| 1, 0
| 0, 5
|
| |
| Ө кпе аускультациясы
| 1, 0
| 0, 5
|
| |
| Жү ректің аускультациясы жә не пальпациясы
| 1, 0
| 0, 5
|
| |
| Алдын-ала қ ойылғ ан диагноз
| 1, 0
| 0, 5
|
| |
| Зерттеу жоспарын тағ айындау
| 1, 0
| 0, 5
|
| |
| Жалпы қ ан, зә р анализін интерпретациялау
| 1, 0
| 0, 5
|
| |
| Биохимиялық қ ан анализін интерпретациялау
| 1, 0
| 0, 5
|
| |
| Қ ақ ырық анализін интерпретациялау
| 1, 0
| 0, 5
|
| |
| Кеуде қ уысы ағ заларының рентгенограммасын интерпретациялау
| 1, 0
| 0, 5
|
| |
| ЭКГ интерпретациясы
| 1, 0
| 0, 5
|
| |
| Госпитализацияның қ ажеттілігін негіздеу
| 1, 0
| 0, 5
|
| |
| Емдеу жоспарын анық тады
| 1, 0
| 0, 5
|
| |
| Антибиотикті таң дау тә сілін анық тады
| 2, 0
| 1, 0
|
| |
| Емдеу нә тижелігінің қ ағ идаларын негіздеді
| 1, 0
| 0, 5
|
| |
| Ажырату диагнозын жү ргізу жоспары
| 1, 0
| 0, 5
|
| |
| Инфильтративті туберкулезді жоқ қ а шығ ару критерилерін атады
| 1, 0
| 0, 5
|
| |
| Қ айта Р-графияны жү ргізу мерзімін айтты
| 1, 0
| 0, 5
|
| |
| Науқ аспен оптимальді қ атынас орнату жә не қ обалжуды басу
| 1, 0
| 0, 5
|
| | Барлығ ы
|
|
Стандартталғ ан ә ртіс (науқ ас) ү шін сценарий тексті жә не оның рө лі:
Шағ ымдары: тыныстың жетіспеушілігі, ентігу, қ ұ рғ ақ жө тел, дене қ ызуының 39, 2°С кө терілуі, жалпы ә лсіздік, дімкә стік, тершең дік.
| Сұ рақ мә нісі
| Ә ртіске арналғ ан сұ рақ ты қ ұ ру
| Жауабы
| | Ентігу сипатын анық тау
| Ентігуің із қ андай – тыныс алу ә лде тыныс шығ ару қ иындағ ан ба?
| Аралас ентігу (тыныс алу жә не шығ ару қ иындағ ан)
| | Ентігудің ұ зақ тығ ы
| Ентігу тұ рақ ты тү рде мазалайды ма, немесе кү штемеден кейін мазалайды ма?
| Ентігу шамамен 3 кү н мазалайды, алғ ашқ ы кезде кү штеме тү скенде, енді тыныштық та
| | Жө телдің сипаты
| Жө тел қ андай сипат алады, жиі, ұ стама тү рде, қ ұ рғ ақ, ылғ алды?
| Жө тел қ ұ рғ ақ, жиі, тоқ таусыз жабысқ ақ
| | Қ ақ ырық бө лінеді ме? Бө лінсе қ андай тү сте?
| Жө телгенде қ ақ ырық шығ ады ма, ол қ андай тү сте?
| Жө тел қ ұ рғ ақ қ ақ ырық сыз
| | Іштегі ауыру сезімінің сипаты
| Іште пайда болғ ан ауыру сезімі немен байланысты, қ ай бө лігінде ауыру сезімі барынша кү штірек?
| Оң ғ абырғ а астындағ ы ауыру сезімі жө телгенде пайда болады
| | Дене қ ызуының кө терілуінің ұ зақ тығ ы
| Температураның кө терілуі қ анша уақ ыттай болды, жә не қ аншағ а дейін кө теріледі?
| Температура 6-шы кү н мазалайды, 38, 0°С, кейін 39, 2°С кө терілді
|
Анамнезінде: 2 апта бұ рын суық тиюден кейін ауыра бастады. Алғ ашында мұ рынна су ағ ып, мардымсыздық, бас ауыру пайда болды. Температура 38, 0°С кө терілді, жө тел, ентігу, ә лсіздік пайда болды. Кеше темпетарура 39, 2°С кө терілді. Жө тел қ ұ рғ ақ. Ә леуметтік-тұ рмыстық жағ дайы қ анағ аттанарлық сыз – студент, жатақ анада жатады.
Аллергия – пенициллин қ атарындағ ы антибиотиктерге. Цефалоспориндер бұ рын жасамағ ан.
Объективті: бойы 170 см, дене салмағ ы 55 кг. Науқ ас селқ ос, ә лсіз, ентігу аралас сипатта. Дене бітімі астеникалық. Тамақ тануы тө мен. Терісі боз, шамалы цианоз. Жү рек ү ндері айқ ын, ырғ ағ ы дұ рыс. АҚ Қ – 95/65 мм.сб.б., ЖСЖ – 115 рет минутына. Тынысы қ осымша, қ абырғ ааралық бұ лшық еттерінің, эпигастральді аймақ тың қ атысуымен. Тынысы тө менгі бө лікте ә лсіреген, ә сіресе сол жақ тан. Бірлі жарым ылғ алды сырылдар естіледі. ТАЖ – 28 рет мин.

Электрокардиограмма -

| Жалпы қ ан анализі
Гемоглобин – 110 г/л
Эритроциттер - 3, 1 х 1012 /л
ТК - 0, 78
Тромбоциттер - 2809/л
Лейкоциттер – 11, 0 х 109/л
Таяқ ша - нейтрофилдер – 10%
Сегментядерлі нейтрофилдер – 70%
Эозинофилдер – 3%
Базофилдер – 2%
Моноциттер – 5%
Лимфоциттер – 10%
ЭТЖ – 25 мм/сағ
| Биохимиялық қ ан анализ
Мочевина – 7, 2 ммоль/л
Креатинин – 53 ммоль/л
АЛТ – 0, 32 ммоль/л
АСТ – 0, 28 ммоль/л
Глюкоза – 3, 8 ммоль/л
ЛДГ – 260 ед/л (135- 225 ед/л)
СРБ - ++
| | Қ ақ ырық анализі
Тү сі-сары-жасыл
Қ оспалар жоқ
Консистенция – қ ою
Эпителий – 8 – 10 к/а
Лейкоциттер – 25 – 30 к/а, кей жерде жиналғ ан
Куршман спиралі – теріс
| Жалпы зә р анализі
Мө лшері – 50 мл
Тү сі - сары
Мө лдірлігі – мө лдір
тығ ыздығ ы – 1015
Реакция – қ ышқ ыл
Белок – 0, 033 г/л
Жалпақ эпителий – 0 – 2 к/а
Лейкоциттер- 1 –3 к/а
Шырыш +++
Оксалат тұ здары ++
| «Ауруханадан тыс пневмонияның диагностикасы»
|