Студопедия

Главная страница Случайная страница

КАТЕГОРИИ:

АвтомобилиАстрономияБиологияГеографияДом и садДругие языкиДругоеИнформатикаИсторияКультураЛитератураЛогикаМатематикаМедицинаМеталлургияМеханикаОбразованиеОхрана трудаПедагогикаПолитикаПравоПсихологияРелигияРиторикаСоциологияСпортСтроительствоТехнологияТуризмФизикаФилософияФинансыХимияЧерчениеЭкологияЭкономикаЭлектроника






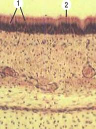
ПРЕПАРАТ № 66 или 177. Однослойный многорядный мерцательный эпителий, прехордального происхождения, защитный. Трахея кролика.






Окраска: гематоксилин-эозин.

При малом увеличении найти внутреннюю поверхность трахеи, выстланную эпителием. Определить базальную мембрану.

При большом увеличении рассмотреть и зарисовать участок эпителия с подлежащей соединительной тканью. Обратить внимание на многорядность эпителия. Ядра клеток расположены на различных уровнях в 2-3 ряда, границы клеток просматриваются плохо вследствие недостаточной разрешающей способности микроскопа. Более четко границы просматриваются у поверхности эпителиального пласта. На апикальной поверхности призматических клеток (ядра их формируют верхний ряд) расположены мерцательные реснички. В сторону базальной мембраны еще просматривается ядра клеток более низких: вставочных, камбиальных и бокаловидных клеток. Бокаловидных клеток в выстилке трахеи мало. Определите бокаловидную клетку со светлой цитоплазмой, так как муцин в процессе гистологической обработки вымывается.

Определить, зарисовать и обозначить: А. Эпителий: 1. Камбиальные клетки. 2. Вставочные клетки. 3. Мерцательные клетки с ресничками. 4. Бокаловидные клетки. Б. Базальная мембрана. В. Соединительная ткань.


Поделиться с друзьями:

mylektsii.su - Мои Лекции - 2015-2026 год. (3.295 сек.)Все материалы представленные на сайте исключительно с целью ознакомления читателями и не преследуют коммерческих целей или нарушение авторских прав Пожаловаться на материал