Студопедия

Главная страница Случайная страница

КАТЕГОРИИ:

АвтомобилиАстрономияБиологияГеографияДом и садДругие языкиДругоеИнформатикаИсторияКультураЛитератураЛогикаМатематикаМедицинаМеталлургияМеханикаОбразованиеОхрана трудаПедагогикаПолитикаПравоПсихологияРелигияРиторикаСоциологияСпортСтроительствоТехнологияТуризмФизикаФилософияФинансыХимияЧерчениеЭкологияЭкономикаЭлектроника






Рентгенография. Во многих случаях диагностика переломов надколенника не представляет трудностей благодаря наглядному симптомо-комплексу






Во многих случаях диагностика переломов надколенника не представляет трудностей благодаря наглядному симптомо-комплексу, присущему такому виду повреждения. Это в значительной мере относится к переломам с большим расхождением отломков, позволявшим точно их распознать еще до рентгенологического обследования.

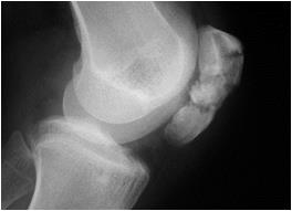
Переломы без смещения, сопровождающиеся более скудной клинической картиной, не вызывают сложностей благодаря вовремя выполненного стандартного рентгенологического обследования (рис. 53).

Рис. 53. Рентгенограммы переломов надколенника.

Наряду с этим необходимо проводить дифференциальную диагностику продольных, краевых переломов с дольчатым надколенником (рис. 54, б, в, г) и переломами вторичных оссификатов. Обследование при этом дополняется рентгенографией противоположной стороны.

а б в г

Рис. 54. Дифференциальная диагностика:

а – продольный перелом; б – patella bipartita; в, г – patella tripartita.

Следует отметить, что не все переломы распознаваемы посредством стандартного рентгенологического обследования. Надколенник трудно различим на передне-задних рентгенограммах. Поэтому снимок в прямой проекции выполняется в положении больного на животе, с ротированной голени кнаружи. Луч при этом центрируется на наружный край коленной чашки, что позволяет получить более четкое фасное изображение надколенника.

Если на указанных рентгенограммах коленная чашка представляется неповрежденной при выраженной клинической симптоматике, то возникает необходимость в дополнительном снимке в аксиальной проекции по Зеттегасту. Больного укладывается на живот, поврежденная нога в коленном суставе сгибается под прямым или острым углом. Кассету подкладывается под колено, и центральный луч направляется косо под углом 45 градусов к пленке со стороны нижнего полюса надколенника. Такие снимки позволяют в некоторых случаях выявить продольные переломы (рис. 54, а, б), не видимые в обычных проекциях.


Поделиться с друзьями:

mylektsii.su - Мои Лекции - 2015-2026 год. (1.042 сек.)Все материалы представленные на сайте исключительно с целью ознакомления читателями и не преследуют коммерческих целей или нарушение авторских прав Пожаловаться на материал