Студопедия

Главная страница Случайная страница

КАТЕГОРИИ:

АвтомобилиАстрономияБиологияГеографияДом и садДругие языкиДругоеИнформатикаИсторияКультураЛитератураЛогикаМатематикаМедицинаМеталлургияМеханикаОбразованиеОхрана трудаПедагогикаПолитикаПравоПсихологияРелигияРиторикаСоциологияСпортСтроительствоТехнологияТуризмФизикаФилософияФинансыХимияЧерчениеЭкологияЭкономикаЭлектроника






Диагностика.






При постановке диагноза необходимо учитывать прежде всего жалобы пострадавшего, механизм и обстоятельства получения травмы.

Пациенты обычно жалуются на значительную болезненность в области коленного сустава, усиливающуюся при попытке движения.

При прямом ударе по надколеннику с достаточно большой силой вероятность повреждения суставных поверхностей других костей, участвующих в образовании коленного сустава достаточно велика. Необходимо принимать во внимание и возможность больного после травмы самостоятельно встать на поврежденную ногу и тем более ходить с опорой не нее.

Наиболее частым объективным признаком перелома надколенника является сглаженность контуров сустава из-за отека и гемартроза, который более выражен в области верхнего заворота. Степень выраженности гемартроза напрямую зависит от тяжести повреждения. При отсутствии смещения отломков, когда целостность разгибательного аппарата голени не нарушена, кровь из полости коленного сустава не распространяется в окружающие ткани. Поэтому в этих случаях кровоизлияние в подкожную клетчатку отсутствует, но баллотирование надколенника и флюктуация в верхнем завороте хорошо выражены. Наоборот, разрыв капсулы и вместе с ней разгибательного аппарата голени способствуют кровоизлиянию в окружающие ткани с отсутствием выраженных симптомов скопления крови в суставе.

Пассивные движения в коленном суставе возможны, но резко болезненны. При проверке их объема необходимо избегать форсированного сгибания голени, чтобы этим не увеличить разрыв бокового связочного аппарата и диастаз между отломками.

Типичным для перелома надколенника со смещением является неспособность больного поднять разогнутую ногу (положительный симптом " скользящей пятки"). Данный симптом служит поводом для более тщательного обследования степени повреждения бокового разгибательного аппарата коленного сустава, что во многом определяет комплексную тактику лечения, а иногда и выбор метода оперативного вмешательства.

Однако, не всегда удается определить характер поврежденного разгибательного аппарата. В первое время после травмы (4-7 дней), вследствие местного шока тканей, клинические симптомы часто неадекватны патологоанатомическим изменениям. Способность активного разгибания голени восстанавливается лишь к 7-8 дню.

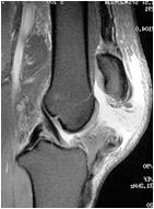
В таком случае более объективным является рентгенологическое исследование. Основным признаком разрыва удерживающих связок надколенника служило увеличение диастаза между отломками по задней поверхности при сгибании голени или даже при сокращении четырехглавой мышцы (рис. 55).

Рис. 55. Рентген-снимки и МРТ отрывных переломов и разрыва собственной связки надколенника.

Таким образом, сопоставление всех полученных данных о состоянии разгибательного аппарата коленного сустава даже в первые дни после возникновения травмы, что помогает в решении вопроса необходимости хирургического вмешательства в ранние сроки.


Поделиться с друзьями:

mylektsii.su - Мои Лекции - 2015-2026 год. (1.204 сек.)Все материалы представленные на сайте исключительно с целью ознакомления читателями и не преследуют коммерческих целей или нарушение авторских прав Пожаловаться на материал