Студопедия

Главная страница Случайная страница

КАТЕГОРИИ:

АвтомобилиАстрономияБиологияГеографияДом и садДругие языкиДругоеИнформатикаИсторияКультураЛитератураЛогикаМатематикаМедицинаМеталлургияМеханикаОбразованиеОхрана трудаПедагогикаПолитикаПравоПсихологияРелигияРиторикаСоциологияСпортСтроительствоТехнологияТуризмФизикаФилософияФинансыХимияЧерчениеЭкологияЭкономикаЭлектроника






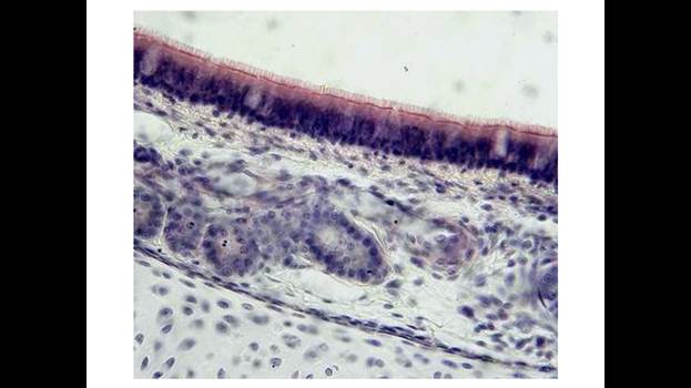
Клетки эпителия






Полоска на апикальной поверхности клеток, образованная ресничками

Многорядный мерцательный эпителий трахеи(большое увеличение)

 

 

 

 

Ядра базальных или коротких вставочных клеток

Ядра длинных вставочных клеток

Ядра мерцательных клеток

Реснички на апикальной поверхности мерцательных клеток

Бокаловидные клетки

Рыхлая соединительная ткань под эпителием

 

 

Матка-поперечный разрез

А-однослойный призматический эпителий

А)реснитчатые клетки

Б)железистые клетки

2б- собственная пластинка: рыхлая волокнистая соединительная ткань(децидуальные клетки)

Маточные железы

Матка-поперечный разрез

 

Просвет матки 5-периметрий

Эндометрий(слизистая оболочка матки) а) рыхлая волокнистая соединительная

Маточные железы ткань с большим кол-вом сосудов и


Поделиться с друзьями:

mylektsii.su - Мои Лекции - 2015-2026 год. (1.347 сек.)Все материалы представленные на сайте исключительно с целью ознакомления читателями и не преследуют коммерческих целей или нарушение авторских прав Пожаловаться на материал