Студопедия

Главная страница Случайная страница

КАТЕГОРИИ:

АвтомобилиАстрономияБиологияГеографияДом и садДругие языкиДругоеИнформатикаИсторияКультураЛитератураЛогикаМатематикаМедицинаМеталлургияМеханикаОбразованиеОхрана трудаПедагогикаПолитикаПравоПсихологияРелигияРиторикаСоциологияСпортСтроительствоТехнологияТуризмФизикаФилософияФинансыХимияЧерчениеЭкологияЭкономикаЭлектроника






Миометрий жировых клеток






А-подслизистый б) мезотелий

Б-сосудистый

В- надсосудистый

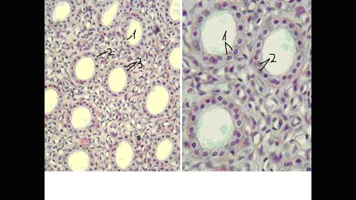
Однослойный кубический и цилиндрический эпителий почечных канальцев

 

А) 1-апикальная поверхность клеток: обращена к просвету канальца

2-базальные части клеток: лежат на базальной мембране

3-ядра: имеют округлую форму и несколько смещены к базальной части клеток

Б) 1-клетки цилиндрической формы

2-ядра: расположены в базальной части клеток

 

 

Однослойный кубический эпителий почечных канальцев

Просвет канальца

Кубические клетки

Базальная мембрана

Соединительная ткань и сосуды, окружающие канальцы

 

 

 

 

 

 

 

Одноклеточные эндоэпителиальные железы(бокаловидные клетки кишечника)

 
 
 
 
 

 

 

Бокаловидные клетки в составе эпителия, покрывающего ворсинки

Цилиндрические каемчатые эпителиоциты(основная масса клеток эпителия)


Поделиться с друзьями:

mylektsii.su - Мои Лекции - 2015-2026 год. (1.157 сек.)Все материалы представленные на сайте исключительно с целью ознакомления читателями и не преследуют коммерческих целей или нарушение авторских прав Пожаловаться на материал