Студопедия

Главная страница Случайная страница

КАТЕГОРИИ:

АвтомобилиАстрономияБиологияГеографияДом и садДругие языкиДругоеИнформатикаИсторияКультураЛитератураЛогикаМатематикаМедицинаМеталлургияМеханикаОбразованиеОхрана трудаПедагогикаПолитикаПравоПсихологияРелигияРиторикаСоциологияСпортСтроительствоТехнологияТуризмФизикаФилософияФинансыХимияЧерчениеЭкологияЭкономикаЭлектроника






Врожденные кисты легких






Возникновение их связано с нарушением развития бронхов и альвеол во внутриутробный период. Если оно происходит на ранних этапах эмбриогенеза, то возникают одиночные кисты больших размеров, а в поздние сроки - множественные, мелкие, которые называют поликистозом легких. Их формированию оказывает содействие рост неправильно развитых бронхиальных зачатков с механическим растяжением их накопленной слизью. Внутренняя поверхность кисты покрыта эпителием, а в ножке иногда находят элементы бронхов и гладкие мышечные волокна.

Врожденные бронхогенные кисты по расположению могут быть центральными и периферическими. Центральные кисты иногда соединяются с бронхом. Кисты могут быть заполнены воздухом, или жидкостью.

По клиническому течению различают кисты не осложненные и осложненные. Не осложненные врожденные кисты с бессимптомным течением, как правило, случайно обнаруживают во время рентгенологического исследования. Такие кисты необходимо дифференцировать с приобретенными воздушными кистами и абсцессами легких, которые возникают после острой гнойной деструктивной пневмонии. В таких кистах через 6 месяцев появляется эпителиальная выстилка, клинически и рентгенологически они не отличаются от врожденных. В таких случаях помогает проведение морфологических исследований.

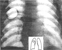
Основным методом диагностики есть рентгенологический (Рис. 11)

Рис. 11 Врожденная киста верхней доли правого легкого: определяются четкие контуры воздушного образования

Осложнение врожденных кист распределяют таким образом: нагноение кисты - 60%, напряжение кисты - 20%, прорыв в плевральную полость - 5%. На кисты с бессимптомным течением приходится 15%. Нагноение кисты возникает в любом возрасте и сопровождается ухудшением общего состояния, повышением температуры тела до высоких цифр, интоксикацией, ознобом, лейкоцитозом. На рентгенограмме (Рис.12) обнаруживают полость круглой формы с уровнем жидкости.

 

Рис.12. Врожденная киста правого легкого с уровнем жидкости (нагноение)

 

 

На томограмме четко определяется капсула кисты, отсутствующая перифокальная воспалительная реакция, которая помогает отличить врожденную кисту от абсцесса при внутрилегочной форме ОГДП. Параэзофагеальные диафрагмальные грыжи, при которых часть желудка находится в грудной полости и во время рентгенологического исследования проявляется в виде полости с уровнем жидкости, могут стимулировать картину нагноения кисты. В таких случаях необходимо провести рентгенологическое исследование контрастным веществом. Диагностическую пункцию не проводят с целью предотвращения инфицирования плевральной полости. В том же объеме проводят исследование в случае поликистоза легких, при наличии сотового рисунка имитирующего кишечные петли при левосторонней диафрагмальной грыже.

Врожденная напряженная киста легкого (рис. 13) клинически проявляется симптомами дыхательной недостаточности тяжелой степени, которая возникает в кистах легких с клапанным механизмом в приводящем бронхе. Клапан образовывается вследствие перегиба бронха, косого его соединение с полостью кисты, гипертрофии слизистой оболочки или закупоривание бронха мокротой, слизью. У таких детей определяются одышка, затрудненное дыхание с участием вспомогательных мышц в акте дыхания, цианоз кожи. Крик и беспокойство сопровождаются приступами асфиксии.

 

Рис. 13. Врожденная киста правого легкого, напряжение определяется смещением средостения

 

Клиника. При обследовании ребенка обнаруживают отставание половины грудной клетки в акте дыхания на стороне поражения. Перкуторно над легочным полем определяется тимпанит, границы сердца смещены в здоровую сторону. Данные объективного исследования не позволяют исключить напряженный пневмоторакс, но во время рентгенологического исследования обнаруживают контуры кисты, иногда наличие в ней перепонок. Напряженный пневмоторакс является легочно-плевральной формой острой гнойной деструкции легких с продолжительным тяжелым течением и выраженной интоксикацией.

Дифференциальная диагностика. Напряженную кисту легких надо отличать от врожденной частичной эмфиземы, которая рентгенологически характеризуется обедненностью легочного рисунка, повышенной прозрачностью легочной паренхимы, чаще всего в области верхней доли левого легкого и выраженным смещением органов средостения и сглаживанием купола диафрагмы.

Разрыв осложненной кисты приводит к пневмотораксу, пиотораксу или пиопневмотораксу. Дифференциальный диагноз с легочно-плевральными формами ОГДП в этом случае затруднен. Поэтому необходимо учитывать анамнез, клиническое течение заболевания.

Лечение врожденных кист только хирургическое после установления диагноза. Если выявлена напряженная киста, перед операцией показано проведения пункции и дренирование кисты с целью уменьшения внутригрудного давления. Объем оперативного вмешательства определяется размерами и распространением кистозного образование. В случае кист небольшого диаметра выполняют цистоэктомию, среднего - сегментарную резекцию легкого, а если диаметр кисты превышает поперечный размер воздушной доли легкого, показана лобектомия, иногда с резекцией язычковых сегментов легких.


Поделиться с друзьями:

mylektsii.su - Мои Лекции - 2015-2026 год. (0.829 сек.)Все материалы представленные на сайте исключительно с целью ознакомления читателями и не преследуют коммерческих целей или нарушение авторских прав Пожаловаться на материал