Студопедия

Главная страница Случайная страница

КАТЕГОРИИ:

АвтомобилиАстрономияБиологияГеографияДом и садДругие языкиДругоеИнформатикаИсторияКультураЛитератураЛогикаМатематикаМедицинаМеталлургияМеханикаОбразованиеОхрана трудаПедагогикаПолитикаПравоПсихологияРелигияРиторикаСоциологияСпортСтроительствоТехнологияТуризмФизикаФилософияФинансыХимияЧерчениеЭкологияЭкономикаЭлектроника






Проф. М.Ю.Капитонова






Лекция: Ткани. Эпителий. Железы


Задачи:

1.Определить понятие классификацию.


Тканей.


Дать


их


 


Для студентов 1-го курса всех факультетов

Проф. М.Ю.Капитонова


2. Разобрать классификацию эпителиальной ткани.

З.Дать морфо-функциональную характеристику
эпителиальной ткани. Охарактеризовать

отдельные виды эпителиев.

4. Выявить различия в строении и функциях экзокринных и эндокринных желез. Дать классификацию экзокринных желез и рассмотреть особенности разных видов желез.


 


ОПРЕДЕЛЕНИЕ ТКАНЕЙ. КЛАССИФИАЦИЯ.

Ткань - это совокупность клеток и неклеточных структур, объединенных общностью строения, происхождения и функций. Около 200 видов клеток организма человека организованы в 4 вида тканей.

1. Эпителий.

2. Соединительная ткань.

3. Мышечная ткань.

4. Нервная ткань.

Ткани в соответствии со своим клеточным составом и
набором неклеточных структур сгруппированы в органы, а
органы собраны в системы (пищеварительную, сердечно­
сосудистую и т.д.). В органах ткани существуют и функционируют
в тесном контакте друг с другом. Эпителий присутствуют в
организме в. двух основных формах: в виде пластов клеток
покровного эпителия и в виде железистого эпителия,

образованного путем инвагинации эпителиальной ткани и составляющего железы.


ОПРЕДЕЛЕНИЕ ЭПИТЕЛИАЛЬНОЙ

ТКАНИ. КЛАССИФИКАЦИЯ ЭПИТЕЛИЕВ.

Эпителиальная ткань состоит из пластов клеток, покрывающих поверхность тела, выстилающих полости и просветы полых органов, образующих железы и выстилающих их протоки.

Выделяют 4 вида эпителиев:

1.Покровный эпителий (покрывает поверхность тела, выстилает полости, кроме суставной, просветы полых органов и сосудов).

2.Железистый эпителий (составляет железы).

3.Герминативный эпителий (присутствует в половых железах).

4.Чувствительный эпителий (в органах вкуса и обоняния).


происхождение эпителиев Эпителиальная ткань развивается из всех трех зародышевых листков, но в основном - их эктодермы и энтодермы
эктодерма энтодерма мезодерма
эпителий слизистой ротовой и носовой полостей, роговицы, эпидермис кожи, ногти, волосы, эпителий анального канала. печень, поджелудоч­ная железа, выстилка дыхательный путей (гортань, трахея, легкие), пищеварительного тракта (включая глотку), евстахиевой трубы, мочевого пузыря, уретры, эпителиальное покры­тие задней трети языка. мочевые канальцы почки, выстилка семявыносящих путей, эндотелий сосудов, мезотелии полостей тела, мочеточник.
железы: кожи (потовые, сальные), молочные железы, слюнные железы, аденогипофиз тимус, щитовидная и паращитовидные железы, железы пищевода, желудка тонкой и толстой кишки. почки, гонады, кора надпочечников

МОРФО-ФУНКЦИОНАЛЬНАЯ ХАРАКТЕРИСТИКА ЭПИТЕЛИЕВ

Эпителий входит в состав многих сложных органов. Строение эпителиальной ткани в разных органах различно в зависимости от их структуры и функции, но не зависимо от топографии, все эпителии характеризуются следующими признаками:

1. Межклеточное вещество. В эпителиях оно практически отсутствует.

2. Происхождение: из эктодермы, мезодермы и энтодермы. З. Базальная мембрана. Эпителий отделен от подлежащей соединительной ткани базальной мембраной, состоящей из коллагена IV типа и гликопротеинов.

4. Питание. Эпителий не содержит кровеносных сосудов. Питательные
вещества проходят в него диффузно через базальную мембрану из
подлежащей ткани.

5. Разнообразие: эпителий может быть однослойным и
многослойным, специализируясь на всасывании, секреции, защите и
т.д.

6. Полярность эпителиоцитов: внутреннее содержимое распределено определенным образом по полюсам клеток: ядро обычно находится в базальной части, а секреторные гранулы - в апикальной.

7. Метаплазия: при изменении условий окружающей среды эпителии подвергаются метаплазии, т.е. переходят из одного типа в другой (однослойный - в многослойный).

8. Регенерация. Регенераторный потенциал эпителиев очень высок.


 


однослойный призматический эпителий млечный ход капиллярная сеть кишечная железа

Однослойный плоский эпителий - мезотелии сальника, серебрение.

[Ядра

границы клеток цитоплазма

1. Межклеточное вещество. В эпителиях практически нет межклеточного вещества. Клетки плотно упакованы или тесно противолежат друг другу, соединенные специализированными межклеточными соединениями. Межклеточное пространство может быть не более 25 нм.

На препарате клеточные границы окрашены серебрением, они зазубрены для более тесного контакта..


 


3. Базальная мембрана. Эпителий располагается на базальной мембране, которая соединяет его с подлежащими тканями, отсюда проистекает полярность эпителиоц ворсина цитов: базальный их полюс соединен с! базальной мембраной, а апикальный - свободен. Базальная мембрана включает базальную пластинку, состоящую из коллагена IV типа и гликопротеинов: фибронектин и ламинин. Компоненты базальной мембраной синтезируются самими эпителиоцитами.

J бокаловидная | клетка

артериола { венула j лимф.сосуд

Кишечная ворсинка с однослойным призматическим каемчатым эпителием


соеди­нитель - ная ткань

вм

a) Базальная мембрана не видна в световой микроскоп, так как ее толщина всего 0.05 мкм, однако при окраске ШИК-реакцией она выглядит пурпурной из-за большого содержания в ней гликопротеинов. Иммуногистохимически в ней могут быть выявлены другие компоненты (коллаген IV типа, ламинин).

b) Под ЭМ в базальной мембране видны слои: lamina densa (D) темная пластинка шириной 30-100 нм. Междой ней и клеткой различима также lamina lucida (L) светлая пластинка, толщиной обычно 60 нм. По другую сторону от темной пластинки находится разреженный фиброретикулярный слой варьирующей толщины, который сливается с фибриллярными белками экстрацеллюлярного матрикса. Фактически то, что видно под световым микроскопом, и является фиброретикулярным слоем. Часто термины базальная пластинка и базальная мембрана используются как синонимы, но строго говоря базальная пластинка - это только lamina densa. БАЗАЛЬНАЯ ПЛАСТИНКА = LAMINA DENSA + LAMINA RARA. БАЗАЛЬНАЯ МЕМБРАНА = БАЗАЛЬНАЯ ПЛАСТИНКА + ФИБРОРЕТИКУЛЯРНЫЙ СЛОЙ.


Многослойный плоский неороговевающий эпителий пищевода

•^ плоские клетки

полигональ­ные клетки

базальные клетки

-• I Miloses

^ базальная -f мембрана капилляр I

капилляр артериола

фибробласты

соединитель- коллагено-

ная ткань | вые волокна 4. Питание. Поскольку в норме эпителии не содержат кровеносных сосудов, их питание осуществляется за счет капилляров подлежащей соединительной ткани, откуда питательные вещества проникают путем диффузии. Этим же путем из эпителиев в капилляры подлежащей соединительной ткани проникают продукты распада, углекислый газ. Базальная поверхность эпителия часто бывает складчатой, чтобы сократить путь диффузии веществ в эпителий и из него.


 


бокаловидные клетки
эндокриноциты fe^
мышечная пластинка

ТОНКАЯ КИШКА, Г& Э

.., //

^^

Митоз

•> i

^-^ крипты 1

" " J г................ '■

ц эндокрино- I Iииты •клетки Панет;»" '7? 5Н мышечная пластинка

5. Внутриклеточная полярность: ядро и органеллы распределены в цитоплазме с ориентацией на полюсы клетки: базальный, обращенный к базальной мембране, и апикальный - свободный. Так ядро, как правило находится в базальной части, а секреторные гранулы - в апикальной.

7- Регенерация. У эпителиев высокая регенераторная способность, в эпителиоцитах часто видны фигуры митоза. Поскольку эпителий является пограничной тканью, клетки часто подвергаются механическому повреждению, что вызывает необходимость регулярно восполнять утраченные клетки. Для обеспечения непрерывности клеточного пласта клетки должны обладать высоким митотическим потенциалом. Например, эпителиальная выстилка тонкой кишки полностью обновляется за менее, чем 6 дней, а кожи - за 28 дней.


ФУНКЦИИ ЭПИТЕЛИЕВ

 

Функция носитель
защита от травм и трения Многослойный эпителий покрывает поверхность тела, внутренние органы, контактирующие с внешней средой, также выстланы многослойным эпителием (пищевод, влагалище).
всасывание однослойный цилиндрический каемчатый эпителий кишки (толстой и тонкой), проксимальные извитые канальцы почки способны всасывать многие продукты
селективная проницаемость нефротелий, энтероциты контролирует прохождение через себя многих молекул с высокой селективностью, что обеспечивается особенностями межклеточных соединений
секреция слизи, гормонов, ферментов бокаловидные клетки (одноклеточные слизистые железы) кишки и дыхательных путей выделяют слизь для защиты слизистой оболочки, эндокриноциты (одиночные и в составе эндокринных желез) секретируют гормоны, энтероциты секретируют многочисленные пищеварительные ферменты, большие зпителиоциты легких секретируют сурфактант

ФУНКЦИИ ЭПИТЕЛИЕВ

 

функция носитель
экскреция, чресклеточный транспорт желчный пузырь, канальцы почек активно транспортируют ионы, продукты азотистого обмена, воду и проч.
сократимость миоэпителиальные клетки вокруг железистых ацинусов и мелких выводных протоков, сокращаясь, облегчают выделение секрета (слюнные железы, молочные железы)
чувствительность вкусовые луковицы сосочков языка содержат нейроэпителиальные клетки, обеспечивающие вкусовую чувствительность
иммунная функция клетки Лангерганса в эпидермисе - это антиген-презентирующие клетки (макрофагального ряда), участвующие в иммунном ответе.

КЛАССИФИКАЦИЯ ЭПИТЕЛИЕВ Эпителий классифицируется по числу слоев клеток и по морфологии клеток поверхностного слоя. 1.Однослойный эпителий 2. Многослойный эпителий

> n.i

Однослойный эпителий состоит из одного слоя клеток, все они соединены с базальной мембраной. Многослойные эпителии содержат несколько слоев клеток, и только клетки базального слоя соединены с базальной мембраной.

 

Ректо-анальное соедине­ние (*), Г& Э.


 


КЛАССИФИКАЦИЯ ЭПИТЕЛИЕВ (ОДНОСЛОЙНЫХ)  
тип локализацация специализация  
Однослойный плоский эндотелий, мезотелий, париетальный листок капсулы почечного тельца, тонкий каналец петли Генле, сеть семенника, альвеолы легких    
Однослойный кубический щитовидная железа, сосудистое сплетение, протоки желез, внутренняя поверхность капсу­лы хрусталика, эпителий, покрывающий яичник    
Однослойный призматический (цилиндриче­ский) внутренняя выстилка желудка, тонкой и толстой кишки, проксимальный извитой каналец почки дистальный извитой каналец почки, желчный пузырь, выводные протоки желез, матка, яйцевод мелкие внутрилегочные бронхи некоторые придаточные пазухи носа щеточная кайма щеточная кайма реснички реснички реснички  
Многорядный цилиндрический крупные выводные протки желез, часть мужской уретры, придаток семенника трахея, бронхи евстахиева труба части барабанной полости стереоцилии реснички реснички реснички  

 

 

 

 

 

 

Классификация многослойных эпителиев  
тип локализация специали­зация  
Многослойный плоский неороговевающий или ороговевающий Ротовая полость, пищевод, надгортанник, конъюнктива, роговица, влагалище, десны, твердое небо, эпидермис кератин кератин
Многослойный кубический Протоки потовых желез  
Многослойный цилиндрический Кавернозная часть уретры, свод конъюнктивы, крупные выводные протоки желез  
Переходный Мочевая система: от больших чашечек до уретры  
Герминативный Извитые семенные канальцы семенника взрослого  

Kt^. -Jt**! «*•'.=*.-,



призматический { j многорядныи призматический

переходный

многослойный

., '-r-J,

 

переходный в расслабленном состоянии

плоский неоро-1 I кубический говевающий j

 

ороговевающий призматический переходный (в растянутом состоянии)


виды ЭПИТЕЛИЕВ

A. Однослойный плоский эпителий выстилает наружную
поверхность пищеварительных органов, легких и сердца.

Плевральная, перикардиальная и брюшная полости выстланы однослойным плоским эпителием - мезотелием.

Аналогично плоский эпителий, выстилающий полость сердца и просветы кровеносных и лимфатических сосудов, называется мезотелий.

B. Однослойный кубический эпителий выстилает выводнью
протоки в печени, слюнных железах и др.

Например, проксимальные извитые канальцы почки выстланы однослойным кубическим эпителием, клетки которого имеют на апикальном полюсе щеточную каемку, образованную микроворсинками.

C. Однослойный призматический (=цилиндрический) эпителий
покрывает внутреннюю поверхность пищеварительных
органов (желудок, тонкая и толстая кишка, желчный пузырь).

В тонкой и толстой кишке поверхность всасывающих эпителиальных клеток, покрывающих кишечнью ворсинки и выстилающих кишечные крипты, также имеет щеточную каемку - микроворсинки на апикальной поверхности эпителиоцитов.


МНОГОРЯДНЫЙ ПРИЗМАТИЧЕСКИЙ ЭПИТЕЛИЙ

• Клетки располагаются одним слоем на базальной мембране, с которой связана каждая из эпителиальных клеток.

• Однако при этом создается видимость двух-трех слоев, так как клетки имеют разную форму и их ядра располагаются на разных уровнях, образуя 2-3 ряда.

• Отсюда название эпителия - многорядный или псевдомногослойный призматический.

• Он выстилает воздухоносные пути, просвет протока придатка и семявыносящий проток.

• В трахее, бронхах, крупных бронхиолах и семявыносящих канальцах семенника поверхность клеток имеет подвижнью реснички.

• В протоке придатка и семявыносящем протоке содержатся неподвижные стереоцилии.


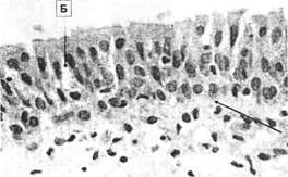
Многорядный мерцательный эпителий слизистой носовой полости

На базальной мембране (стрелка) лежат эпителиальной клетки разной формы, поэтому их ядра располагаются на разных уровнях, образуя три ряда, хотя эпителий является однослойным. При этом одни клетки контактируют с базальной мембраной широким основанием, другие - узким. Б - бокаловидная клетка.


МНОГОСЛОЙНЫЙ ЭПИТЕЛИЙ

Клетки расположены в несколько слоев. С базальной мембраной контактирует только нижний слой - базальный, а остальные слои расположены над базальным слоем. Различают следующие виды многослойного эпителия:

A. ПЕРЕХОДНЫЙ ЭПИТЕЛИЙ

У него много слоев в спавшемся состоянии. Поверхностнью клетки имеют куполообразную форму в спавшемся состоянии и плоскую - в растянутом состоянии. Он выстилает органы мочевой системы (мочеточники, мочевой пузырь, уретру).

B. многослойный ПЛОСКИЙ ЭПИТЕЛИЙ
Содержит много слоев клеток

Базальные клетки могут быть кубическими или

цилиндрическими.

Они дают начало клеткам, которые мигрируют на поверхность

и там становятся плоскими.

Может быть ороговевающим и неороговевающим.


 


Ш^^Щ: %^^^

Слева изображен эпителий мочевого пузыря в спавшемся состоянии, а справа - в растянутом. В растянутом состоянии эпителий становится тонким, состоящим из 2-3 слоев, поверхностный слой представлен плоскими клетками, при этом отличие от многослойного плоского эпителия состоит в том, что плоскими становятся клетки только одного ряда- самого поверхностного.

: -/.7^\- " ■ ■ '> <


Поделиться с друзьями:

mylektsii.su - Мои Лекции - 2015-2026 год. (1.956 сек.)Все материалы представленные на сайте исключительно с целью ознакомления читателями и не преследуют коммерческих целей или нарушение авторских прав Пожаловаться на материал