Студопедия

Главная страница Случайная страница

КАТЕГОРИИ:

АвтомобилиАстрономияБиологияГеографияДом и садДругие языкиДругоеИнформатикаИсторияКультураЛитератураЛогикаМатематикаМедицинаМеталлургияМеханикаОбразованиеОхрана трудаПедагогикаПолитикаПравоПсихологияРелигияРиторикаСоциологияСпортСтроительствоТехнологияТуризмФизикаФилософияФинансыХимияЧерчениеЭкологияЭкономикаЭлектроника






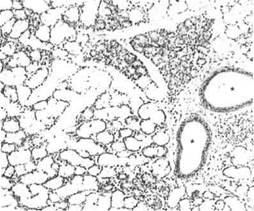
Подъязычная железа, Г. Э.






Два крупных выводных протока (звездочки) проходят в строме железы. Они выстланы многослойным эпителием, что указывает на эктодермальное происхождение железы.


 


поверхностный эпителии

однокпе I ' I ^

 
\/

точные

железы

секреторные клетки;

скрученная трубчатая
" Рямая железа

трубчатая железа

- - " " - _. ' поверхностный

эпителий

поверхностный эпителии

и
Г

Г)

: х: /'.
',.'4

центра- /) ' льный ——г просвет 1

\/

ионо- ' прота -лкива ющие / клет- i I

, secretory cells, ^^

— ' секреторные клетки Простые неразветвленные железы


Экзокринные железы

классифицируются по:
1.Числу клеток

(одноклеточные-
многоклеточные).
2.форме секреторных
оуделов (трубчатые или
альвеолярные или

альвеолярно-тубчатые).
З.Строению концевых
отделов: разветвленные-
неразветвленные.
4.Строению выводных
протоков: (простые-

сложные). Неразветвлен­ные железы - всегда простые.

б.Способу секреции:

мерокриновые, апокрино­
вые, голокриновые.
б.Характеру секрета

(сэрозные, слизистые,
смешанные или

сальные).


Одноклеточные
экзокринные железы

представляют собой

простейшую форму желез внешней секреции.

Бокаловидные клетки
разбросаны поодиночке по
эпителию пищеварительного
тракта и дыхательных путей. Их
секрет представляет собой
слизь, защищающую

внутреннюю поверхность этих
трактов. При окраске

гематоксилином они остаются
неокрашенными, так как ни один
из этих кросителей не
окрашивает слизь.

Одноклеточные железы всегда внутриэпителиальные. Многоклеточные железы могут быть и внутриэпителиальными (уретральные железы Литтре), и экстраэпителиальными (большинство).


Бокаловидные клетки () в эпители­альной выстилке тощей кишки. Г.-Э.


Сложные разветвленные железы { Поверхностный эпителий
мелкие прото­ки, выстлан­ные клетками прокачиваю­щими ионы и добавляющими жидкость

секреторные эпителиоциты вокруг мелкого центрального просвета - это ацинус

сложная разветвленная альвеолярная

Схематическое изображение морфологической классификации многоклеточных экзокринных желез. Зеленым показаны концевые отделы, фиолетовым - выводные протоки.

сложная разветвленн ая трубчатая

сложная

разветвленная

тручато-альвеолярная


Сложные разветвленные железы

Сложные железы всегда разветвленные) в то время как простые железы могут быть и разветвленными, и неразветвленными.

миоэпителиальные клетки выдавливают секрет


 


КЛАССИФИКАЦИЯ ЖЕЛЕЗ

 

тип пример
Одноклеточные железы  
экзокринные бокаловидные клетки
эндокринные АПУД-клетки ЖКТ

 

КЛАССИФИКАЦИЯ ЖЕЛЕЗ
ТИП пример
Многоклеточные экзокринные железы  
пласты секреторных клеток поверхностный эпителий слизистой желудка
внутриэпителиальные железы уретральные железы (Литтре)
простые трубчатые железы кишечные железы
простые извитые трубчатые железы апокриновые потовые железы
простые разветвленные трубчатые железы железы пищевода
простые разветвленные ацинарные железы Мейбомиевы железы
сложные трубчатые железы кардиальные железы желудка
сложные трубчто-ацинарные железы поджелудочная железа
сложные ацинарные (саккулярные) железы простата

всасыва ющие клетки __ бокалови дные клетки lamina j propria 1 крипты (кищечные железы)
лимфати­ческий фолликул

БОКАЛОВИДНЫЕ КЛЕТКИ В ТОЛСТОЙ КИШКЕ

бокало I вид- I ные

^, ^ I клетки i }< ^ ' '^ ^Ч лимфати-f. ' 1^ ---*——-л. ческий

'^ фолликул г'") ^, ^j мышечная > 1, 4*Z пластинка


Поделиться с друзьями:

mylektsii.su - Мои Лекции - 2015-2026 год. (1.728 сек.)Все материалы представленные на сайте исключительно с целью ознакомления читателями и не преследуют коммерческих целей или нарушение авторских прав Пожаловаться на материал