Студопедия

Главная страница Случайная страница

КАТЕГОРИИ:

АвтомобилиАстрономияБиологияГеографияДом и садДругие языкиДругоеИнформатикаИсторияКультураЛитератураЛогикаМатематикаМедицинаМеталлургияМеханикаОбразованиеОхрана трудаПедагогикаПолитикаПравоПсихологияРелигияРиторикаСоциологияСпортСтроительствоТехнологияТуризмФизикаФилософияФинансыХимияЧерчениеЭкологияЭкономикаЭлектроника






Экзаменационная задача №2. Больная Д. , 44 года. Поступила с жалобами на повышение температуры до 37,6ос, умеренные боли при глотании






Больная Д., 44 года. Поступила с жалобами на повышение температуры до 37, 6оС, умеренные боли при глотании, потливость, общую слабость. Больна в течение двух недель, когда появилась боль при глотании, повысилась температура. Вызвала участкового врача, который после осмотра поставил диагноз ангины. Получала антибиотики (пенициллин - 1 млн. ЕД х 4 раза в сутки) в течение 6 дней. Состояние не улучшилось. При рентгенографии органов грудной клетки очаговых и инфильтративных теней не выявлено. При осмотре: состояние средней тяжести. Кожные покровы бледные, на коже верхних и нижних конечностей – петехиальная сыпь. Пальпация грудины умеренно болезненна. Периферические лимфоузлы не пальпируются. ЧДД 21-22 в 1 мин. В легких перкуторно – ясный легочный звук в симметричных участках легких, аускультативно – жесткое дыхание, хрипы не выслушиваются. АД – 120/80 мм рт.ст. Тоны сердца ритмичны, приглушены, выслушивается мягкий систолический шум над всеми точками аускультации. Пульс – 100 уд/мин., удовлетворительных качеств. Живот при пальпации мягкий, безболезненный, печень, селезенка пальпируются по краю реберной дуги. Периферических отеков нет. Мочеиспускание свободное, безболезненное. Стул, диурез в норме.

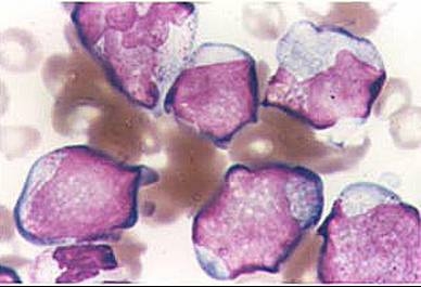
Общий анализ крови - Нв-60 г/л, эритроциты – 1, 8х1012/л, ЦП – 1, 0, лейкоциты - 8, 2х109/л, бластные клетки - 88%, нейтрофилы сегментоядерные – 6%, лимфоциты – 6%, тромбоциты - 12 х109/л. При цитохимическом исследовании бластных клеток гликоген в виде глыбок. Общий анализ мочи – без патологии. Биохимический анализ крови - Общий белок 80, 0 г/л, креатинин 0, 23 мМ/л, билирубин общий 12, 0 мкМ/л, свободный 1, 0, связанный 10, 0, глюкоза 4, 0 мМ/л, АсАТ 26 ед/л, АлАТ 11 ед/л, амилаза 45 ед/л, лактатдегидрогеназа общая 867 ед/л.

Мазок периферической крови больной Д., 44 г.

ВОПРОСЫ:


Поделиться с друзьями:

mylektsii.su - Мои Лекции - 2015-2026 год. (0.342 сек.)Все материалы представленные на сайте исключительно с целью ознакомления читателями и не преследуют коммерческих целей или нарушение авторских прав Пожаловаться на материал