Студопедия

Главная страница Случайная страница

КАТЕГОРИИ:

АвтомобилиАстрономияБиологияГеографияДом и садДругие языкиДругоеИнформатикаИсторияКультураЛитератураЛогикаМатематикаМедицинаМеталлургияМеханикаОбразованиеОхрана трудаПедагогикаПолитикаПравоПсихологияРелигияРиторикаСоциологияСпортСтроительствоТехнологияТуризмФизикаФилософияФинансыХимияЧерчениеЭкологияЭкономикаЭлектроника






Хронічна мієлоїдна лейкемія.






 

Хронічна мієлоїдна лейкемія – пухлина, яка виникає з клітини-попередниці мієлопоезу, спільної для гранулоцитарного, еритроцитарного та мегакаріоцитарного паростків кровотворення, що зумовлює втягнення в патологічний процес клітинних елементів усіх трьох вказаних вище “ліній” гемопоезу. Захворювання вперше описано у 1845 році Graigie, Bennett i Virchows. Хронічна мієлоїдна лейкемія займає п’яте місце в структурі захворюваності на гемобластози (8, 9% випадків). Захворюваність на 100 000 населення складає 1, 0-1, 7 випадків.

Етіологія та патогенез остаточно невідомі. В групі хімічних канцерогенів не вдалось ідентифікувати агентів, що мають причинний зв’язок з розвитком хронічної мієлоїдної лейкемії. Доведено, що вплив радіації призводить до збільшення частоти виникнення захворювання. Ймовірно, що в розвитку хронічної мієлоїдної лейкемії важливу роль відіграють молекулярні механізми, пов’язані з утворенням філадельфійської хромосоми. Ph'- хромосома визначається в клітинах кісткового мозку і периферійної крові більш ніж у 95% хворих на хронічну мієлоїдну лейкемію і є результатом реципрокної транслокації між хромосомами 9 і 22, t(9; 22) (q34; q11), яка призводить до утворення 9q+-хромосоми і 22q+-хромосоми. Продуктом Ph'-хромосоми є комплексний білок bcr/abl (p210). Майже у 5% хворих на ХМЛ Ph'-хромосома не визначається (так звані Ph'-негативні випадки). При цьому у деяких із хворих виявляються характерні аномалії bcr/abl.

Хронічна мієлоїдна лейкемія є клональним мієлопроліферативним захворю­ванням при якому вражаються поліпотентні стовбурові клітини- попередники мієлоїдних, еритроїдних, лімфоїдних клітин і мегакаріоцитів.

Класифікація. Більшість клініцистів виділяють три клінічні фази протікання ХМЛ: хронічну (моноклонову або розгорнуту), прогресуючу (фазу акселерації) і бластний криз (гостру фазу).

Клініка. На початку розвитку захворювання хворі зазвичай скарг не подають. Захворювання часто діагностується випадково при профілактичних оглядах, на прийомі у лікаря з приводу інших хвороб. З прогресуванням процесу клінічна симптоматика стає більш визначеною. Спостерігається підвищена втомлюваність, загальне нездужання, біль в кістках, пітливість. Збільшуються розміри печінки й селезінки. Приєднуються інфекційні ускладнення. Розроблені наступні діагностичні критерії, при виявленні яких може бути виставлений діагноз хронічної мієлоїдної лейкемії в хронічній фазі:

· поєднане або ізольоване збільшення розмірів селезінки і/або печінки;

· вміст лейкоцитів в периферійній крові > 80*109/л;

· зсув лейкоцитарної формули вліво з загальною кількістю мієлобластів і промієлоцитів > 4%;

· загальна кількість клітин кісткового мозку > 350*109/л;

· загальна кількість бластів і промієлоцитів в кістковому мозку > 8%;

· вміст клітин нейтрофільного ряду із врахуванням бластних форм в кістковому мозку > 85%;

· загальна кількість клітин базофільного і еозинофільного рядів в кістковому мозку > 6, 5%;

· вміст клітин еритроїдного ряду в кістковому мозку < 5%;

· гіперплазія гранулоцитарного паростка (часто в поєднанні з мегакаріоцитарним) паростка в трепанобіоптаті кісткового мозку.

Згідно критеріїв “Міжнародного Реєстру з трансплантації кісткового мозку”, ознаками прогресуючої фази хронічної мієлоїдної лейкемії є наступні:

· кількість лейкоцитів важко контролюється звичайними дозами мієлосану (мілерану) або гідроксисечовини (гідреа); необхідним є збільшення доз цих цитостатичних препаратів або скорочення інтервалів між курсами;

· на фоні ефективної раніше терапії спостерігається швидке подвоєння числа лейкоцитів (менше, ніж за 5 днів);

· число бластних клітин в крові або кістковому мозку ≥ 10%;

· сумарний вміст бластних клітин і промієлоцитів в крові або кістковому мозку дорівнює або перевищує 20%;

· сумарний вміст еозинофілів і базофілів в крові або кістковому мозку дорівнює або перевищує 20%;

· рефрактерна анемія або тромбоцитопенія, не чутливі до терапії мієлосаном або гідроксисечовиною;

· персистуючий тромбоцитоз;

· виявлення додаткових хромосомних аномалій.

· спленомегалія яка прогресує;

· розвиток мієлофіброзу.

Визначальною ознакою бластного кризу у хворих з хронічною мієлоїдною лейкемією є збільшення сумарної кількості бластних клітин в периферійній крові чи кістковому мозку до 30% і більше. З’являються нові клони клітин, які з прогресуванням захворювання починають переважати. У хворих на хронічну мієлоїдну лейкемію розрізняють декілька варіантів бластного кризу: мієлобластний, лімфобластний, промієлоцитарний, монобластний, мієломнобластний, еритро­бластний, мегакаріобластний. Пухлинні клітини виходять за межі кісткового мозку, метастазують в селезінку, печінку, лімфатичні вузли, кістки, інші органи і тканини. Хронічна фаза хронічної мієлоїдної лейкемії триває роками. Тривалість життя хворого у фазі бластного кризу, як правило, складає декілька місяців. У хворих розвивається клініка гострої лейкемії: посилюється біль в кістках, наростають симптоми інтоксикації, збільшується печінка, селезінка, розвивається важка анемія, тромбоцитопенія.

Крім описаних варіантів бластного кризу хронічної мієлоїдної лейкемії виділяють екстрамедулярний або позакістковомозковий бластний криз. Він може бути обумовлений появою бластних елементів в лімфатичних вузлах, печінці, селезінці, під шкірою, в інших органах та таканинах, без ознак ураження кісткового мозку, що вказує на його бластну трансформацію. В свою чергу, екстрамедулярний бластний криз поділяють на мієлобластний, лімфобластний і недиференційований.

Ph'-негативні форми хронічної мієлоїдної лейкемії відрізняється швидким прогресуванням та важким протіканням.

Діагностика. В діагностиці допомагає виявлення у хворого збільшення печінки і селезінки та зміни показників крові: нейтрофільний лейкоцитоз із зсувом вліво, базофільно-еозинофільна асоціація (паралельне збільшення кількості базофілів та еозинофілів в лейкоцитарній формулі), розвиток анемії, тромбоцитопенії. При проведенні цитохімічних досліджень у хворих на хронічну мієлоїдну лейкемію спостерігається позитивна реакція на пероксидазу в середньому у 98, 7% клітин, ліпіди – виявляють у 97% цих клітин, а полісахариди – у 95, 4% таких клітин. В діагностиці фази хронічної мієлоїдної лейкемії та варіанту бластного кризу велике значення має визначення моноклональних антитіл за методом імунного фенотипування.

Диференційний діагноз хронічної мієлоїдної лейкемії необхідно проводити перш за все з такими захворюваннями, як сублейкемічний мієлоз, гостра лейкемія, лейкемоїдна реакція мієлоїдного типу.

Сублейкемічним мієлозом хворіють особи у віці 50-60 років і старше, для цього захворювання характерний більш тривалий перебіг, помірна клінічна симптоматика, значна спленомегалія, помірна анемія та лейкоцитоз, значний тромбоцитоз. Окрім того, на відміну від хронічної мієлоїдної лейкемії в мієлограмі при сублейкемічному мієлозі переважають зрілі або дозріваючі нейтрофіли, число мегакаріоцитів перевищує норму. Вирішальне значення має трепанобіопсія, визначення Ph'-хромосоми в клітинах кісткового мозку.

Для гострої лейкемії характерний лейкемічний провал (hiatus leucaemicus), в той час, як при хронічній мієлоїдній лейкемії в лейкограмі наявні “проміжні форми”. При гострій лейкемії відсутня еозинофільно-базофільна асоціація. Кількість тромбоцитів при хронічній мієлоїдній лейкемії нормальна, або підвищена, в той час як при гострій лейкемії з самого початку реєструється тромбоцитопенія, в кістковому мозку спостерігається значна кількість бластних клітин (більше 30%), зниження кількості або відсутність мегакаріоцитів, пригнічення нормального гемопеозу.

Лейкемоїдна реакція мієлоїдного типу розвивається при активному туберкульозному процесі, екзогенній інтоксикації спричиненій отруєнням сульфаніламідами, оловом, ртуттю, адреналіном, серцевими глікозидами, чадним газом. Вона спостерігається також при гострих запальних та інфекційних захворюваннях (сепсис, скарлатина, бешиха, гнійні процеси, пневмонія, гнійні випітні плеврити, дифтерія, дизенетерія, висипний тиф тощо). Крім характерного клінічного перебігу перерахованих захворювань в диференційній діагностиці допоможе відсутність в лейкограмі базофільно-еозинофільної асоціації, наявність токсичної зернистості в нейтрофілах, відсутність змін у мієлограмі. Прояви лейкемоїдних реакцій зникають при усуненні причин, що їх викликали. При метастазуванні пухлини в кістковий мозок в ньому можна виявити атипові пухлинні клітини.

 
 

 


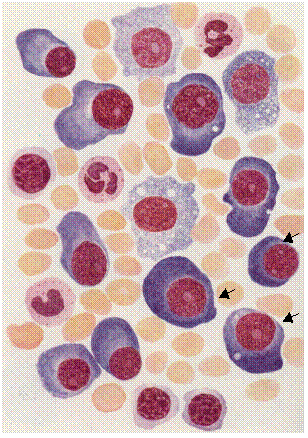
Рис. Тотальна метаплазія кісткового мозку мієломними клітинами (показані стрілками) - адаптовано за М.Г.Абрамовим, 1985.

 

Лікування. Лікування ХМЛ залежить від стадії захворювання. На ранніх стадіях, у випадку слабо виражених клініко-гематологічних проявів, рекомендують загальноукріплювальну терапію, яка має бути багата на вітаміни. Хворі знаходяться на диспансерному спостереженні.

За наявністю ознак прогресування хвороби призначають мієлосан, який діє головним чином на стовбурові кровотворні клітини, менш активно - на клітини-попередниці окремих паростків кровотворення і майже не впливає на швидко проліферуючі клітини. Мієлосан призначають всередину, доза залежить від кількості лейкоцитів і розмірів селезінки. Дозування залежить від рівня лейкоцитозу, коливається в межах 2-8 мг/добу. При рівні лейкоцитів 15х109/л - препарат призначають по 2 мг 2-3 рази на тиждень. При досягненні ремісії проводять підтримуючу терапію: прийом препарату по 2-4 мг 1-3 рази в 7-10 днів. Курсова доза зазвичай складає 250-300 мг. У хворих, резистентних до мієлосану, або при відсутності ефекту від нього, в хронічній стадії захворювання назначають мієлобромол або гексафосфамід або ж гідроксисечовину (гідреа).

Гексафосфамід, як і мієлобромол діє переважно на пул клітин, що проліферують. В залежності від рівня лейкоцитозу мієлобромол призначають по 125-250 мг в день під контролем показників крові (можливий розвиток цитопенічних реакцій). Тривалість курсу індивідуальна (як правило 2-4 тижні). Для підтримуючої терапії застосовують мієлобромол в дозах 125-250 мг 1 раз в 5-7-10 днів. Гексафосфамід призначають по 20 мг в день при кількості лейкоцитів 100х109/л, при лейкоцитозі в межах 90-80х109/л – по 10 мг щоденно або по 20 мг через день. Згодом при зменшенні лейкоцитозу – 10-20 мг двічі на тиждень. Середня курсова доза: 150-600 мг. Підтримувальна терапія проводиться в дозі 10-20 мг гексафосфаміду 1 раз в 7-10-15 днів.

Гідроксисечовина (гідреа) також використовується в якості первинного засобу лікування хворих на хронічну мієлоїдну лейкемію. Вона впливає на мієлоїдні клітини, що проліферують. Призначають гідреа в добовій дозі 40-50 мг/кг маси тіла з наступним зниженням під контролем числа лейкоцитів. Доза підтримуючої терапії – 20мг/кг маси тіла. Зазвичай курс лікування триває 2-3 тижні. Полхіміотерапія застосовується в розгорнутій стадії хронічної мієлоїдної лейкемії, коли монотерапія неефективна. Використовують схеми “7+3”, АВАМП (цитозин-арабінозид +вінкристин+метотрексат+6-меркаптопурин+преднізолон), ЦВАМП (циклофосфан +вінкристин+аметоптерин+6-меркаптопурин+преднізолон), програму L-15. Лікуван­ня бластного кризу проводиться по програмі лікування гострої нелімфобластної або лімфобластної лейкемії. Добрий ефект при хронічної мієлоїдної лейкемії дає застосування інтерферону. Відомо, що α 2-інтерферон інгібує ріст колоній гранулоцитів та моноцитів, а γ -інтерферон впливає на стовбурову клітину. α 2-інтерферон застосовують в дозі 3-5 млн ОД/м2, а γ -інтерферон – по 0, 25-5 мг/м2 дом’язево, щодня, упродовж 3-12 місяців. Терапія інтерфероном може призводити до ліквідації клону клітин з філадельфійською хромосомою.

В розгорнутій стадії захворювання можливе застосування променевої терапії, лейкоцитофорезу, спленектомії. Проте єдиним методом, який дає шанс повного виліковування хворих на хронічну мієлоїдну лейкемію є трансплантація кісткового мозку від ідентичних за HLA-системою близьких родичів, або однояйцевих близнюків. Хворим на хронічну мієлоїдну лейкемію призначають симптоматичну терапію, яка включає в себе дезінтоксикаційні заходи, лікування інфекційних ускладнень, анемії, тромбоцитопенії.


Поделиться с друзьями:

mylektsii.su - Мои Лекции - 2015-2026 год. (3.647 сек.)Все материалы представленные на сайте исключительно с целью ознакомления читателями и не преследуют коммерческих целей или нарушение авторских прав Пожаловаться на материал