Студопедия

Главная страница Случайная страница

КАТЕГОРИИ:

АвтомобилиАстрономияБиологияГеографияДом и садДругие языкиДругоеИнформатикаИсторияКультураЛитератураЛогикаМатематикаМедицинаМеталлургияМеханикаОбразованиеОхрана трудаПедагогикаПолитикаПравоПсихологияРелигияРиторикаСоциологияСпортСтроительствоТехнологияТуризмФизикаФилософияФинансыХимияЧерчениеЭкологияЭкономикаЭлектроника






Нормальная анатомия






Кости конечностей и суставы представляют собой идеальный объект для изучения методом рентгенографии. Кости конечностей в основном состоят из длинных трубчатых костей. На рентгенограммах таких костей различают следующие отделы (на примере костей предплечья): диафиз, эпифизы, метафизы и апофизы (рис. 3-1). Диафиз - средняя, наиболее протяженная часть кости. Эпифизы - концевые отделы, развивающиеся из ядер окостенения и формирующие сустав за счет суставных поверхностей, покрытых хрящевой тканью. Метафизы - участки кости между эпифизом и диафизом. Апофиз - часть кости, развивающаяся из дополнительной точки окостенения, но не участвующая в образовании сустава.

Корковый слой (компактное вещество) трубчатой кости на рентгенограммах представлен в виде расположенных по краю интенсивных лентовидных уплотнений, четко очерченных с обеих сторон, постепенно истончающихся в области метафизов. Наружный их контур оказывается неровным только на участках, соответствующих местам прикрепления сухожилий. В средней части кости четко различим костно-мозговой канал в виде светлой широкой полосы, располагающейся вдоль всего диафиза. В эпифизах и метафизах губчатое вещество представлено в виде сетчатой структуры.

Короткие губчатые кости, например кости стоп и кистей, на рентгенограммах характеризуются преобладанием трабекулярной структуры. Сравнительно тонкий компактный (корковый) слой располагается по периферии и окаймляет кость в виде узкого ободка. Исследования этих костей начинают с рентгенологических снимков, которые выполняются в двух проекциях. В специализированных ортопедических клиниках могут применяться нестандартные проекции для выполнения рентгеновских снимков. Другой рентгенографический метод - КТ - помимо возможности выполнения аксиальных срезов позволяет получать разнообразные трехмерные реконструкции (рис. 3-2).

Рис. 3-1. Рентгенограмма костей предплечья:

а - прямая проекция; б - боковая проекция; 1 - тело лучевой кости; 2 - тело локтевой кости; 3 - головка лучевой кости; 4 - головка локтевой кости; 5 - шиловидные отростки; 6 - блок плечевой кости; 7 - кости запястья

Рис. 3-2. КТ таза. Трехмерная реконструкция:

1 - крыло подвздошной кости; 2 - седалищная кость; 3 - лобковая кость; 4 - крестцовая кость; 5 - копчик; 6 - крыша вертлужной впадины; 7 - головка бедренной кости; 8 - шейка бедренной кости; 9 - тело 5-го поясничного позвонка; 10 - межпозвонковый диск

Рентгенография является одним из основных методов исследования позвоночника. Стандартные проекции при рентгенографии позвоночника - прямая и боковая. В норме позвоночник, представленный 24 позвонками, образует естественные изгибы: кпереди в шейном и поясничном отделах, кзади - в грудном и крестцовом. Эти физиологические отклонения от срединной линии видны на боковых рентгенограммах. Изучение функционального состояния позвоночника проводят путем выполнения рентгеновских снимков в боковой проекции в положении максимального сгибания, максимального разгибания и в среднем положении. Пример рентгенограмм поясничного отдела позвоночника представлен на рис. 3-3.

Обзорные рентгенограммы черепа в прямой и боковой проекциях являются основой для изучения костей мозгового и лицевого черепа (рис. 3-4). Суммация теней костей черепа при рентгеновском иссле-

Рис. 3-2. КТ таза. Трехмерная реконструкция:

1 - крыло подвздошной кости; 2 - седалищная кость; 3 - лобковая кость; 4 - крестцовая кость; 5 - копчик; 6 - крыша вертлужной впадины; 7 - головка бедренной кости; 8 - шейка бедренной кости; 9 - тело 5-го поясничного позвонка; 10 - межпозвонковый диск

Рентгенография является одним из основных методов исследования позвоночника. Стандартные проекции при рентгенографии позвоночника - прямая и боковая. В норме позвоночник, представленный 24 позвонками, образует естественные изгибы: кпереди в шейном и поясничном отделах, кзади - в грудном и крестцовом. Эти физиологические отклонения от срединной линии видны на боковых рентгенограммах. Изучение функционального состояния позвоночника проводят путем выполнения рентгеновских снимков в боковой проекции в положении максимального сгибания, максимального разгибания и в среднем положении. Пример рентгенограмм поясничного отдела позвоночника представлен на рис. 3-3.

Обзорные рентгенограммы черепа в прямой и боковой проекциях являются основой для изучения костей мозгового и лицевого черепа (рис. 3-4). Суммация теней костей черепа при рентгеновском иссле-

Рис. 3-3. Рентгенограмма поясничного отдела позвоночника в прямой (а) и боковой (б) проекциях:

1 - тело позвонка; 2 - суставной отросток; 3 - поперечный отросток; 4 - остистый отросток; 5 - пространство межпозвонкового диска; 6 - верхняя замыкательная пластинка тела позвонка; 7 - нижняя замыкательная пластинка; 8 - подвздошно-крестцовое сочленение; 9 - крестец

 

 

довании затрудняет дифференцирование тканей, но все же удается различать множество анатомических структур. Толщина костей свода невелика - от 0, 5 до 1 см. В области теменных и затылочных бугров кости толще, в области височной впадины - тоньше. На фоне ячеистой структуры костей свода в виде линейных просветлений диф-

Рис. 3-4. Обзорные рентгенограммы черепа (а - прямая, б - боковая проекции):

1 - лобная кость; 2 - теменная кость; 3 - затылочная кость; 4 - височная кость; 5 - клиновидная кость, 6 - решетчатая кость; 7 - глазница; 8 - верхняя челюсть и верхнечелюстная пазуха; 9 - носовая перегородка; 10 - нижняя челюсть

 

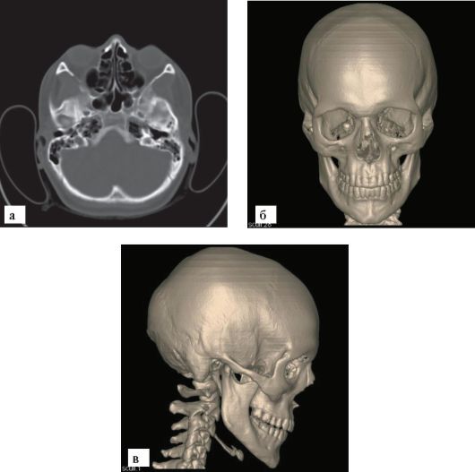
Рис. 3-5. МСКТ черепа:

а - поперечный срез; б - трехмерная реконструкция, вид спереди; в - трехмерная реконструкция, вид сбоку

ференцируются борозды оболочных артерий, каналы и звездчатые разветвления диплоэтических вен и пахионовых грануляций, а также пальцевые вдавления. Отдельные кости черепа соединяются между собой разного вида швами. В черепе ребенка места с неоконченным окостенением называются родничками.

Более широкие возможности для изучения костей черепа представляет КТ. В современных МСКТ фронтальные и сагиттальные срезы реконструируются из набора аксиальных (рис. 3-5). Преимуществом КТ является не только отсутствие суммации теней, но и наличие воз-

можности изучения всех тканей данного уровня, включая вещество головного мозга.

Верхнюю и нижнюю челюсти, височно-нижнечелюстной сустав исследуют с помощью традиционной рентгенографии и на специальных дентальных рентгенодиагностических аппаратах. В специализиро- ванных клиниках к рентгеновскому методу добавляется КТ и МРТ.

Суставы состоят из суставных поверхностей соответствующих костей и хрящевых структур. Последние на рентгенограммах не определяются. Из-за проекционного искажения суставная щель на рентгенограммах шире анатомической. Суставные концы костей четко очерчены и окаймлены плотной замыкающей (субхондральной) пластиной, которая имеет вид плотной тонкой тени. Эта тень является продолжением тени коркового слоя диафиза (рис. 3-6). В специализированных ортопедических клиниках для исследова-

Рис. 3-6. Рентгенограмма коленного сустава (а - передняя; б - боковая проекция):

1 - бедренная кость; 2 - латеральный мыщелок бедренной кости; 3 - медиальный мыщелок бедренной кости; 4 - надколенник; 5 - большеберцовая кость; 6 - латеральный мыщелок большеберцовой кости; 7 - медиальный мыщелок большеберцовой кости; 8 - головка малоберцовой кости; 9 - шейка малоберцовой кости; 10 - межмыщелковое возвышение

ния суставов широко используют МР-томографию и ультразвуковое исследование.

Внедрение МР-томографии позволило значительно улучшить качество исследования суставов. МРТ суставов проводится с исполь- зованием специальных дополнительных катушек и дает изображе-

 

Рис. 3-7. МР-томограмма коленного сустава (а - фронтальный срез; б, в - сагиттальные срезы; г - парасагиттальный срез): 1 - бедренная кость; 2 - латеральный мыщелок бедренной кости; 3 -меди- альный мыщелок бедренной кости; 4 - надколенник; 5 - большеберцовая кость; 6 - латеральный мыщелок большеберцовой кости; 7 - медиальный мыщелок большеберцовой кости; 8 - головка малоберцовой кости; 9 - шейка малоберцовой кости; 10 - межмыщелковое возвышение; 11 - медиальный мениск, передний рог; 12 - латеральный мениск, передний рог; 13 - латеральный мениск, задний рог; 14 - передняя крестообразная связка; 15 - задняя крестообразная связка

ния очень высокого качества. Такое исследование позволяет врачам визуализировать не только окружающие сустав мышцы и связки, но и суставную сумку, покрывающие хрящи, мениски и определять количество жидкости в суставах (рис. 3-7).

УЗИ суставов в настоящее время все активнее внедряется в клиническую практику. Благодаря короткому времени выполнения и безвредности УЗИ его можно проводить не только в специализированных кабинетах. Достоинством метода является также существенный объем получаемой диагностической информации. При УЗИ можно изучать состояние костей, мягких тканей, связок и хрящей (рис. 3-8), визуализировать даже незначительные количества жидкости.

 

Рис. 3-8. УЗИ локтевого сустава (норма). Стрелкой указана головка лучевой кости

У детей рентгенологическое изображение скелета отличается рядом особенностей. Это связано с наличием росткового хряща и ядер окостенения. Рентгенологическая картина суставов у детей зависит от возраста ребенка. Примером отличий рентгенограмм скелета ребенка от рентгенограммы взрослого человека является снимок костей кисти трехлетнего ребенка

(рис. 3-9).

 

Рис. 3-9. Рентгенограмма кисти 3-лет- него ребенка (норма). Видны широкие зоны роста и ядра окостенения


Поделиться с друзьями:

mylektsii.su - Мои Лекции - 2015-2026 год. (2.566 сек.)Все материалы представленные на сайте исключительно с целью ознакомления читателями и не преследуют коммерческих целей или нарушение авторских прав Пожаловаться на материал