Студопедия

Главная страница Случайная страница

КАТЕГОРИИ:

АвтомобилиАстрономияБиологияГеографияДом и садДругие языкиДругоеИнформатикаИсторияКультураЛитератураЛогикаМатематикаМедицинаМеталлургияМеханикаОбразованиеОхрана трудаПедагогикаПолитикаПравоПсихологияРелигияРиторикаСоциологияСпортСтроительствоТехнологияТуризмФизикаФилософияФинансыХимияЧерчениеЭкологияЭкономикаЭлектроника






Переломы и вывихи






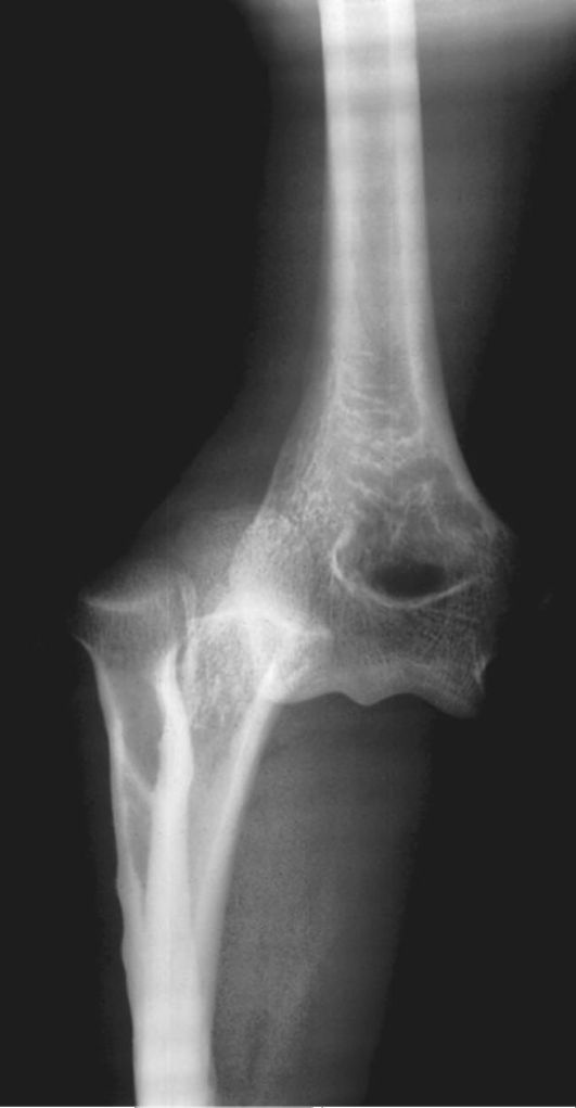
Переломы и вывихи являются одной из самых частых причин направления пациентов на лучевое исследование (чаще всего - рент- генографию). Перелом - это нарушение анатомической целостности кости (рис. 3-10). Вывих - смещение суставных поверхностей костей по отношению друг к другу (рис. 3-11).

Рентгенография остается важнейшим методом диагностики переломов и вывихов. К КТ прибегают либо при диагностике переломов в сложных для изучения областях (череп, позвоночник (рис. 3-12), таз, мелкие суставы), либо при обследовании пациентов с политравмой, когда подозреваются, помимо переломов костей, поражения жизненно важных органов (мозг, легкие, печень, селезенка и пр.).

МРТ является информативным методом скрытых (рентгенонегативных) переломов костей, не видимых на рентгенограммах. Кроме

 

Рис. 3-11. Вывих локтевого сустава

того, этот метод незаменим при выявлении травм связок, менисков (рис. 3-13) и суставного хряща.

Существует несколько простых классификаций переломов. По происхождению их делят на врожденные и приобретенные, по причинам возникновения - на травматические (полученные при падении, ударе, компрессии, ротации) и патологические

 

Рис. 3-12. Перелом тела II поясничного позвонка. 3-мерная реконструкция данных МСКТ

 

Рис. 3-12. Перелом тела II поясничного позвонка. 3-мерная реконструкция данных МСКТ

Рис. 3-13. МРТ коленного сустава. Разрыв заднего рога медиального мениска

(их развитие связано с остеопорозом, опухолью, остеомиелитом). По состоянию кожных покровов и слизистых оболочек переломы делят на открытые и закрытые, а по полноте - на полные (линия перелома пересекает всю кость) и неполные (трещины и поднадкостничные переломы по типу «зеленой веточки» у детей).

На основании рентгеновских снимков в описании указываются локализация перелома (диафизарный, метафизарный, эпифизарный, внутрисуставной) и ход линии перелома (переломы поперечные, продольные, косые, винтообразные, оскольчатые, отрывные, вколоченные, компрессионные), а также наличие или отсутствие смещения отломков. При наличии смещения отломков различают смещение по длине (с укорочением или удлинением конечности), угловое и ротационное. По сложности переломы делят на простые, комбинированные (переломы нескольких костей) и сочетанные (с травмой других органов).

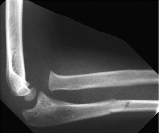
Переломы с типичным механизмом травмы и рентгенологической картиной названы по именам авторов, впервые их описавших (например, переломы Монтеджи (рис. 3-14), Галеацци, Смита, Коллиса,

 

Рис. 3-14. Рентгенограмма при переломе Монтеджи (перелом локтевой кости в проксимальной трети, сопровождающийся вывихом головки лучевой кости)

Рис. 3-15. Вторичная костная мозоль (давность 4 недели) при переломе плечевой кости

Беннета, Роланда, Дюпюитрена и пр.). Их детальное изучение и описание приводятся в курсе травматологии и ортопедии.

Рентгенография является важнейшим методом оценки заживления переломов. Процесс заживления перелома рентгенологически проходит четыре стадии. В первой стадии в месте перелома формируются гематома и соединительнотканная мозоль, далее - первичная и вторичная костная мозоль (рис. 3-15), а на последнем этапе происходят окончательное заживление и посттравматическое ремоделирование кости (5-7 месяц).


Поделиться с друзьями:

mylektsii.su - Мои Лекции - 2015-2026 год. (7.891 сек.)Все материалы представленные на сайте исключительно с целью ознакомления читателями и не преследуют коммерческих целей или нарушение авторских прав Пожаловаться на материал