Студопедия

Главная страница Случайная страница

КАТЕГОРИИ:

АвтомобилиАстрономияБиологияГеографияДом и садДругие языкиДругоеИнформатикаИсторияКультураЛитератураЛогикаМатематикаМедицинаМеталлургияМеханикаОбразованиеОхрана трудаПедагогикаПолитикаПравоПсихологияРелигияРиторикаСоциологияСпортСтроительствоТехнологияТуризмФизикаФилософияФинансыХимияЧерчениеЭкологияЭкономикаЭлектроника






Опухоли костей






Лучевые методы диагностики - рентгенография, МРТ, КТ и сцинтиграфия скелета - играют важнейшую роль в диагностике и стадировании опухолей костей.

 

Выделяют первичные опухоли остеогенного происхождения доброкачественной природы: остеома, остеоид-остеома, остеоблас- токластома, хондрома, хондробластома, фиброма, доброкачественная хордома и др., и злокачественные, из которых чаще всего встречаются остеогенная саркома, хондросаркома, злокачественная остеобластокластома и хордома. Встречаются также первичные опухоли

скелета неостеогенного происхождения. К доброкачественным неостеогенным опухолям относятся гемангиома, лимфангиома, липома, фиброма, а к злокачественным - опухоль Юинга (часто встречается у детей), ретикулосаркома, липосаркома, фибросаркома.

Большинство злокачественных первичных опухолей костей встречаются у детей и молодых людей. У взрослых часто встре- чаются метастатические (вторичные) опухоли скелета. Так, у мужчин в скелет часто метастазирует рак предстательной железы, а у женщин - рак молочной железы.

Обычно по данным лучевого исследования можно дифференцировать доброкачественные и злокачественные опухоли скелета.

Для доброкачественных опухолей характерны четкая граница между образованием и здоровой костью, медленный рост, отсут- ствие инвазии и метастазирования. Для злокачественных опухолей характерны инфильтративный рост, отсутствие четких границ, реакция надкостницы (периостит), метастазирование. Пример рентгенологического проявления доброкачественной внутрикостной опухоли (энхондромы) представлен на рис. 3-18, а злокачественной (остеосаркомы) - на рис. 3-19.

 

Рис. 3-18. Рентгенограмма. Энхондрома плечевой кости (указана стрелкой)

 

Рис. 3-19. Рентгенограмма. Остеосаркома бедренной кости. Виден очаг деструкции кости, периостит (указан стрелками)

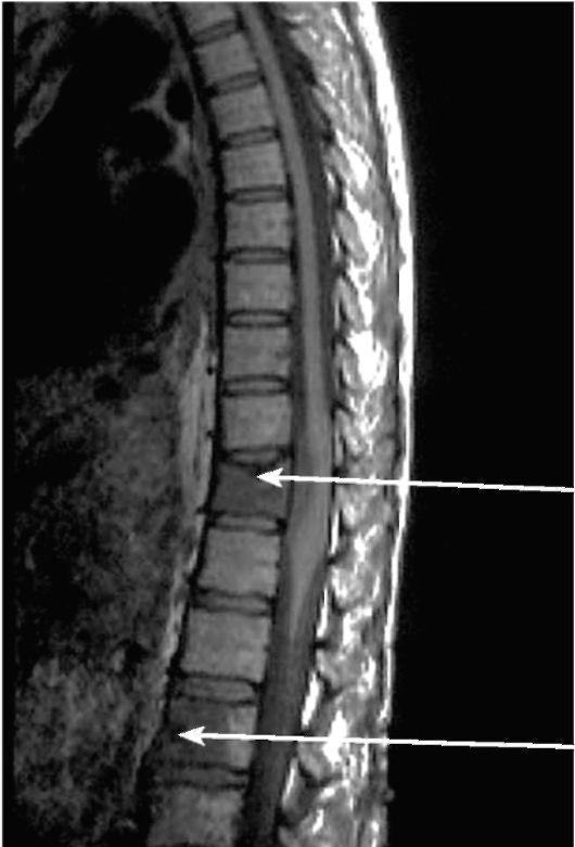
При выявлении множественных поражений костей (чаще всего такая ситуация возникает при поиске скелетных метастазов) велика роль сцинтиграфии скелета (рис. 3-20) и МРТ (рис. 3-21), так как эти методы позволяют выявлять злокачественные поражения костей лучше и на более ранней стадии, чем это делают рентгенографические методы.

 

 

Рис. 3-20. Сцинтиграфия скелета у пациента с метастазами рака предстательной железы в позвоночник (стрелки)

Рис. 3-21. МРТ позвоночника при метастазах рака молочной железы (указаны стрелкой


Поделиться с друзьями:

mylektsii.su - Мои Лекции - 2015-2026 год. (1.124 сек.)Все материалы представленные на сайте исключительно с целью ознакомления читателями и не преследуют коммерческих целей или нарушение авторских прав Пожаловаться на материал