Студопедия

Главная страница Случайная страница

КАТЕГОРИИ:

АвтомобилиАстрономияБиологияГеографияДом и садДругие языкиДругоеИнформатикаИсторияКультураЛитератураЛогикаМатематикаМедицинаМеталлургияМеханикаОбразованиеОхрана трудаПедагогикаПолитикаПравоПсихологияРелигияРиторикаСоциологияСпортСтроительствоТехнологияТуризмФизикаФилософияФинансыХимияЧерчениеЭкологияЭкономикаЭлектроника






Лучевые методы исследования опорно-двигательного аппарата






Лучевая диагностика заболеваний костей и

Суставов

Лучевые методы исследования опорно-двигательного аппарата

1. Рентгенологические методы: многопроекционная рентгенография, функциональная рентгенография (позвоночный|хребетный| столб|столп|, суставы, стопа), плоскостная томография, панорамная томография (преимущественно применяют для исследования челюстей). Для исследования сосудистой системы опорно-двигательного аппарата, как и других органов и систем, применяют ангиографию|. К|до| другим рентгенконтрастным методам относят синусографию|, которую|какую| применяют для исследования околоносовых| пазух, артрографию|, которую проводят с целью контрастирования высокоатомными и газовыми веществами полостей суставов, фистулографию (рентгенография после введения|ввода| контрастного вещества в фистулу), денситометрию (методика определения плотности костной ткани с помощью УЗ или рентгенологического исследования).

 

1 2 3

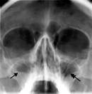
Рис.1. Рентгенограммы: 1 – гайморовые пазухи (норма); 2 – гайморит; 3 – постороннее тело в головном мозге – пуля|шар|.

2. КТ| намного превышает возможности рентгенографии, ее проводят после |предварительного| рентгенологического исследования в том случае, когда возникает сомнение относительно|касательно| наличия патологии скелета. Интравенозное| констрастирование| используют для изучения расположения больших|великих| сосудов относительно|в отношении, касательно| костей и патологических образований.

Рис.2. КТ| перелом шейного позвонка.

3. Магнитно-резонансная томография (МРТ|) имеет определенные преимущества перед КТ| в случае исследования мягких тканей и костного мозга. МРТ| намного более чувствительная|чуткая| к|до| изменениям|сменам|, которые в них возникают. С помощью МРТ| нельзя детально|подробно| изучить|изучить| костную структуру и выявить обызвествления|выявить, проявить||, которые|какие| нередко дают возможность уточнить морфологический субстрат патологического процесса, поэтому|оттого| для детального изучения костной структуры и выявления|обнаружения| обызвествлений| используют КТ|. Выполняют|исполняют| в аксиальных, сагитальных|, коронарных (фронтальных) проекциях. Для большинства костных и мягкотканных| объектов используют МРТ-| срезы толщиной до 1 см, но для объектов малых размеров (например, височно-нижнечелюстной| сустав) нужно использовать срезы 0, 1 см.

Рис.3. Сиамские близнецы: внешний вид, рентгенограмма, МРТ|.

4. Ультразвуковое исследование (УЗИ), то есть сонографию| опорно-двигательного аппарата используют для изучения состояния|стана| мягких тканей. Его целесообразно применять для обследования детей. Применение этого метода не имеет противопоказаний. Сонографию чаще всего используют для оценки нестабильности тазобедренного| сустава в случае его дисплазии, для выявления|обнаружения| выпота|потоотделения| или гематомы в полости больших|великих| суставов, повреждений суставных хрящей, сухожилий и связок, а также инородных тел, особенно|в особенности| нерентгенконтрастных. Под УЗ-контролем выполняют|исполняют| иголочную аспирацию или биопсию.

1 2

Рис.4. УЗИ: 1 – нормальный тазобедренный| сустав; 2 - выпот|потоотделение| в суставе.

5. Радионуклидные методики исследования скелета.

Радиометрия – метод определения радиоактивности симметричных участков скелета с помощью клинических радиометров (ГАММА) после введения в организм РФП (99mTc–пирофосфат, 32Р и др.).

Чаще применяют остеосцинтиграфию с 99mTc–пирофосфатом, который вводят внутривенно, активностью 350-500 МБк. Исследование начинают через 3 часа. В норме 99mTc–пирофосфат хорошо фиксируется в костях черепа, позвоночника, таза, ребрах и крупных суставах. Первичные опухоли костей накапливают РФП в значительном количестве – на 400-600% больше, чем симметричные участки здоровой костной ткани (рис. 5.1, 5.2). Метастазы фиксируют РФП на 100-300% больше здоровых участков (рис. 5.3). В сравнении с рентгенологическими методами остеосцинтиграфия позволяет диагностировать метастазы раньше на 6-8 месяцев. Для получения послойного изображения зоны интереса применяют ОФЭКТ с 99mTc-пертехнетатом.

 

Основные показания к остео­сцинтиграфии:

1) клиническое подозрение на множественные и систем­ные поражения скелета;

2) остеомиелит в первые 10-15 дней;

3) поиски метаста­зов в скелет при установленном диагнозе рака (главным образом молочной и предстательной желез, легких, почек и щитовидной железы).

 

1 2 3

Рис.5. 1 – сцинтиграмма| коленных суставов; 2 – ПЭТ коленных суставов; 3 – ПЭТ скелета.

Для диагностики патологии костей, для изучения кровотока в органах и тканях, для исследования метаболизма углеводов, жиров и белков применяют ПЭТ с использованием следующих РФП: 15О (2, 04мин), 13N (10мин), 11С (20, 1мин), 18F (109мин).

 

Мягкие ткани конечностей|концовок|

Методы исследования мягких тканей: рентгенография (РГ|), КТ|, МРТ, УЗИ, РН|.

Конечности|концовки| имеют сложное костное строение|стройку| и большой|великий| объем мягких тканей. Недостаточная контрастность анатомических элементов последних делает неэффективным обычное рентгенографическое исследование. С целью улучшения изображения мягких тканей конечностей|концовок| иногда используют ангиографию|.

Анатомические особенности и патологические изменения|смены| мягких тканей (кожи с подкожной основой|основанием|, мышц, фасциальных| перегородок, сосудисто-нервных пучков и элементов суставов) изучают с помощью|посредством| КТ| и МРТ|. УЗИ подлежат связки, сухожилия мышцы и мягкотканные| элементы суставов.

Для раннего распознавания патологических процессов на КТ|, МРТ| и УЗИ изображениях нужно знать нормальную анатомию и лучевую анатомию мягких тканей конечностей|концовок|, а также оптимальную методику их исследования.

В структуре кости выделяют губчатое и компактное вещество. В нормальной кости функция остебластов| и остеокластов| находятся в динамическом|динамичном| равновесии. Нарушение одного из процессов жизнедеятельности кости ведет к|до| изменениям|сменам| темпа уменьшения и увеличения костного вещества - либо|или| избыточное рассасывание, либо|или| новообразование костной ткани, то есть главные|головные| проявления жизнедеятельности костей происходят в другом темпе. Потому|оттого| задача рентгенолога сводится|сводится| в значительной степени к тому, чтобы разобраться в этих двух основных процессах.


Поделиться с друзьями:

mylektsii.su - Мои Лекции - 2015-2026 год. (2.436 сек.)Все материалы представленные на сайте исключительно с целью ознакомления читателями и не преследуют коммерческих целей или нарушение авторских прав Пожаловаться на материал