Студопедия

Главная страница Случайная страница

КАТЕГОРИИ:

АвтомобилиАстрономияБиологияГеографияДом и садДругие языкиДругоеИнформатикаИсторияКультураЛитератураЛогикаМатематикаМедицинаМеталлургияМеханикаОбразованиеОхрана трудаПедагогикаПолитикаПравоПсихологияРелигияРиторикаСоциологияСпортСтроительствоТехнологияТуризмФизикаФилософияФинансыХимияЧерчениеЭкологияЭкономикаЭлектроника






Дегенеративно-дистрофические поражения суставов (артрозы|, деформирующие артрозы|).






Выделяют три формы дегенеративно-дистрофических поражений суставов:

а) деформирующий остеоартроз;

б) дегенеративно-дистрофическое поражение с кистовидной| перестройкой сочлененных костей;

в) асептический остеонекроз.

Различают три стадии деформирующего остеоартроза:

1. в І-й - высота суставной щели может быть незначительно сниженной, появляются костные разрастания, преимущественно вокруг суставной впадины|. Костные разрастания - только в определенных участках каждого сустава;

2. во II стадии, когда значительно нарушается|возбуждается| функция сустава, четко определяется|проявляется| снижение высоты суставной щели, краевые костные разрастания вокруг суставной впадины| и головки;

3. для III стадии характерным является то, что суставные поверхности соприкасаются и при трении приобретают почти одинаковые формы. Большие|великие| краевые костные разрастания окружают суставные поверхности; выраженный остеопороз сочлененных костей и склероз суставных концов.

Рис..43. Деформирующий артроз.

При дегенеративно-дистрофическом поражении кистовидные| образования формируются преимущественно в суставных концах. Рентгенологически определяется|проявляется| выраженное снижение высоты суставной полости, небольшие костные разрастания и кистовидная| перестройка наиболее нагруженных отделов суставных концов. Функция сустава нарушается|возбуждается| нестойко. Обострения заболевания связаны|повязаны| с прорывом кист в суставы.

При асептическом некрозе в I фазе в суставной головке рентгенологически определяется участок уплотнения структуры клиновидной или сегментарной формы с нечеткими контурами. Уплотнение обусловлено эндостальным| костеобразованием в зоне направления действия силы. Во II фазе отмечается отграничение| участка уплотнения зоной остеолиза и реактивного склероза, обусловленного репаративной| реакцией и возникновением повторных ишемических нарушений. Для III фазы характерна инконгруэнтность| суставных поверхностей за счет вдавления уплотненного|уплотняющего| участка в толщу кости, реже - его выпячивание в полость сустава. В IV фазе присоединяются нерезкое неравномерное сужение суставной щели и краевые костные разрастания на суставной головке. В V фазе изменения|смены| суставного хряща нарастают, что выражается сужением суставной щели. Краевые костные разрастания появляются не только на головке, но и на впадине|, то есть к|до| асептическому остеонекрозу присоединяется деформирующий артроз.

Асептический некроз у детей (остеохондропатия|) чаще наблюдается в головке бедренной кости, реже – в головках II-III плюсневых| костей и ладьевидной кости стопы. Заболевание протекает по фазам. В первой фазе — фазе некроза — рентгенологически определяется|проявляется| расширение суставной щели. Во вторые фазе наступает компрессионный перелом эпифиза| и рентгенологически -|проявляется| уплотнение эпифиза| и снижение его высоты. Третья фаза (фрагментации) длится|продолжается| 1-3 года. Четвертая фаза (восстановления|восстановление|) длится|продолжается| 3-5 лет. Фрагменты срастаются и образуется нормальная костная ткань, но высота эпифиза| не восстанавливается|восстанавливается|. Пятая фаза завершается деформирующим артрозом|.

Дегенеративно-дистрофические поражения позвоночника|хребта|

Сочетание МРТ| и КТ| обеспечивает всестороннюю оценку изменений|смен| позвоночника|хребта| и спинного мозга.

Остеохондроз — в основе|основании| заболевания лежит первичная дегенерация желатинового| ядра межпозвонкового диска. Постепенно в патологический процесс втягиваются все другие элементы диска (волокнистое кольцо и гиалиновые| пластинки), тела смежных позвонков, связочный| аппарат, межпозвонковые суставы. Остеохондроз развивается в наиболее нагруженных отделах (поясничном, шейном, грудном) и наблюдается чаще всего в возрасте 40-60 лет. Нередко с самого начала появляются неврологические симптомы, которые усиливаются из-за|из-за| присоединения разных|различных| циркуляторных| расстройств|разладов|, вовлечения в процесс оболочек спинного мозга, симпатических узлов. Рентгенологические признаки состоят из показателей изменения|смены| самого диска и компенсаторных приспособлений. В начале заболевания отмечаются дегенерация и высыхание диска (хондроз|, или I стадия, по классификации Шморля). Рентгенологически определяется снижение высоты диска. В результате|вследствие| разрушения диска между соответствующими телами позвонков теряется связь и возникает патологическая подвижность. Рентгенологически четко виден сдвиг|смещение| тел по отношению одного к|до| другому. Со временем в смежных участках тел позвонков развиваются реактивные и компенсаторные изменения|смены|, в частности|в том числе| на запирательных|замыкающих, заключающих, защелкивающих| пластинках образуются краевые костные разрастания. При прогрессе заболевания диск постепенно полностью|вполне, целиком| разрушается, а тела смежных позвонков сближаются, ткань диска под воздействием нагрузки частично|отчасти| перемещается в отделы прилегающих|прилежащих| тел позвонков в виде узлов Шморля. Потому|оттого| запирательные|замыкающие, заключающие, защелкивающие| пластинки становятся|стают| неровными|неровными|. В дальнейшем появляется и постепенно нарастает склероз запирательных|замыкающих, заключающих, защелкивающих| пластинок|. Таким образом, остеохондроз (II стадия по классификации Шморля) рентгенологически характеризуется снижением высоты межпозвонкового диска, склерозом и краевыми разрастаниями запирательных|замыкающих, заключающих, защелкивающих| пластинок, патологической подвижностью между телами позвонков (нестабильностью).

Спондилоз развивается в результате|вследствие| локальной дегенерации внешних волокон фиброзного кольца при сохранении|сохранности| нормального тургора| желатинового| ядра, под воздействием давления|какого| часть диска, которая дегенерировала, выпячивается| и травмирует переднюю продольную| связку. Передняя продольная связка, испытывая постоянное раздражение, обызвествляется| в месте прикрепления к|до| краю тела позвонка. Высота диска существенно не изменяется. Окостенение передней продольной связки приводит к|до| ограничению движений определенного сегмента. Боли, как правило, нет. Поэтому|оттого| не стоит придавать спондилозу| избыточное клиническое значение. Рентгенологически определяется нормальная или незначительно сниженная высота межпозвонкового| диска и окостенение передней продольной связки.

Рис..44. Спондилоз.

Хрящевые узлы возникают при локальном прорыве вещества диска за его границы|черты| с выходом в смежные образования. Прорыв может произойти|произойти, отделаться| через|из-за| дефект в гиалиновой| пластинке (хрящевой узел тела, или узел Шморля) или в фиброзном кольце (хрящевой узел диска). Узлы Шморля чаще возникают в результате|вследствие| локальных дегенеративных изменений|смен| в гиалиновых| пластинках (иногда после травмы позвоночного столба|столпа|) и располагаются в грудном и поясничном отделах. Различают центральные, передние, задние и боковые узлы (единичные и множественные). Множественные хрящевые узлы, которые развиваются в период роста, свидетельствуют о неполноценности позвоночного столба|столпа| и чаще всего наблюдаются при спондилодисплазии| (аномалии хондрогенеза|). Это заболевание, описанное как кифоз| подростков, юношеский кифоз|, болезнь Шоермана - Шморля и т.д., характеризуется увеличением|усугублением| грудного кифоза| (круглая спина), болью и ограничением движений, преимущественно в грудном отделе. Рентгенологически определяются круглый кифоз|, снижение высоты передних отделов тел позвонков, неравномерное снижение межпозвонковых дисков с наличием вдавлений на запирательных|замыкающих, заключающих, защелкивающих| пластинках.

Значительно реже наблюдаются хрящевые узлы диска, когда вещество диска прорывается через|из-за| трещины фиброзного кольца. Задние узлы перемещаются в позвоночный канал, а заднебоковые| - в межпозвонковые отверстия. Задние и заднебоковые| узлы диска вызывают разные|различные| неврологические симптомы, которые зависят от локализации узла, непосредственного сдавливания тех или других элементов нервной системы, циркуляторных| расстройств|разладов|, вторичного асептического воспаления|зажигания|.

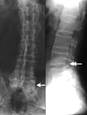
Спондилартроз наблюдается редко (4 %), преимущественно у женщин|жен| в возрасте 30-60 лет. Чаще поражается грудной отдел позвоночного столба|столпа|. При деформирующем артрозе суставов позвоночного столба|столпа| отмечается локальная боль. Рентгенологически определяются сужения суставной щели и краевые костные разрастания на суставных поверхностях.

Рис..45. Спондилоартроз рентгенограмма, КТ|.

К дегенеративно-дистрофическим поражениям тел позвонков относятся асептический некроз тел позвонков и дистрофия позвоночного столба|столпа|.

Асептический некроз тела позвонка в период роста (болезнь Кальве, остеохондропатия|) развивается преимущественно у детей. Поражается тело одного, больше всего нагруженного грудного, изредка - поясничного позвонка. Без видимой причины возникает умеренная боль. По течению заболевание напоминает туберкулезный спондилит|, хотя температура не повышается и нет изменений в|смен| крови. Рентгенологически определяются снижения высоты и клиновидная деформация тела позвонка, увеличения его передне-заднего| размера и уплотнения структуры. Смежные диски увеличены. Постепенно структура некротизированого| позвонка восстанавливается|восстанавливается|. Процесс длится|продолжается| 2-3 года.

Асептический некроз тела позвонка у взрослых является следствием однократной значительной травмы (болезнь Кюммеля). Течение заболевания можно разделись на 3 стадии. В I стадии наблюдается острая боль, которая длится|продолжается| несколько дней (иногда недель) после травмы. Рентгенологически изменения|смены| отсутствуют. Во II стадии отмечается полное клиническое благополучие, которое продолжается несколько месяцев|луны|. В III стадии боль, постепенно нарастая, достигает значительной интенсивности. На уровне повреждения появляется угловой кифоз|. Движения ограничены. Рентгенологически тело пораженного позвонка уплощенное. Структура его уплотнена|уплотняет|. По рентгенологическим признакам асептический некроз напоминает компрессионный перелом. В таких случаях при диагностике необходимо учитывать анамнестические данные.

Остеопороз (дистрофия) позвоночного столба|столпа| может развиться как при нормальных анатомо-функциональных особенностях межпозвонкового диска, так и в сочетании с разными|различными| проявлениями дегенеративно-дистрофического поражения диска. При нормальном диске тела позвонков под воздействием давления смежных дисков уплощаются, а запирательные|замыкающие, заключающие, защелкивающие| пластинки продавливаются. Тело позвонка приобретает двояковогнутую форму (по типу рыбьих). Деформация позвонков нарастает до тех пор, пока вещество диска не прорывается через|из-за| гиалиновую| и запирательные|замыкающие, заключающие, защелкивающие| пластинки в тело позвонка, образуется узел Шморля. При выраженом остеопорозе тела позвонков могут снизиться до|до| их нормальной высоты. Больные жалуются на боль в спине и пояснице|, появляются признаки вторичного хронического радикулита. В момент повышенной нагрузки или при незначительной травме наступает компрессия тел, иногда - нескольких позвонков. Снижение высоты позвоночного столба|столпа| вызывает не только уменьшения роста, но и значительные нарушения функции сердечно-сосудистой, дыхательной и пищеварительной|травной| систем. Остеопороз позвоночного столба|столпа| может быть проявлением системных заболеваний (гиперпаратиреоидной остеодистрофии, эндокринных нарушений). Рентгенологически при остеопорозе наблюдаются деформация по типу рыбьих позвонков, компрессия тел, хрящевые узлы. При одновременном старении позвоночного столба|столпа|, то есть при остеопорозе тел и остеохондрозе дисков, клинические симптомы обусловлены в основном остеохондрозом. В таких случаях рентгенологически отмечаются: усиление|усугубления| кифоза| грудного отдела, снижение высоты дисков и тел преимущественно в передних отделах - старческий кифоз|. В динамике также наблюдается снижение высоты тел за счет медленной компрессии.

Рис..46. Остеопороз.

Дифференциальная диагностика дегенеративно-дистрофических поражений позвоночного столба|столпа| проводится как между их разными|различными| формами, так и заболеваниями другого происхождения.

ДЕФОРМИРУЮЩАЯ ОСТЕОДИСТРОФИЯ — болезнь Педжета — перестройка костной ткани путем лакунарного рассасывания с последующим остеопластическим образованием неполноценного костного вещества, богатого остеоидными элементами. Длинные трубчатые кости дугообразно искривляются, возникает гиперостоз|, сужения костномозгового канала, частые „банановые” переломы, в костях черепа поражается только |только| наружный компактный слой, разволокняясь| и утолщаясь.

Рис..33. Болезнь Педжета

НЕЗАВЕРШЕННЫЙ ОСТЕОГЕНЕЗ относится к|до| системным заболеваниям скелета. В основе|основании| заболевания лежит нарушение функции камбиального слоя надкостницы, в результате чего задерживается рост костей в толщину. Рост костей в длину обеспечивается эпифизарными| зонами роста. Длинные трубчатые кости дугообразно деформируются, часто происходят патологические переломы.

Рис..34. Незавершенный остеогенез.

 


Поделиться с друзьями:

mylektsii.su - Мои Лекции - 2015-2026 год. (7.223 сек.)Все материалы представленные на сайте исключительно с целью ознакомления читателями и не преследуют коммерческих целей или нарушение авторских прав Пожаловаться на материал