Студопедия

Главная страница Случайная страница

КАТЕГОРИИ:

АвтомобилиАстрономияБиологияГеографияДом и садДругие языкиДругоеИнформатикаИсторияКультураЛитератураЛогикаМатематикаМедицинаМеталлургияМеханикаОбразованиеОхрана трудаПедагогикаПолитикаПравоПсихологияРелигияРиторикаСоциологияСпортСтроительствоТехнологияТуризмФизикаФилософияФинансыХимияЧерчениеЭкологияЭкономикаЭлектроника






Воспалительные|вспыльчивые,зажигательные,пылкие| заболевания костей и суставов.






ТУБЕРКУЛЕЗ КОСТЕЙ (туберкулезный остит) И СУСТАВОВ (первично-костная и первично-синовиальная| форма).

ТУБЕРКУЛЕЗНЫЙ ОСТИТ: очаг деструкции 1.2-2.5 см в эпиметафизе|, контуры очага всегда съедены или зазубрены, в центре - губчатый секвестр в виде " кусочка тающего сахара", остеопороз (очаговый|, регионарный), отсутствие периостита, в детском возрасте возможна атрофия кости.

ТУБЕРКУЛЕЗ СУСТАВОВ составляет|складывает, сдает| 20% всех туберкулезных поражений костей.

ПЕРВИЧНО-КОСТНАЯ ФОРМА протекает в три фазы: 1) преартритическая| фаза соответствует туберкулезному оститу; 2) артритическая| фаза - процесс переходит с|с| костной ткани на мягкотканные| и хрящевые элементы сустава, быстро распространяется, вызывает острую экссудативную реакцию и разрастание грануляционной ткани, разрушения суставных хрящей и суставных поверхностей эпифизов|. После некоторого |некоего| расширения возникает сужение рентгенологической суставной щели и регионарный остеопороз; деструктивный процесс вызывает значительные деформации суставных поверхностей кости, в результате чего теряется их конгруэнтность|, а при более распространенных разрушениях наступают т.наз|. деструктивные| вывихи; 3) постартритическая фаза завершается фиброзным анкилозом.

1 2 3

Рис.11. 1 - туберкулезный остит; 2 – артритическая| фаза; 3 - постартритическая| фаза (фиброзный анкилоз).

Рентгенологическая картина ПЕРВИЧНО-СИНОВИАЛЬНОЙ| формы в ранних стадиях соответствует картине водянки сустава (расширение суставной щели, регионарный остеопороз костей, которые образуют сустав, и утолщение суставной капсулы). Впоследствии через|из-за| 1-2 месяца|луну| в местах прикрепления капсулы становятся|стают| заметными небольшие краевые дефекты неправильной, округлой или овальной формы. Исчезает тонкий кортикальный слой и трабекулы| губчатого вещества частично|отчасти| или полностью рассасываются. Разрушение хрящей отображается на снимках сужением рентгеновской суставной щели. Стадии развития костного туберкулеза по КОРНЕВУ| П.Г.: 1 - начало, II - разгар, Ш - утихание процесса.

1 2

Рис..12. Первично-синовиальная форма туберкулеза суставов: 1 – водянка суставов; 2 – разрушение суставных хрящей и суставных концов костей.

РЕНТГЕНОЛОГИЧЕСКИЕ ПРИЗНАКИ ТУБЕРКУЛЕЗНОГО СПОНДИЛИТА:

1) снижение высоты межпозвонкового диска;

2) снижение высоты тела позвонка (признак патологической компрессии);

3) деструкция тела позвонка в виде отдельного очага|, чаще в виде краевого дефекта в сочетании с деструкцией диска;

4) деформация позвоночника|хребта| с образованием горба|холма| – углового кифоза; |

5) тени натечного абсцесса (наблюдаются в 80-90% случаев при поражении грудного отдела позвоночника|хребта|).

1 2 3

Рис..13. Поясничный| отдел позвоночника|хребта|: 1 – норма; 2, 3 – туберкулезный спондилит.

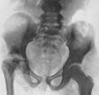
ТУБЕРКУЛЕЗНЫЙ КОКСИТ. Это обычно первично-костное заболевание - первичный туберкулезный очаг возникает чаще (64%) в костях вертлужной| впадины|. В результате|вследствие| прорыва процесса в сустав возникает разрушение суставных хрящей, синовиальной| оболочки, суставной сумки, впоследствии процесс переходит на другую кость. Возможны дистензионные| вывихи| при острых процессах, в результате|вследствие| растяжения| суставной сумки большим|великим| количеством выпота|потоотделения|; при значительных разрушениях суставных концов костей наблюдаются деструктивные вывихи. При благоприятном течении и своевременном лечении процесс может закончиться некоторой|некоей| деформацией суставных поверхностей с сохранением|сохранностью| функции сустава; при выраженных деструкциях суставных поверхностей процесс заканчивается внутривертельным| псевдоартрозом или фиброзным анкилозом, или деструктивным вывихом. Рентгеновские признаки: регионарный остеопороз, уплотнение суставной сумки, очаг деструкции в костях сустава.

Рис.14. Туберкулезный коксит.

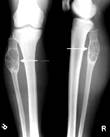
Spina ventosa tuberculosa - туберкулез диафизов| трубчатых костей. Рентгенологические признаки: деформация (утолщение), деструкция, секвестр в виде “кусочка тающего сахара”, периоститы|. Завершение: исчезновение деструкции и периостита.

ОСТЕОМИЕЛИТ| - гнойное заболевание костей, обычно стафилококковой этиологии. Различают острый гематогенный|, огнестрельный, первично-хронический и вторично-хронический остеомиелит|. Частота поражения: бедренная кость - 46%, большеберцовая| кость - 42%, плечевая кость - 10%, другие кости - 3%.

Обычная форма остеомиелита| протекает в 4 фазы: І - фаза острого воспаления|зажигания| костного мозга - флегмона, II - прорыв процесса под надкостницу и образование поднадкостничного| абсцесса; Ш – некроз кости; ІV - фаза секвестрации и репарации. Рентгеновские признаки определяются|проявляются| на 12-16 день заболевания: очаг деструкции в метадиафизе, | окруженный остеосклерозом, в центре секвестр (кортикальный|, центральный, проникающий, тотальный), вдоль длинника| кости линейный, бахромчатый| периостит. Огнестрельный остеомиелит| является следствием развития гнойной инфекции при огнестрельных переломах.

1 2 3 4

Рис..15. 1 – виды секвестров; 2 – острый остеомиелит|; 3 – хронический остеомиелит|; 4 – огнестрельный остеомиелит|.

Вторично-хронический остеомиелит| - следствие острого гематогенного| остеомиелита|, характеризуется выраженным костеобразованием в виде обширных участков остеосклероза, окруженных участками разреженной или нормальной костной ткани, секвестрами, расположенными в полостях со склерозированными| контурами, периоститами| (кружевной|, гребневидный|, полосатый).

АТИПИЧНЫЕ ФОРМЫ. Эпифизарный остеомиелит| встречается в 72% случаев в возрасте до 2 лет и вызывается стрепто-|, стафило| - и пневмококками. Процесс чаще локализуется в эпифизе| бедра, протекает остро. Эпифиз полностью разрушается, возникает нагноение сустава, прорыв гнойника с образованием свища|. На рентгенограмме бедренная кость деформирована, отсутствуют эпифиз| и часть метафиза|; вертлужная| впадина сглажена, бедренная кость в состоянии вывиха кверху и сочленяется с подвздошной костью. Вертлужная впадина в процесс не втягивается.

ХРОНИЧЕСКИЙ ПЕРВИЧНО-СКЛЕРОЗИРУЮЩИЙ| ОСТЕОМИЕЛИТ| ГАРРЕ|: начало первично-хроническое, появляется отек в мягких тканях (инфильтрация мышц), ограничение подвижности в соседних суставах. Рентгенологически: остеосклероз, эбурнеация| (деструктивных очагов, полостей, секвестров нет) и гиперостоз|.

Рис..16. Первично-склерозирующий остеомиелит| Гарре.

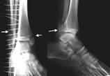
АБСЦЕСС БРОДИ: поражаются метафизы| больших|великих| трубчатых костей (б/берцовая кость - 80%) в детском или юношеском возрасте. Рентгенологически: полость диаметром 2-3 см с четким контуром, часто окруженная остеосклерозом; секвестр и периостит отсутствуют.

Рис..17. Абсцесс Броди.

РЕВМАТОИДНЫЙ АРТРИТ преимущественно поражает мелкие суставы кистей и стоп. Рентгенологически: остеопороз, утолщение отдельных трабекул|, утолщение суставной сумки, сужения суставных щелей. На боковых краях костных поверхностей -| краевые разрастания. В эпифизарных| концах костей -| кистовидные| просветления|. На краях эпифизов| костные разрастания в виде заостренных краев. Иногда блюдцеобразные| вдавления в центре суставной впадины|, в которую|какую| входит суставная головка.

Рис..18. Ревматоидный артрит.

СИФИЛИТИЧЕСКИЕ ЗАБОЛЕВАНИЯ КОСТЕЙ. При раннем врожденном сифилисе встречаются| его следующие формы:

1. Остеохондрит - это системное сифилитическое поражение скелета в зонах энхондрального| окостенения. Рентгенологически различают 3 стадии изменений|смен|: І стадия - расширение зоны предыдущего|предварительного| обызвествления|; II - светлая полоса между линией зоны обызвествления| и костью (развитие грануляционной ткани); ІІІ - выраженные деструктивные изменения|смены|, край кости зубчатый, рваный, возможны патологические переломы.

Рис..19. Сифилитический остеохондрит|.

2. Периоститы: периостальные изменения|смены| (наслоения) располагаются неравномерно относительно|в отношении, касательно| сторон кости: на вогнутых сторонах наблюдаются более мощные тени наслоений. Оссифицирующие периоститы| (множественные, симметрично расположенные, часто системные являются типичным|типовым| проявлением раннего врожденного сифилиса).

3. Гумозные поражения могут быть врожденные и приобретенные. Рентгенологически выявляются|проявляются| в периосте| или эндосте| деструктивные изменения|смены| в виде овальных или округлых очагов просветления.

Рис..20. Гумозный сифилис.

4. Фалангиты. Поражение коротких трубчатых| костей, которое выявляется|проявляются| в виде оститов|, остеомиелитов|, периоститов|, остеохондритов|. Рентгенологически чаще определяются периостальные наслоения и склерозирование| костной структуры.

Поражение костей при позднем врожденном сифилисе наблюдается в 1-2 и даже 4-5 лет и в более позднем возрасте. Определяется|проявляется| в виде множественных периоститов| и оститов|. Наблюдается деформация костей (например: т. наз|. саблевидные голени).

 

Остеоартропатии при коллагенозах поражают симметричные, в основном мелкие суставы кистей та стоп, возникает их деформация и мышечная атрофия.

Остеоартропатия при коллагенозахпротекает в три фазы:

1) Фаза синовиита: расширение рентгеновской суставной щели, подвывихи или вывихи, увеличение объема мягких тканей. Выпот в сустав можно диагностировать раньше с помощью УЗ и МРТ исследований, чем на рентгенограмме.

2) Остеолитическая фаза: рассасывание суставных концов с постепенной облитерацией костно-мозгового канала, возможно формирование неоартроза.

3) Остеобластическая фаза: резко выражены костные остеофиты на остатках инконгруэнтных суставных концах костей.

 

Асептические артрозо-артриты возникают при: нарушении обмена веществ (при подагре), экзогенных и эндогенных интоксикациях, кровоизлияниях в сустав (при гемофилии).

Рентгенологически: деформация суставов, снижение рентгеновской суставной щели, субхондральный склероз, краевые костные разрастания. При подагре возникают множественные 3-5 мм в диаметре костные дефекты (тофусы). Со временем формируются тяжелые формы деформирующих артрозов.

 

 

ОПУХОЛИ КОСТЕЙ.

Различают злокачественные и доброкачественные опухоли костей.

Доброкачественный рост: правильная форма опухоли, правильный ее структурный рисунок, признаки медленного роста, резко очерченные контуры, четкая отграниченность|отграниченность| от нормальной кости.

Признаки злокачественного роста: неправильная форма опухоли, разрушение костной ткани с образованием дефекта, бластоматозный| рост, игольчатый или козырьковый| периостит.

ДОБРОКАЧЕСТВЕННЫЕ ОПУХОЛИ КОСТЕЙ

ОСТЕОМА. Различают: губчатую остеому, которая|какая| состоит из губчатого вещества и компактную остеому из|с| компактного вещества. Рентгенологически: правильный структурный рисунок, корковое вещество опухоли составляет|складывает, сдает| прямое продолжение коркового вещества кости, нарушение целостности|цельности| коркового слоя при остеоме не бывает, губчатая| структура кости и опухоли также беспрепятственно переходят одна в другую, контуры опухоли гладкие и ровные|равные|, остеопороз всегда отсутствует. Компактные остеомы в основном локализируются в плоских костях, губчатые и смешанные - в трубчатых костях.

Рис..21. Компактная остеома.

ОСТЕОХОНДРОМА| кроме костной содержит еще и хрящевую ткань. Рисунок остеохондромы| негомогенный, состоит из правильных костных островков, веерообразных пучков и перегородок, которые лежат на светлом фоне хряща. Часто внешний вид напоминает " цветную капусту".

ХОНДРОМА. В зависимости от направления роста различают энхондромы| (в костномозговом канале), и экхондромы| (растут на поверхности кости). Чаще поражаются малые цилиндрические кости. На рентгенограмме каждая опухоль состоит из прозрачного хрящевого фона, на котором|каком| выделяются характерные островки, точечки из|с| извести|извести| или костного вещества. Ведущим синдромом энхондром| является вздутие, внешние контуры хондромы всегда четкие, непрерывные пока|покуда| опухоль остается доброкачественной. |изощрен, изящЭкхондромы| раздвигают противоположные отделы коркового вещества, корковый слой утонченный. Хондромы осложняются|усложняются| патологическими переломами и часто переходят в злокачественные опухоли.

Рис..22. Хондрома плечевой кости.

ГЕМАНГИОМА. Чаще локализируется в позвоночнике|хребте|, существуют кавернозная и капиллярная формы. При кавернозной гемангиоме структура изменена за счет наличия вертикально направленных грубых и толстых трабекул|, которые напоминают колонны. Капиллярные гемангиомы образуют мелкоячеистый| рисунок. Межпозвонковые диски не изменены, возможны патологические переломы.

Рис..23. Гемангиома.

ГИГАНТОКЛЕТОЧНАЯ ОПУХОЛЬ состоит из|с| клеток двух типов - слишком характерных многоядерных гигантских и мелких одноядерных. Встречается в основном в возрасте 20-40 лет, локализируется в длинных трубчатых костях, в костях таза, нижней челюсти и др. При сетчатой| форме рентгенологически определяется вздутие и булавовидная| деформация метаэпифизарного| конца кости.

Рис..24. Гигантоклеточная опухоль малоберцовой кости.

Структурный рисунок образует картину мелкоячеистых| или крупноячеистых| (стильниковоподібних|) просветлений|, отделенных тонкими костными перегородками. Зона поражения доходит до|до| суставной поверхности и отделяется от нее плотной субхондральной| пластинкой. Корковый слой оттеснен наружу и резко истончен|изощренный, изящный|. Периостальная реакция отсутствует. При литической форме образуется краевой бесструктурный дефект с четко очерченным контуром. Корковый слой иногда полностью рассасывается, но со стороны мягких тканей дефект может быть ограничен тонкой скарлуповидной| тенью - стенкой самого образования. Часто наступает малигнизация|.

ОПУХОЛЕВИДНОЕ ЗАБОЛЕВАНИЕ - ИЗОЛИРОВАННАЯ| КОСТНАЯ КИСТА чаще локализируется в метафизах| длинных трубчатых костей. Рентгенологически: в метафизе| трубчатой кости определяется ограниченный участок повышенной проницаемости лучей овальной, веретенообразной формы с четко очерченными контурами. На этом участке кость вздутая, расширенная в поперечнике, кортикальный| слой резко истонченный|изощрен, изящен|, но не прерванный. Реакция надкостницы отсутствует. Часто на фоне кисты выявляются|проявляются| линейные тени тонких костных перегородок, которые разделяют ее на ряд камер разной|различной| величины. Киста часто осложняется|усложняется| патологическим переломом, который|какой| хорошо заживает путем образования плотной периостальной мозоли со следующим постепенным заполнением полости кисты нормальной костной тканью.

ПЕРВИЧНЫЕ ЗЛОКАЧЕСТВЕННЫЕ ОПУХОЛИ КОСТЕЙ

ПЕРИОСТАЛЬНАЯ САРКОМА развивается из|с| внешнего волокнистого| слоя надкостницы. На рентгенограмме выявляется|проявляется| низкоинтенсивная дополнительная тень на фоне мягких тканей. Со стороны кости определяется небольшой поверхностный краевой дефект (узура|) с истонченным|изощренным, изящным| корковым слоем, контур которого|какого| остается ровным|равным|.

Рис..25. Периостальная остеосаркома рентгенограмма и КТ|.

ОСТЕОГЕННАЯ| САРКОМА. Чрезвычайно злокачественная опухоль. Различают остеолитический, остеобластический| и смешанный типы.

При остеолитическом типе малигнизируются| остеокласты|, на рентгенограмме определяется участок деструкции в метаэпифизе| трубчатой кости в виде бесструктурного дефекта с неровными|неровными|, зазубренными, как|вроде| бы|б| съеденными контурами. Часто наблюдается " козырьковый| периостит".

Рис..26. Остеолитическая саркома, рентгенограмма и МРТ|.

При остеобластическом| типе наблюдается бластоматозный| рост в виде пятнистых|пятнистых| теней разной|различной| формы и величины, расположенных в зоне опухоли, в участке поражения развивается игольчатый периостит.

Рис..27. Остеобластическая саркома.

При смешанном типе остеогенной| саркомы имеет место разнообразная|разнообразная| комбинация деструкции и патологического (злокачественного) костеобразования. На месте опухоли кость веретенообразно утолщена, корковый слой разрушен, часто наблюдается игольчатый или козырьковый| периостит.

Рис..28. Смешанная саркома

Остеогенная саркома не разрушает хрящей, и потому|и поэтому| у детей и юношей поражение не распространяется за пределы эпифизарного| хряща.

Параостальная саркома - опухоль развивается из периоста|, состоит из грубых периостальных| наслоений негомогенной структуры, корковый слой неизменен.

Рис..29. Параостальная саркома, хондромы в мягких тканях плеча.

Опухоль Юинга. Образуется из|с| ретикулоэндотелиальной ткани, чаще у людей в возрасте до 20 лет. Поражаются преимущественно длинные трубчатые кости, нередко опухоль локализируется и в плоских костях (подвздошной и др.). Клиническая картина напоминает острый остеомиелит| - заболевание начинается остро с высокой температуры и сопровождается лейкоцитозом. Появляется постепенно нарастающая боль, а местно определяется|проявляется| отечность, в области которой|какой| кожа гиперемированная| и горячая на ощупь. Рентгенологически при поражении длинных трубчатых костей наблюдается расширение костно-мозгового| канала, корковый слой расслаивается в виде продольных линейных теней, ограниченных светлыми щелевидными| промежутками. В дальнейшем со стороны надкостницы появляются нежные периостальные наслоения, которые окутывают кость по типу|наподобие| скорлупы. Эти наслоения разрушаются, а оттесненная надкостница опять|снова| окостеневает|, тем самым создавая картину полосатых наслоений. Одновременно возникает нечетко очерченный веретенообразный очаг деструкции костной ткани. В отличие от остеомиелита| секвестры, как правило, отсутствуют. В ряде случаев наблюдаются своеобразные периостальные изменения|смены| в виде тонких и нежных теней игольчатого периостита. При поражении плоских костей изменения|смены| носят в основном деструктивный характер в виде участков неравномерного разрушения губчатого вещества и мало чем отличаются от картины остеогенной| саркомы. Особенность опухоли Юинга заключается в высокой радиочувствительности, что часто используется в сложной дифференциальной диагностике. Опухоль может давать метастазы в другие кости.

Рис..30. Саркома Юинга.

МИЕЛОМНАЯ БОЛЕЗНЬ - злокачественная опухоль костного мозга. Различают следующие разновидности: 1) множественно-очаговая; 2) диффузно-поротическая|; 3) остеосклеротическая|; 4) изолированная (солитарная|). Миелома разрушает костную ткань. Рентгенологически: выявляются|проявляются| множественные округлые дефекты, диаметром от нескольких миллиметров до нескольких сантиметров с резкой контурированностью| каждого отдельного дефекта (пробойниковые дефекты). Реактивных изменений|смен| со стороны соседних тканей не бывает.

Рис..31. Миеломная болезнь.

ВТОРИЧНЫЕ (метастатические) ЗЛОКАЧЕСТВЕННЫЕ ОПУХОЛИ. Наиболее часто метастазы в кости дают опухоли предстательной железы, легких, ЖКТ|, матки, щитовидной железы и гипернефрома|. Различают: остеолитические, остеобластические| и смешанные метастазы, которые по структуре не отличаются от остеогенных| сарком.

1 2 3

Рис..32. 1 – остеолитический метастаз МРТ|; 2 – остеобластические| метастазы; 3 – смешанные метастазы КТ|.

 

РЕНТГЕНОЛОГИЧЕСКАЯ СЕМИОТИКА ТРАВМАТИЧЕСКИХ ПОВРЕЖДЕНИЙ СКЕЛЕТА.

Принципы рентгенологического исследования при травмах скелета:

- на рентгеновском снимке должны быть изображены суставы рядом с|наряду с| участком травмы;

- снимок должен быть выполнен|исполнен, проделан| в 2-х взаимно перпендикулярных проекциях;

- первый рентгеновский снимок выполняют|исполняют| вместе с иммобилизационным| материалом (шиной) - диагностический снимок;

- после репозиции| обломков|отломков| выполняется|исполняется| контрольный рентгеновский снимок;

- в неясных случаях выполняют|исполняют| рентгеновский снимок симметричного участка скелета.

Рис..35. Диагностическая и контрольная рентгенограммы травмированной конечности|концовки|.

Перелом - нарушение целостности|цельности| кости вдоль всего ее периметра.

Надлом - целостность|цельность| кости нарушена|возбуждена| не более чем на половину ее периметра.

Трещина - нарушение целостности|цельности| кости больше, чем на половину, но не на всю длину периметра.

Классификация переломов.

1. Полные, неполные (трещины, надломы).

2. По действующему фактору: огнестрельные, неогнестрельные, патологические.

1 2 3

Рис..36. 1 – неогнестрельный перелом; 2 – огнестрельный перелом; 3 - патологический перелом.

3. По механизму повреждения: компрессионные (от сжатия), торсионные| (от скручивания), флексионные| (от сгибания), отрывные (от растяжения|).

4. По характеру линии перелома: продольные, поперечные, косые, винтообразные, звездчатые|, двойные, вколоченые|, Т и У - образные, дырчатые.

Рис..37 Направление линий перелома: а – поперечный, б|б| – косой, в - продольный, г – Т- образный, д – У- образный

 

5. По локализации|: диафизарные|, эпифизарные|, метафизарные|, внутрисуставные.

6. По плоскости перелома: оскольчатые, множественные (одной кости).

Рентгенологические признаки перелома: линия или плоскость перелома, смещение отломков, деформация компактного слоя кости, дезорганизация трабекулярного| рисунка губчатой кости, деформация зоны роста (у детей).

Рис..38. Признаки переломов.

Виды смещения отломков.

Рис..39. Виды смещения отломков: а – боковое, б|б| – продольное с захождением|захождением|, в – продольное с расхождением, г – продольное с вклиниванием, д – под углом, е – по периферии.

1. Боковое (по ширине) смещение может быть полным и неполным. При неполном смещении определяют, на какую часть диаметра кости сместились отломки (на 1/2, на 1/3 и т.д.).

2. Продольное смещение - с расхождением или с захождением|захождением| отломков.

3. Смещение под углом. Величина угла смещения определяется в точке пересечения продольных осей| отломков.

4. Смещение по периферии - вокруг длинной оси вращается|оборачивается, обертывается, обращается, поворачивается, вращающийся| дистальный отломок.

 


Поделиться с друзьями:

mylektsii.su - Мои Лекции - 2015-2026 год. (4.184 сек.)Все материалы представленные на сайте исключительно с целью ознакомления читателями и не преследуют коммерческих целей или нарушение авторских прав Пожаловаться на материал