Студопедия

Главная страница Случайная страница

КАТЕГОРИИ:

АвтомобилиАстрономияБиологияГеографияДом и садДругие языкиДругоеИнформатикаИсторияКультураЛитератураЛогикаМатематикаМедицинаМеталлургияМеханикаОбразованиеОхрана трудаПедагогикаПолитикаПравоПсихологияРелигияРиторикаСоциологияСпортСтроительствоТехнологияТуризмФизикаФилософияФинансыХимияЧерчениеЭкологияЭкономикаЭлектроника






Задача № 65






Больная Ж., 37 лет, работает маляром, обратилась в поликлинику с жалобами на боли в лучезапястных, пястнофаланговых, проксимальных межфаланговых суставах обеих кистей. Боль в указанных суставах наиболее выражена во второй половине ночи и в ранние утренние часы. Так же отмечает утреннюю скованность в течение двух часов, субфебрильную температуру по вечерам, общую слабость.

Из анамнеза. Считает себя больной около пяти месяцев, когда вечерами стала подниматься температура тела до 37С. Появилась быстрая утомляемость при умеренной физической нагрузке, постепенно стали болеть суставы кистей. За медицинской помощью не обращалась, лечилась нестероидными противовоспалительными мазями, принимала per os диклофенак. Похудела за период болезни на 3 кг. В течение последних 10-ти дней боль в суставах усилилась, присоединилась скованность по утрам, суставы стали припухшими и горячими.

Общее состояние удовлетворительное. Кожные покровы чистые, цианоза, отеков нет. Периферические лимфоузлы не увеличены. В легких – дыхание везикулярное, хрипов нет. Тоны сердца ясные, ритм правильный. ЧСС – 78 уд в мин., АД 125/70 мм рт.ст. Живот мягкий, безболезненный, размеры печени – 10см/8см/7см. На кистях – западение межкостных мышц на тыле кистей и мышц тенора, пальмарная эритема. Припухлость в области лучезапястных, пястнофаланговых и проксимальных межфаланговых суставах, локальная гипертермия; небольшое ограничение движений, снижена мышечная сила. Положительный тест бокового сжатия.

 

Обследование.

Общий анализ крови: эритроциты – 3, 5 · 1012/л, гемоглобин – 108 г/л, лейкоциты – 9, 0 · 109/л, эозинофилы - 1%, п/я нейтрофилы - 8%, с/я нейтрофилы – 55%, лимфоциты – 30%, моноциты - 6%, СОЭ – 34 мм/ч.

Биохимические анализы крови: глюкоза – 3, 2 ммоль/л, общий билирубин – 15 мкмоль/л, креатинин – 54 мкмоль/л; общий белок – 76 г/л, альбумины-50%, глобулины: α 1 – 6%, α 2 – 14%, β – 12%, γ -17%. СРБ – 3 мг, фибриноген – 5, 8 г/л, сиаловые кислоты – 250 единиц (норма до 220 ед.); мочевая кислота - 0, 24 ммоль/л (норма 0, 16-0, 4 ммоль/л).

Ревматоидный фактор – в титре 1: 180 (в норме не обнаруживается). Реакция Хеддельсона-Райта – отрицательная. LE-клетки трижды – отрицательный результат. Антитела к ДНК – отрицательные, антинуклеарный фактор – отрицательный результат.

 

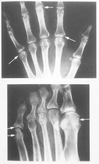
Рентгенография суставов – см. рисунок.

 

 

Вопросы к задаче № 65

 

1. Выделить основной клинический синдром

2. Дифференциальный диагноз по основному синдрому (укажите 3-5 заболеваний с обоснованием каждого)

3. Предварительный диагноз

4. Какие дополнительные исследования необходимо провести для уточнения диагноза, и какие возможны изменения, характерные для данного заболевания?

5. Выставить окончательный диагноз с учетом классификации

6. Лечение. Тактика, режим, диета. Медикаментозное лечение с указанием дозы, побочных действий, показаний и противопоказаний.

7. Осложнения

8. Методы хирургического лечения

9. Прогноз и трудовая экспертиза

 


 


Поделиться с друзьями:

mylektsii.su - Мои Лекции - 2015-2026 год. (0.313 сек.)Все материалы представленные на сайте исключительно с целью ознакомления читателями и не преследуют коммерческих целей или нарушение авторских прав Пожаловаться на материал